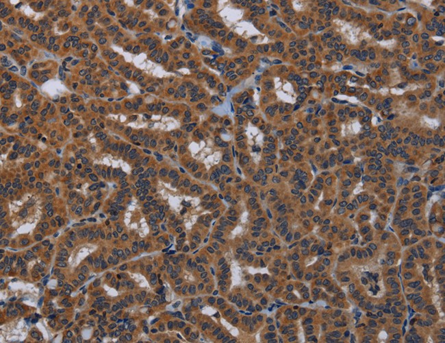
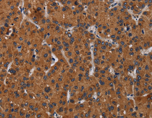
Rabbit KLK8 Polyclonal Antibody | anti-KLK8 antibody
KLK8 Polyclonal Antibody
Gene Names
KLK8; NP; HNP; NRPN; PRSS19; TADG14
Reactivity
Human, Mouse, Rat
Applications
Immunohistochemistry, ELISA
Purity
Antigen affinity purification
Synonyms
KLK8, Antibody; KLK8 Polyclonal Antibody; NP; HNP; NRPN; PRSS19; TADG14; anti-KLK8 antibody
Host
Rabbit
Reactivity
Human, Mouse, Rat
Clonality
Polyclonal
Isotype
IgG
Purity/Purification
Antigen affinity purification
Concentration
2.1mg/mL (varies by lot)
Sequence Length
139
Applicable Applications for anti-KLK8 antibody
IHC (Immunohistochemistry), ELISA
Immunogen
Recombinant protein of human KLK8
Buffer
PBS with 0.05% sodium azide, 50% glycerol, pH7.3
Preparation and Storage
Store at -20 degree C (regular) and -80 degree C (long term). Avoid freeze / thaw cycles.
Related Product Information for anti-KLK8 antibody
Kallikreins are a subgroup of serine proteases having diverse physiological functions. Growing evidence suggests that many kallikreins are implicated in carcinogenesis and some have potential as novel cancer and other disease biomarkers. This gene is one of the fifteen kallikrein subfamily members located in tandem in a gene cluster on chromosome 19. The encoded protein may be involved in proteolytic cascade in the skin and may serve as a biomarker for ovarian cancer. Alternate splicing of this gene results in multiple transcript variants encoding different isoforms.
Product Categories/Family for anti-KLK8 antibody
NCBI and Uniprot Product Information
NCBI GI #
NCBI GeneID
NCBI Accession #
NCBI GenBank Nucleotide #
Molecular Weight
3,653 Da
NCBI Official Full Name
kallikrein-8 isoform 5
NCBI Official Synonym Full Names
kallikrein-related peptidase 8
NCBI Official Symbol
KLK8
NCBI Official Synonym Symbols
NP; HNP; NRPN; PRSS19; TADG14
NCBI Protein Information
kallikrein-8; ovasin; serine protease 19; serine protease TADG-14; tumor-associated differentially expressed gene 14 protein
UniProt Protein Name
Kallikrein-8
UniProt Gene Name
KLK8
UniProt Synonym Gene Names
NRPN; PRSS19; TADG14; hK8; NP
UniProt Entry Name
KLK8_HUMAN
Similar Products
Product Notes
The KLK8 klk8 (Catalog #AAA170075) is an Antibody produced from Rabbit and is intended for research purposes only. The product is available for immediate purchase. The KLK8 Polyclonal Antibody reacts with Human, Mouse, Rat and may cross-react with other species as described in the data sheet. AAA Biotech's KLK8 can be used in a range of immunoassay formats including, but not limited to, IHC (Immunohistochemistry), ELISA. Researchers should empirically determine the suitability of the KLK8 klk8 for an application not listed in the data sheet. Researchers commonly develop new applications and it is an integral, important part of the investigative research process. It is sometimes possible for the material contained within the vial of "KLK8, Polyclonal Antibody" to become dispersed throughout the inside of the vial, particularly around the seal of said vial, during shipment and storage. We always suggest centrifuging these vials to consolidate all of the liquid away from the lid and to the bottom of the vial prior to opening. Please be advised that certain products may require dry ice for shipping and that, if this is the case, an additional dry ice fee may also be required.Precautions
All products in the AAA Biotech catalog are strictly for research-use only, and are absolutely not suitable for use in any sort of medical, therapeutic, prophylactic, in-vivo, or diagnostic capacity. By purchasing a product from AAA Biotech, you are explicitly certifying that said products will be properly tested and used in line with industry standard. AAA Biotech and its authorized distribution partners reserve the right to refuse to fulfill any order if we have any indication that a purchaser may be intending to use a product outside of our accepted criteria.Disclaimer
Though we do strive to guarantee the information represented in this datasheet, AAA Biotech cannot be held responsible for any oversights or imprecisions. AAA Biotech reserves the right to adjust any aspect of this datasheet at any time and without notice. It is the responsibility of the customer to inform AAA Biotech of any product performance issues observed or experienced within 30 days of receipt of said product. To see additional details on this or any of our other policies, please see our Terms & Conditions page.Item has been added to Shopping Cart
If you are ready to order, navigate to Shopping Cart and get ready to checkout.
