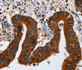
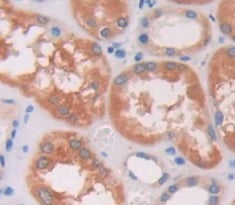
Rabbit anti-Human, Mouse KRT23 Polyclonal Antibody | anti-KRT23 antibody
KRT23 Antibody
Gene Names
KRT23; K23; CK23; HAIK1
Reactivity
Human, Mouse
Applications
Western Blot, ELISA
Purity
Antigen Affinity Purification
Synonyms
KRT23, Antibody; KRT23 Antibody; keratin 23 (histone deacetylase inducible); anti-KRT23 antibody
Host
Rabbit
Reactivity
Human, Mouse
Clonality
Polyclonal
Isotype
IgG
Purity/Purification
Antigen Affinity Purification
Form/Format
Liquid; pH7.4, PBS, 0.05% NaN3, 40% Glycerol
Applicable Applications for anti-KRT23 antibody
WB (Western Blot), ELISA
Immunogen
Fusion protein of human KRT23
Immunogen Species
Homo sapiens (Human)
Target Names
KRT23
Preparation and Storage
Upon receipt, store at -20°C or -80°C. Avoid repeated freeze.
Product Categories/Family for anti-KRT23 antibody
NCBI and Uniprot Product Information
NCBI GI #
NCBI GeneID
NCBI Official Full Name
Keratin, type I cytoskeletal 23
NCBI Official Synonym Full Names
keratin 23 (histone deacetylase inducible)
NCBI Official Symbol
KRT23
NCBI Official Synonym Symbols
K23; CK23; HAIK1
NCBI Protein Information
keratin, type I cytoskeletal 23; CK-23; keratin-23; cytokeratin 23; cytokeratin-23; histone deacetylase inducible keratin 23; type I intermediate filament cytokeratin; hyperacetylation-inducible type I keratin
UniProt Protein Name
Keratin, type I cytoskeletal 23
UniProt Gene Name
KRT23
UniProt Synonym Gene Names
CK-23; K23
UniProt Entry Name
K1C23_HUMAN
Customer Reviews
Loading reviews...
Share Your Experience
Similar Products
Product Notes
The KRT23 krt23 (Catalog #AAA237185) is an Antibody produced from Rabbit and is intended for research purposes only. The product is available for immediate purchase. The KRT23 Antibody reacts with Human, Mouse and may cross-react with other species as described in the data sheet. AAA Biotech's KRT23 can be used in a range of immunoassay formats including, but not limited to, WB (Western Blot), ELISA. Researchers should empirically determine the suitability of the KRT23 krt23 for an application not listed in the data sheet. Researchers commonly develop new applications and it is an integral, important part of the investigative research process. It is sometimes possible for the material contained within the vial of "KRT23, Polyclonal Antibody" to become dispersed throughout the inside of the vial, particularly around the seal of said vial, during shipment and storage. We always suggest centrifuging these vials to consolidate all of the liquid away from the lid and to the bottom of the vial prior to opening. Please be advised that certain products may require dry ice for shipping and that, if this is the case, an additional dry ice fee may also be required.Precautions
All products in the AAA Biotech catalog are strictly for research-use only, and are absolutely not suitable for use in any sort of medical, therapeutic, prophylactic, in-vivo, or diagnostic capacity. By purchasing a product from AAA Biotech, you are explicitly certifying that said products will be properly tested and used in line with industry standard. AAA Biotech and its authorized distribution partners reserve the right to refuse to fulfill any order if we have any indication that a purchaser may be intending to use a product outside of our accepted criteria.Disclaimer
Though we do strive to guarantee the information represented in this datasheet, AAA Biotech cannot be held responsible for any oversights or imprecisions. AAA Biotech reserves the right to adjust any aspect of this datasheet at any time and without notice. It is the responsibility of the customer to inform AAA Biotech of any product performance issues observed or experienced within 30 days of receipt of said product. To see additional details on this or any of our other policies, please see our Terms & Conditions page.Item has been added to Shopping Cart
If you are ready to order, navigate to Shopping Cart and get ready to checkout.
