Rabbit anti-Human LAMA1 Polyclonal Antibody | anti-LAMA1 antibody
LAMA1 Polyclonal Antibody
Gene Names
LAMA1; LAMA; PTBHS; S-LAM-alpha
Reactivity
Human
Applications
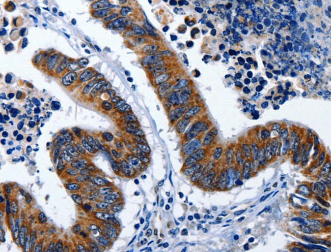
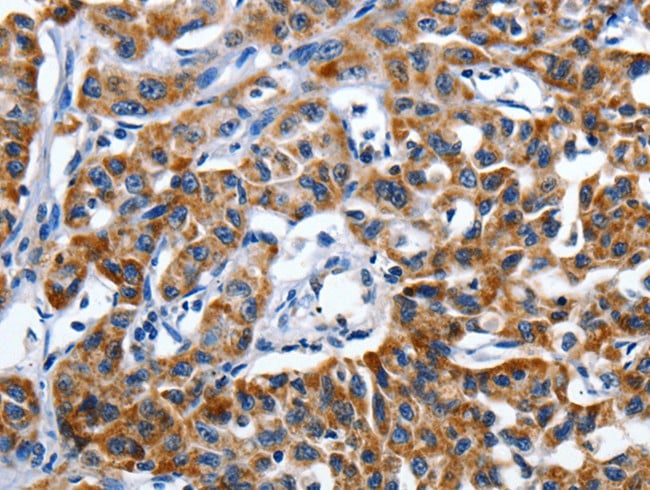
Immunohistochemistry, ELISA
Purity
Antigen affinity purification
Synonyms
LAMA1, Antibody; LAMA1 Polyclonal Antibody; LAMA, S-LAM-alpha; anti-LAMA1 antibody
Host
Rabbit
Reactivity
Human
Clonality
Polyclonal
Isotype
IgG
Purity/Purification
Antigen affinity purification
Concentration
1mg/mL (varies by lot)
Sequence Length
3075
Applicable Applications for anti-LAMA1 antibody
IHC (Immunohistochemistry), ELISA
Preparation and Storage
Store at -20 degree C. Avoid freeze/thaw cycles
Related Product Information for anti-LAMA1 antibody
Background: Laminin subunit alpha-1 is a protein that in humans is encoded by the LAMA1 gene. Laminin is a complex glycoprotein, consisting of three different polypeptide chains (alpha, beta, gamma), which are bound to each other by disulfide bonds into a cross-shaped molecule comprising one long and three short arms with globules at each end. Alpha-1 is a subunit of laminin-1 (laminin-111 or EHS laminin) and laminin-3 (laminin-121 or S-laminin). Binding to cells via a high affinity receptor, laminin is thought to mediate the attachment, migration and organization of cells into tissues during embryonic development by interacting with other extracellular matrix components.
NCBI and Uniprot Product Information
NCBI GI #
NCBI GeneID
NCBI Accession #
NCBI GenBank Nucleotide #
NCBI Official Full Name
laminin subunit alpha-1
NCBI Official Synonym Full Names
laminin, alpha 1
NCBI Official Symbol
LAMA1
NCBI Official Synonym Symbols
LAMA; PTBHS; S-LAM-alpha
NCBI Protein Information
laminin subunit alpha-1; S-LAM alpha; S-laminin subunit alpha; laminin A chain; laminin-3 subunit alpha
UniProt Protein Name
Laminin subunit alpha-1
UniProt Gene Name
LAMA1
UniProt Synonym Gene Names
LAMA; S-LAM alpha
UniProt Entry Name
LAMA1_HUMAN
Similar Products
Product Notes
The LAMA1 lama1 (Catalog #AAA168798) is an Antibody produced from Rabbit and is intended for research purposes only. The product is available for immediate purchase. The LAMA1 Polyclonal Antibody reacts with Human and may cross-react with other species as described in the data sheet. AAA Biotech's LAMA1 can be used in a range of immunoassay formats including, but not limited to, IHC (Immunohistochemistry), ELISA. Researchers should empirically determine the suitability of the LAMA1 lama1 for an application not listed in the data sheet. Researchers commonly develop new applications and it is an integral, important part of the investigative research process. It is sometimes possible for the material contained within the vial of "LAMA1, Polyclonal Antibody" to become dispersed throughout the inside of the vial, particularly around the seal of said vial, during shipment and storage. We always suggest centrifuging these vials to consolidate all of the liquid away from the lid and to the bottom of the vial prior to opening. Please be advised that certain products may require dry ice for shipping and that, if this is the case, an additional dry ice fee may also be required.Precautions
All products in the AAA Biotech catalog are strictly for research-use only, and are absolutely not suitable for use in any sort of medical, therapeutic, prophylactic, in-vivo, or diagnostic capacity. By purchasing a product from AAA Biotech, you are explicitly certifying that said products will be properly tested and used in line with industry standard. AAA Biotech and its authorized distribution partners reserve the right to refuse to fulfill any order if we have any indication that a purchaser may be intending to use a product outside of our accepted criteria.Disclaimer
Though we do strive to guarantee the information represented in this datasheet, AAA Biotech cannot be held responsible for any oversights or imprecisions. AAA Biotech reserves the right to adjust any aspect of this datasheet at any time and without notice. It is the responsibility of the customer to inform AAA Biotech of any product performance issues observed or experienced within 30 days of receipt of said product. To see additional details on this or any of our other policies, please see our Terms & Conditions page.Item has been added to Shopping Cart
If you are ready to order, navigate to Shopping Cart and get ready to checkout.
