Rabbit LC3B Polyclonal Antibody | anti-LC3B antibody
LC3B Polyclonal Antibody
Gene Names
MAP1LC3B; LC3B; ATG8F; MAP1LC3B-a; MAP1A/1BLC3
Reactivity
Human, Mouse, Rat
Applications
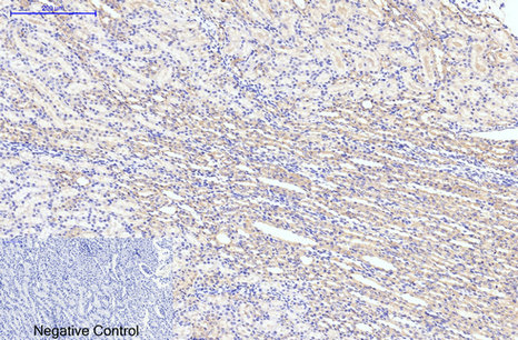
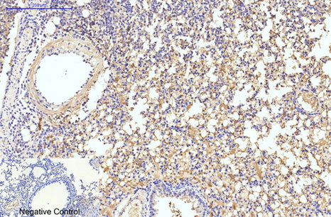
Immunofluorescence, Immunohistochemistry, Western Blot
Synonyms
LC3B, Antibody; LC3B Polyclonal Antibody; MAP1LC3B; MAP1ALC3; Microtubule-associated proteins 1A/1B light chain 3B; Autophagy-related protein LC3 B; Autophagy-related ubiquitin-like modifier LC3 B; MAP1 light chain 3-like protein 2; MAP1A/MAP1B light chain 3 B; MAP1A/MAP1B LC3 B; Microtubule-associated protein 1 light chain 3 beta; anti-LC3B antibody
Host
Rabbit
Reactivity
Human, Mouse, Rat
Clonality
Polyclonal
Applicable Applications for anti-LC3B antibody
IF (Immunofluorescence), IHC (Immunohistochemistry), WB (Western Blot)
Preparation and Storage
Maintain refrigerated at 2-8 degree C for up to 2 weeks. For long term storage store at -20 degree C in small aliquots to prevent freeze-thaw cycles.
Related Product Information for anti-LC3B antibody
Ubiquitin-like modifier involved in formation of autophagosomal vacuoles (autophagosomes). Plays a role in mitophagy which contributes to regulate mitochondrial quantity and quality by eliminating the mitochondria to a basal level to fulfill cellular energy requirements and preventing excess ROS production. Whereas LC3s are involved in elongation of the phagophore membrane, the GABARAP/GATE-16 subfamily is essential for a later stage in autophagosome maturation. Promotes primary ciliogenesis by removing OFD1 from centriolar satellites via the autophagic pathway.
NCBI and Uniprot Product Information
NCBI GI #
NCBI GeneID
Molecular Weight
125
NCBI Official Full Name
Microtubule-associated proteins 1A/1B light chain 3B
NCBI Official Synonym Full Names
microtubule-associated protein 1 light chain 3 beta
NCBI Official Symbol
MAP1LC3B
NCBI Official Synonym Symbols
LC3B; ATG8F; MAP1LC3B-a; MAP1A/1BLC3
NCBI Protein Information
microtubule-associated proteins 1A/1B light chain 3B; MAP1A/MAP1B LC3 B; MAP1A/MAP1B light chain 3 B; MAP1 light chain 3-like protein 2; autophagy-related ubiquitin-like modifier LC3 B
UniProt Protein Name
Microtubule-associated proteins 1A/1B light chain 3B
UniProt Gene Name
MAP1LC3B
UniProt Synonym Gene Names
MAP1ALC3; MAP1A/MAP1B LC3 B
UniProt Entry Name
MLP3B_HUMAN
Customer Reviews
Loading reviews...
Share Your Experience
Similar Products
Product Notes
The LC3B map1lc3b (Catalog #AAA293656) is an Antibody produced from Rabbit and is intended for research purposes only. The product is available for immediate purchase. The LC3B Polyclonal Antibody reacts with Human, Mouse, Rat and may cross-react with other species as described in the data sheet. AAA Biotech's LC3B can be used in a range of immunoassay formats including, but not limited to, IF (Immunofluorescence), IHC (Immunohistochemistry), WB (Western Blot). Researchers should empirically determine the suitability of the LC3B map1lc3b for an application not listed in the data sheet. Researchers commonly develop new applications and it is an integral, important part of the investigative research process. It is sometimes possible for the material contained within the vial of "LC3B, Polyclonal Antibody" to become dispersed throughout the inside of the vial, particularly around the seal of said vial, during shipment and storage. We always suggest centrifuging these vials to consolidate all of the liquid away from the lid and to the bottom of the vial prior to opening. Please be advised that certain products may require dry ice for shipping and that, if this is the case, an additional dry ice fee may also be required.Precautions
All products in the AAA Biotech catalog are strictly for research-use only, and are absolutely not suitable for use in any sort of medical, therapeutic, prophylactic, in-vivo, or diagnostic capacity. By purchasing a product from AAA Biotech, you are explicitly certifying that said products will be properly tested and used in line with industry standard. AAA Biotech and its authorized distribution partners reserve the right to refuse to fulfill any order if we have any indication that a purchaser may be intending to use a product outside of our accepted criteria.Disclaimer
Though we do strive to guarantee the information represented in this datasheet, AAA Biotech cannot be held responsible for any oversights or imprecisions. AAA Biotech reserves the right to adjust any aspect of this datasheet at any time and without notice. It is the responsibility of the customer to inform AAA Biotech of any product performance issues observed or experienced within 30 days of receipt of said product. To see additional details on this or any of our other policies, please see our Terms & Conditions page.Item has been added to Shopping Cart
If you are ready to order, navigate to Shopping Cart and get ready to checkout.
