Rabbit Lck Polyclonal Antibody | anti-Lck antibody
Phospho-Lck (Tyr394) Antibody
Predicted: Pig, Zebrafish, Bovine, Horse, Sheep, Rabbit, Dog, Chicken, Xenopus
Predicted: Pig, Zebrafish, Bovine, Horse, Sheep, Rabbit, Dog, Chicken, Xenopus
WB (Western Blot)
(Western blot analysis of Phospho-Lck (Tyr394) in lysates of Jurkat, using Phospho-Lck (Tyr394) Antibody.)
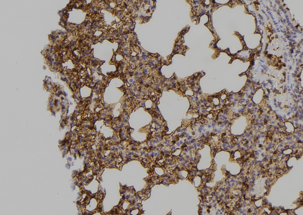
IHC (Immunohiostchemistry)
(At 1/100 staining mouse lung tissue sections by IHC-P. The tissue was formaldehyde fixed and a heat mediated antigen retrieval step in citrate buffer was performed. The tissue was then blocked and incubated with the antibody for 1.5 hours at 22 degree C. An HRP conjugated goat anti-rabbit antibody was used as the secondary)
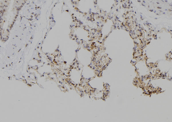
IHC (Immunohistochemistry)
(At 1/100 staining rat lung tissue sections by IHC-P. The tissue was formaldehyde fixed and a heat mediated antigen retrieval step in citrate buffer was performed. The tissue was then blocked and incubated with the antibody for 1.5 hours at 22 degree C. An HRP conjugated goat anti-rabbit antibody was used as the secondary)
Post Translational Modifications: Autophosphorylated on Tyr-394, increasing enzymatic activity, this site is dephosphorylated by PTN22. Phosphorylated on Tyr-505 by CSK, decreasing activity. Dephosphorylated by PTPRC/CD45. Dephosphorylation at Tyr-394 by PTPN2 negatively regulates T-cell receptor signaling. Myristoylation is required prior to palmitoylation. Palmitoylation regulates subcellular location.
Subunit Structure: Binds to the cytoplasmic domain of cell surface receptors, such as AXL, CD2, CD4, CD5, CD8, CD44, CD45 and CD122. Also binds to effector molecules, such as PI4K, VAV1, RASA1, FYB1 and to other protein kinases including CDK1, RAF1, ZAP70 and SYK. Binds to phosphatidylinositol 3'-kinase (PI3K) from T-lymphocytes through its SH3 domain and to the tyrosine phosphorylated form of KHDRBS1/p70 through its SH2 domain. Binds to HIV-1 Nef through its SH3 domain. This interaction inhibits its tyrosine-kinase activity. Interacts with herpes simplex virus 1 UL46; this interaction activates LCK. Interacts with SQSTM1. Interacts with phosphorylated LIME1. Interacts with CBLB and PTPRH. Interacts with RUNX3. Forms a signaling complex with EPHA1, PTK2B AND PI3-KINASE; upon activation by EFNA1 which may regulate T-lymphocyte migration. Associates with ZAP70 and RHOH; these interactions allow LCK-mediated RHOH and CD3 subunit phosphorylation in the presence of functional ZAP70. Interacts with UNC119; this interaction plays a crucial role in activation of LCK. Interacts with CEACAM1 (via cytoplasmic domain); mediates CEACAM1 phosphorylation resulting in PTPN6 recruitment that dephosphorylates TCR stimulation-induced CD247 and ZAP70 (PubMed:18424730).
Similarity: The SH2 domain mediates interaction with SQSTM1. Interaction is regulated by Ser-59 phosphorylation. Belongs to the protein kinase superfamily. Tyr protein kinase family. SRC subfamily.
NCBI and Uniprot Product Information
Predicted: 59 kDa
Customer Reviews
Loading reviews...
Share Your Experience
Similar Products
Product Notes
The Lck lck (Catalog #AAA328361) is an Antibody produced from Rabbit and is intended for research purposes only. The product is available for immediate purchase. The Phospho-Lck (Tyr394) Antibody reacts with Human, Mouse, Rat Predicted: Pig, Zebrafish, Bovine, Horse, Sheep, Rabbit, Dog, Chicken, Xenopus and may cross-react with other species as described in the data sheet. AAA Biotech's Lck can be used in a range of immunoassay formats including, but not limited to, ELISA (Peptide ELISA), IHC (Immunohistochemistry), WB (Western Blot). Researchers should empirically determine the suitability of the Lck lck for an application not listed in the data sheet. Researchers commonly develop new applications and it is an integral, important part of the investigative research process. It is sometimes possible for the material contained within the vial of "Lck, Polyclonal Antibody" to become dispersed throughout the inside of the vial, particularly around the seal of said vial, during shipment and storage. We always suggest centrifuging these vials to consolidate all of the liquid away from the lid and to the bottom of the vial prior to opening. Please be advised that certain products may require dry ice for shipping and that, if this is the case, an additional dry ice fee may also be required.Precautions
All products in the AAA Biotech catalog are strictly for research-use only, and are absolutely not suitable for use in any sort of medical, therapeutic, prophylactic, in-vivo, or diagnostic capacity. By purchasing a product from AAA Biotech, you are explicitly certifying that said products will be properly tested and used in line with industry standard. AAA Biotech and its authorized distribution partners reserve the right to refuse to fulfill any order if we have any indication that a purchaser may be intending to use a product outside of our accepted criteria.Disclaimer
Though we do strive to guarantee the information represented in this datasheet, AAA Biotech cannot be held responsible for any oversights or imprecisions. AAA Biotech reserves the right to adjust any aspect of this datasheet at any time and without notice. It is the responsibility of the customer to inform AAA Biotech of any product performance issues observed or experienced within 30 days of receipt of said product. To see additional details on this or any of our other policies, please see our Terms & Conditions page.Item has been added to Shopping Cart
If you are ready to order, navigate to Shopping Cart and get ready to checkout.
