Host
Rabbit
Reactivity
Human, Mouse, Rat
Clonality
Polyclonal
Isotype
IgG
Purity/Purification
Affinity purification
Form/Format
PBS with 0.02% sodium azide, 50% glycerol, pH7.3
Concentration
1mg/mL (varies by lot)
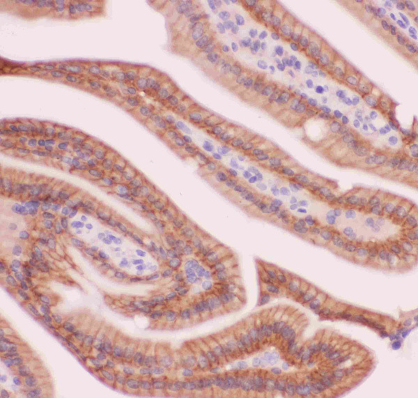
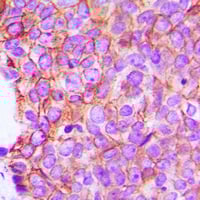
Applicable Applications for anti-LIG4 antibody
IHC (Immunohistochemistry), WB (Western Blot)
Immunogen
Recombinant fusion protein of human LIG4 (NP_0023032)
Conjugation
Unconjugated
Preparation and Storage
Store at -20 degree C. Avoid freeze/thaw cycles.
Related Product Information for anti-LIG4 antibody
The protein encoded by this gene is a DNA ligase that joins single-strand breaks in a double-stranded polydeoxynucleotide in an ATP-dependent reaction. This protein is essential for V (D)J recombination and DNA double-strand break (DSB) repair through nonhomologous end joining (NHEJ). This protein forms a complex with the X-ray repair cross complementing protein 4 (XRCC4), and further interacts with the DNA-dependent protein kinase (DNA-PK). Both XRCC4 and DNA-PK are known to be required for NHEJ. The crystal structure of the complex formed by this protein and XRCC4 has been resolved. Defects in this gene are the cause of LIG4 syndrome. Alternatively spliced transcript variants encoding the same protein have been observed.
Product Categories/Family for anti-LIG4 antibody
NCBI and Uniprot Product Information
NCBI GI #
NCBI GeneID
NCBI Accession #
NCBI GenBank Nucleotide #
Molecular Weight
103,971 Da
NCBI Official Full Name
DNA ligase 4
NCBI Official Synonym Full Names
ligase IV, DNA, ATP-dependent
NCBI Official Symbol
LIG4
NCBI Protein Information
DNA ligase 4; sealase; DNA joinase; DNA ligase IV; DNA repair enzyme; polynucleotide ligase; polydeoxyribonucleotide synthase [ATP] 4
UniProt Protein Name
DNA ligase 4
UniProt Gene Name
LIG4
UniProt Entry Name
DNLI4_HUMAN
Similar Products
Product Notes
The LIG4 lig4 (Catalog #AAA177486) is an Antibody produced from Rabbit and is intended for research purposes only. The product is available for immediate purchase. The LIG4 Polyclonal Antibody reacts with Human, Mouse, Rat and may cross-react with other species as described in the data sheet. AAA Biotech's LIG4 can be used in a range of immunoassay formats including, but not limited to, IHC (Immunohistochemistry), WB (Western Blot). Researchers should empirically determine the suitability of the LIG4 lig4 for an application not listed in the data sheet. Researchers commonly develop new applications and it is an integral, important part of the investigative research process. It is sometimes possible for the material contained within the vial of "LIG4, Polyclonal Antibody" to become dispersed throughout the inside of the vial, particularly around the seal of said vial, during shipment and storage. We always suggest centrifuging these vials to consolidate all of the liquid away from the lid and to the bottom of the vial prior to opening. Please be advised that certain products may require dry ice for shipping and that, if this is the case, an additional dry ice fee may also be required.Precautions
All products in the AAA Biotech catalog are strictly for research-use only, and are absolutely not suitable for use in any sort of medical, therapeutic, prophylactic, in-vivo, or diagnostic capacity. By purchasing a product from AAA Biotech, you are explicitly certifying that said products will be properly tested and used in line with industry standard. AAA Biotech and its authorized distribution partners reserve the right to refuse to fulfill any order if we have any indication that a purchaser may be intending to use a product outside of our accepted criteria.Disclaimer
Though we do strive to guarantee the information represented in this datasheet, AAA Biotech cannot be held responsible for any oversights or imprecisions. AAA Biotech reserves the right to adjust any aspect of this datasheet at any time and without notice. It is the responsibility of the customer to inform AAA Biotech of any product performance issues observed or experienced within 30 days of receipt of said product. To see additional details on this or any of our other policies, please see our Terms & Conditions page.Item has been added to Shopping Cart
If you are ready to order, navigate to Shopping Cart and get ready to checkout.
