Rabbit LKB1 Polyclonal Antibody | anti-LKB1 antibody
Phospho-LKB1 (Ser31) Antibody
Predicted: Pig, Zebrafish, Horse, Sheep, Chicken, Xenopus
Predicted: Pig, Zebrafish, Horse, Sheep, Chicken, Xenopus
WB (Western Blot)
(Western blot analysis of Phospho-LKB1 (Ser31) in lysates of HeLa , using Phospho-LKB1 (Ser31) Antibody.)
IHC (Immunohistochemisry)
(At 1/100 staining rat liver tissue sections by IHC-P. The tissue was formaldehyde fixed and a heat mediated antigen retrieval step in citrate buffer was performed. The tissue was then blocked and incubated with the antibody for 1.5 hours at 22 degree C. An HRP conjugated goat anti-rabbit antibody was used as the secondary)
IHC (Immunohiostchemistry)
(At 1/100 staining mouse spleen tissue sections by IHC-P. The tissue was formaldehyde fixed and a heat mediated antigen retrieval step in citrate buffer was performed. The tissue was then blocked and incubated with the antibody for 1.5 hours at 22 degree C. An HRP conjugated goat anti-rabbit antibody was used as the secondary)
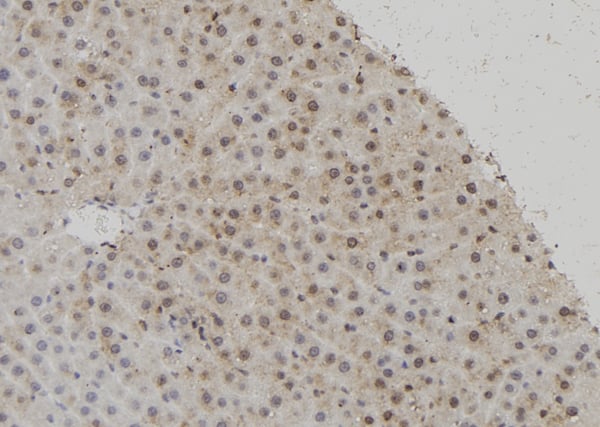
IHC (Immunohistochemistry)
(At 1/100 staining mouse liver tissue sections by IHC-P. The tissue was formaldehyde fixed and a heat mediated antigen retrieval step in citrate buffer was performed. The tissue was then blocked and incubated with the antibody for 1.5 hours at 22 degree C. An HRP conjugated goat anti-rabbit antibody was used as the secondary)
Post Translational Modifications: Phosphorylated by ATM at Thr-363 following ionizing radiation (IR). Phosphorylation at Ser-428 by RPS6KA1 and/or some PKA is required to inhibit cell growth. Phosphorylation at Ser-428 is also required during neuronal polarization to mediate phosphorylation of BRSK1 and BRSK2 (By similarity). Phosphorylation by PKC/PRKCZ at Ser-428 promotes peroxynitrite-induced nuclear export of STK11, leading to PTEN activation and subsequent inhibition of AKT signaling. Phosphorylation by PKC/PRKCZ at Ser-399 in isoform 2 promotes metformin (or peroxynitrite)-induced nuclear export of STK11 and activation of AMPK. UV radiation-induced phosphorylation at Thr-363 mediates CDKN1A degradation (By similarity). Acetylated. Deacetylation at Lys-48 enhances cytoplasmic localization and kinase activity in vitro.
Subunit Structure: Catalytic component of a trimeric complex composed of STK11/LKB1, STRAD (STRADA or STRADB) and CAB39/MO25 (CAB39/MO25alpha or CAB39L/MO25beta): the complex tethers STK11/LKB1 in the cytoplasm and stimulates its catalytic activity. Found in a ternary complex composed of SMAD4, STK11/LKB1 and STK11IP. Interacts with p53/TP53, SMAD4, STK11IP and WDR6. Interacts with NR4A1. Interacts with NISCH; this interaction may increase STK11 activity. Interacts with PTEN; leading to PTEN phosphorylation. Interacts with SIRT1; the interaction deacetylates STK11. Interacts with CDKN1A.
Similarity: Belongs to the protein kinase superfamily. CAMK Ser/Thr protein kinase family. LKB1 subfamily.
NCBI and Uniprot Product Information
Predicted: 49 kDa
Customer Reviews
Loading reviews...
Share Your Experience
Similar Products
Product Notes
The LKB1 stk11 (Catalog #AAA328523) is an Antibody produced from Rabbit and is intended for research purposes only. The product is available for immediate purchase. The Phospho-LKB1 (Ser31) Antibody reacts with Human, Mouse, Rat Predicted: Pig, Zebrafish, Horse, Sheep, Chicken, Xenopus and may cross-react with other species as described in the data sheet. AAA Biotech's LKB1 can be used in a range of immunoassay formats including, but not limited to, ELISA (Peptide ELISA), IHC (Immunohistochemistry), WB (Western Blot). Researchers should empirically determine the suitability of the LKB1 stk11 for an application not listed in the data sheet. Researchers commonly develop new applications and it is an integral, important part of the investigative research process. It is sometimes possible for the material contained within the vial of "LKB1, Polyclonal Antibody" to become dispersed throughout the inside of the vial, particularly around the seal of said vial, during shipment and storage. We always suggest centrifuging these vials to consolidate all of the liquid away from the lid and to the bottom of the vial prior to opening. Please be advised that certain products may require dry ice for shipping and that, if this is the case, an additional dry ice fee may also be required.Precautions
All products in the AAA Biotech catalog are strictly for research-use only, and are absolutely not suitable for use in any sort of medical, therapeutic, prophylactic, in-vivo, or diagnostic capacity. By purchasing a product from AAA Biotech, you are explicitly certifying that said products will be properly tested and used in line with industry standard. AAA Biotech and its authorized distribution partners reserve the right to refuse to fulfill any order if we have any indication that a purchaser may be intending to use a product outside of our accepted criteria.Disclaimer
Though we do strive to guarantee the information represented in this datasheet, AAA Biotech cannot be held responsible for any oversights or imprecisions. AAA Biotech reserves the right to adjust any aspect of this datasheet at any time and without notice. It is the responsibility of the customer to inform AAA Biotech of any product performance issues observed or experienced within 30 days of receipt of said product. To see additional details on this or any of our other policies, please see our Terms & Conditions page.Item has been added to Shopping Cart
If you are ready to order, navigate to Shopping Cart and get ready to checkout.
