Rabbit anti-Mouse LMTK3 Polyclonal Antibody | anti-LMTK3 antibody
LMTK3 Antibody (C-term)
Gene Names
LMTK3; LMR3; TYKLM3; PPP1R101
Reactivity
Mouse
Applications
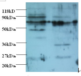
ELISA, Western Blot
Purity
Purified Rabbit Polyclonal Antibody (Pab)
Synonyms
LMTK3, Antibody; LMTK3 Antibody (C-term); Serine/threonine-protein kinase LMTK3; Lemur tyrosine kinase 3; LMTK3; KIAA1883; TYKLM3; anti-LMTK3 antibody
Host
Rabbit
Reactivity
Mouse
Clonality
Polyclonal
Isotype
Rabbit Ig
Specificity
This LMTK3 antibody is generated from a rabbit immunized with a KLH conjugated synthetic peptide between 1192-1226 amino acids from the C-terminal region of human LMTK3.
Purity/Purification
Purified Rabbit Polyclonal Antibody (Pab)
Form/Format
Purified polyclonal antibody supplied in PBS with 0.09% (W/V) sodium azide. This antibody is purified through a protein A column, followed by peptide affinity purification.
Concentration
Vial Concentration: 0.5 (varies by lot)
Sequence Length
1460
Applicable Applications for anti-LMTK3 antibody
ELISA, WB (Western Blot)
Antigen Source
Human
Function
Protein kinase which phosphorylates ESR1 (in vitro) and protects it against proteasomal degradation. May also regulate ESR1 levels indirectly via a PKC-AKT-FOXO3 pathway where it decreases the activity of PKC and the phosphorylation of AKT, thereby increasing binding of transcriptional activator FOXO3 to the ESR1 promoter and increasing ESR1 transcription (PubMed: ). Involved in endocytic trafficking of N-methyl- D-aspartate receptors (NMDAR) in neurons (By similarity).
Cellular Location
Membrane {ECO:0000250|UniProtKB:Q5XJV6}; Single-pass membrane protein {ECO:0000250|UniProtKB:Q5XJV6}. Cell projection, axon {ECO:0000250|UniProtKB:Q5XJV6}. Cell projection, dendrite {ECO:0000250|UniProtKB:Q5XJV6}. Golgi apparatus membrane {ECO:0000250|UniProtKB:Q5XJV6}. Note=Punctate pattern in cell projections.
Preparation and Storage
Maintain refrigerated at 2-8 degree C for up to 2 weeks. For long term storage store at -20 degree C in small aliquots to prevent freeze-thaw cycles.
Product Categories/Family for anti-LMTK3 antibody
References
Nagase T.,et al.DNA Res. 8:179-187(2001).
Grimwood J.,et al.Nature 428:529-535(2004).
Grimwood J.,et al.Nature 428:529-535(2004).
NCBI and Uniprot Product Information
NCBI GI #
NCBI GeneID
Molecular Weight
153661
NCBI Official Full Name
Serine/threonine-protein kinase LMTK3
NCBI Official Synonym Full Names
lemur tyrosine kinase 3
NCBI Official Symbol
LMTK3
NCBI Official Synonym Symbols
LMR3; TYKLM3; PPP1R101
NCBI Protein Information
serine/threonine-protein kinase LMTK3
UniProt Protein Name
Serine/threonine-protein kinase LMTK3
UniProt Gene Name
LMTK3
UniProt Synonym Gene Names
KIAA1883; TYKLM3
UniProt Entry Name
LMTK3_HUMAN
Customer Reviews
Loading reviews...
Share Your Experience
Similar Products
Product Notes
The LMTK3 lmtk3 (Catalog #AAA286977) is an Antibody produced from Rabbit and is intended for research purposes only. The product is available for immediate purchase. The LMTK3 Antibody (C-term) reacts with Mouse and may cross-react with other species as described in the data sheet. AAA Biotech's LMTK3 can be used in a range of immunoassay formats including, but not limited to, ELISA, WB (Western Blot). Researchers should empirically determine the suitability of the LMTK3 lmtk3 for an application not listed in the data sheet. Researchers commonly develop new applications and it is an integral, important part of the investigative research process. It is sometimes possible for the material contained within the vial of "LMTK3, Polyclonal Antibody" to become dispersed throughout the inside of the vial, particularly around the seal of said vial, during shipment and storage. We always suggest centrifuging these vials to consolidate all of the liquid away from the lid and to the bottom of the vial prior to opening. Please be advised that certain products may require dry ice for shipping and that, if this is the case, an additional dry ice fee may also be required.Precautions
All products in the AAA Biotech catalog are strictly for research-use only, and are absolutely not suitable for use in any sort of medical, therapeutic, prophylactic, in-vivo, or diagnostic capacity. By purchasing a product from AAA Biotech, you are explicitly certifying that said products will be properly tested and used in line with industry standard. AAA Biotech and its authorized distribution partners reserve the right to refuse to fulfill any order if we have any indication that a purchaser may be intending to use a product outside of our accepted criteria.Disclaimer
Though we do strive to guarantee the information represented in this datasheet, AAA Biotech cannot be held responsible for any oversights or imprecisions. AAA Biotech reserves the right to adjust any aspect of this datasheet at any time and without notice. It is the responsibility of the customer to inform AAA Biotech of any product performance issues observed or experienced within 30 days of receipt of said product. To see additional details on this or any of our other policies, please see our Terms & Conditions page.Item has been added to Shopping Cart
If you are ready to order, navigate to Shopping Cart and get ready to checkout.
