Host
Rabbit
Reactivity
Human
Clonality
Polyclonal
Specificity
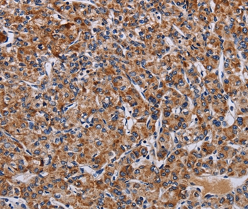
The antibody detects endogenous levels of total LRRC15 protein.
Purity/Purification
Antigen affinity purification.
Form/Format
Rabbit IgG in pH7.3 PBS, 0.05% NaN3, 50% Glycerol.
Concentration
2.7 mg/ml (varies by lot)
Sequence Length
587
Applicable Applications for anti-LRRC15 antibody
IHC (Immunohistochemistry)
Immunogen Type
Recombinant Protein
Immunogen Description
Fusion protein corresponding to a region derived from internal residues of human leucine rich repeat containing 15
Target Name
LRRC15
Preparation and Storage
Store at -20 degree C
Related Product Information for anti-LRRC15 antibody
Leucine-rich repeats (LRRs) are 20-29 amino acid motifs that mediate protein-protein interactions. The primary function of these motifs is to provide a versatile structural framework for the formation of these protein-protein interactions. LRRs are present in a variety of proteins with diverse structure and function, including innate immunity and nervous system development. Several human diseases are associated with mutations in genes encoding LRR-containing proteins. The leucine-rich repeat-containing protein 15 (LRRC15, also designated LIB) is a 581 amino acid protein that contains 15 LRR repeats and is involved in cell-cell and/or -extracellular matrix interactions. LRRC15 is frequently overexpressed in multiple tumor types, most notably breast carcinoma. It is also associated with the pathogenesis of Alzheimer's disease.
Product Categories/Family for anti-LRRC15 antibody
NCBI and Uniprot Product Information
NCBI GI #
NCBI GeneID
NCBI Accession #
NCBI GenBank Nucleotide #
Molecular Weight
65,022 Da
NCBI Official Full Name
leucine-rich repeat-containing protein 15 isoform a
NCBI Official Synonym Full Names
leucine rich repeat containing 15
NCBI Official Symbol
LRRC15
NCBI Official Synonym Symbols
LIB
NCBI Protein Information
leucine-rich repeat-containing protein 15
UniProt Protein Name
Leucine-rich repeat-containing protein 15
UniProt Gene Name
LRRC15
UniProt Synonym Gene Names
LIB; hLib
UniProt Entry Name
LRC15_HUMAN
Customer Reviews
Loading reviews...
Share Your Experience
Similar Products
Product Notes
The LRRC15 lrrc15 (Catalog #AAA306495) is an Antibody produced from Rabbit and is intended for research purposes only. The product is available for immediate purchase. The LRRC15 Antibody reacts with Human and may cross-react with other species as described in the data sheet. AAA Biotech's LRRC15 can be used in a range of immunoassay formats including, but not limited to, IHC (Immunohistochemistry). Researchers should empirically determine the suitability of the LRRC15 lrrc15 for an application not listed in the data sheet. Researchers commonly develop new applications and it is an integral, important part of the investigative research process. It is sometimes possible for the material contained within the vial of "LRRC15, Polyclonal Antibody" to become dispersed throughout the inside of the vial, particularly around the seal of said vial, during shipment and storage. We always suggest centrifuging these vials to consolidate all of the liquid away from the lid and to the bottom of the vial prior to opening. Please be advised that certain products may require dry ice for shipping and that, if this is the case, an additional dry ice fee may also be required.Precautions
All products in the AAA Biotech catalog are strictly for research-use only, and are absolutely not suitable for use in any sort of medical, therapeutic, prophylactic, in-vivo, or diagnostic capacity. By purchasing a product from AAA Biotech, you are explicitly certifying that said products will be properly tested and used in line with industry standard. AAA Biotech and its authorized distribution partners reserve the right to refuse to fulfill any order if we have any indication that a purchaser may be intending to use a product outside of our accepted criteria.Disclaimer
Though we do strive to guarantee the information represented in this datasheet, AAA Biotech cannot be held responsible for any oversights or imprecisions. AAA Biotech reserves the right to adjust any aspect of this datasheet at any time and without notice. It is the responsibility of the customer to inform AAA Biotech of any product performance issues observed or experienced within 30 days of receipt of said product. To see additional details on this or any of our other policies, please see our Terms & Conditions page.Item has been added to Shopping Cart
If you are ready to order, navigate to Shopping Cart and get ready to checkout.
