Rabbit anti-Human LY75 Polyclonal Antibody | anti-LY75 antibody
LY75 Antibody
Reactivity
Human
Applications
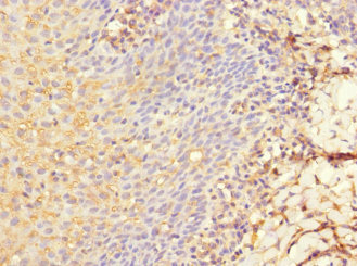
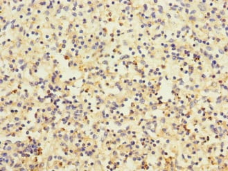
Immunohistochemistry, ELISA
Purity
Antigen Affinity Purified
Synonyms
LY75, Antibody; LY75 Antibody; Lymphocyte antigen 75; Ly-75; C-type lectin domain family 13 member B; DEC-205; gp200-MR6; CD205; LY75; CLEC13B; anti-LY75 antibody
Host
Rabbit
Reactivity
Human
Clonality
Polyclonal
Isotype
IgG
Purity/Purification
Antigen Affinity Purified
Form/Format
Liquid
Sequence Length
1873
Applicable Applications for anti-LY75 antibody
IHC (Immunohistochemistry), ELISA
Species
Human
Immunogen
Recombinant human Lymphocyte antigen 75 protein (440-680AA)
Conjugate
Non-conjugated
Buffer
PBS with 0.02% sodium azide, 50% glycerol, pH7.3.
Santa Cruz Alternative
Potential replacement for Santa Cruz Biotechnology antibody catalog# sc-14602 / sc-14604 / sc-28816
Preparation and Storage
Shipped at 4 degree C. Upon delivery aliquot and store at -20 degree C or -80 degree C. Avoid repeated freeze.
Related Product Information for anti-LY75 antibody
Acts as an endocytic receptor to direct captured antigens from the extracellular space to a specialized antigen-processing compartment (By similarity). Causes reduced proliferation of B-lymphocytes.
NCBI and Uniprot Product Information
NCBI GI #
NCBI GeneID
NCBI Accession #
NCBI GenBank Nucleotide #
Molecular Weight
26,183 Da
NCBI Official Full Name
LY75-CD302 fusion protein isoform 1
NCBI Official Synonym Full Names
LY75-CD302 readthrough
NCBI Official Symbol
LY75-CD302
NCBI Protein Information
LY75-CD302 fusion protein
UniProt Protein Name
Lymphocyte antigen 75
UniProt Gene Name
LY75
UniProt Synonym Gene Names
CD205; CLEC13B; Ly-75
UniProt Entry Name
LY75_HUMAN
Customer Reviews
Loading reviews...
Share Your Experience
Similar Products
Product Notes
The LY75 ly75 (Catalog #AAA231085) is an Antibody produced from Rabbit and is intended for research purposes only. The product is available for immediate purchase. The LY75 Antibody reacts with Human and may cross-react with other species as described in the data sheet. AAA Biotech's LY75 can be used in a range of immunoassay formats including, but not limited to, IHC (Immunohistochemistry), ELISA. Researchers should empirically determine the suitability of the LY75 ly75 for an application not listed in the data sheet. Researchers commonly develop new applications and it is an integral, important part of the investigative research process. It is sometimes possible for the material contained within the vial of "LY75, Polyclonal Antibody" to become dispersed throughout the inside of the vial, particularly around the seal of said vial, during shipment and storage. We always suggest centrifuging these vials to consolidate all of the liquid away from the lid and to the bottom of the vial prior to opening. Please be advised that certain products may require dry ice for shipping and that, if this is the case, an additional dry ice fee may also be required.Precautions
All products in the AAA Biotech catalog are strictly for research-use only, and are absolutely not suitable for use in any sort of medical, therapeutic, prophylactic, in-vivo, or diagnostic capacity. By purchasing a product from AAA Biotech, you are explicitly certifying that said products will be properly tested and used in line with industry standard. AAA Biotech and its authorized distribution partners reserve the right to refuse to fulfill any order if we have any indication that a purchaser may be intending to use a product outside of our accepted criteria.Disclaimer
Though we do strive to guarantee the information represented in this datasheet, AAA Biotech cannot be held responsible for any oversights or imprecisions. AAA Biotech reserves the right to adjust any aspect of this datasheet at any time and without notice. It is the responsibility of the customer to inform AAA Biotech of any product performance issues observed or experienced within 30 days of receipt of said product. To see additional details on this or any of our other policies, please see our Terms & Conditions page.Item has been added to Shopping Cart
If you are ready to order, navigate to Shopping Cart and get ready to checkout.
