Host
Rabbit
Reactivity
Human
Clonality
Polyclonal
Specificity
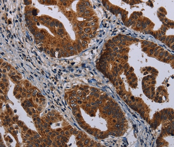
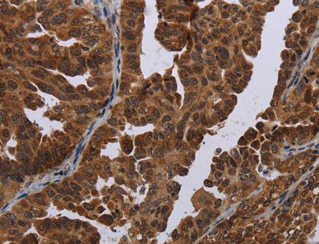
The antibody detects endogenous levels of total MAGEB3 protein.
Purity/Purification
Antigen affinity purification.
Form/Format
Rabbit IgG in pH7.3 PBS, 0.05% NaN3, 50% Glycerol.
Concentration
1.4 mg/ml (varies by lot)
Sequence Length
346
Applicable Applications for anti-MAGEB3 antibody
IHC (Immunohistochemistry)
Immunogen Type
Peptide
Immunogen Description
Synthetic peptide corresponding to a region derived from internal residues of human melanoma antigen family B, 3
Target Name
MAGEB3
Preparation and Storage
Store at -20 degree C
Related Product Information for anti-MAGEB3 antibody
This gene is a MAGE-B subfamily member of the MAGE gene family. MAGE family member proteins direct the expression of tumor antigens recognized on a human melanoma by autologous cytolytic T lymphocytes. There are two known clusters of MAGE genes on chromosome X. The members of the MAGE-A subfamily are located in the Xq28 region, while the members of the MAGE-B subfamily are clustered in the Xp21 region.
Product Categories/Family for anti-MAGEB3 antibody
NCBI and Uniprot Product Information
NCBI GI #
NCBI GeneID
NCBI Accession #
NCBI GenBank Nucleotide #
Molecular Weight
39,211 Da
NCBI Official Full Name
melanoma-associated antigen B3
NCBI Official Synonym Full Names
melanoma antigen family B3
NCBI Official Symbol
MAGEB3
NCBI Official Synonym Symbols
CT3.5
NCBI Protein Information
melanoma-associated antigen B3
UniProt Protein Name
Melanoma-associated antigen B3
UniProt Gene Name
MAGEB3
UniProt Entry Name
MAGB3_HUMAN
Customer Reviews
Loading reviews...
Share Your Experience
Similar Products
Product Notes
The MAGEB3 mageb3 (Catalog #AAA302602) is an Antibody produced from Rabbit and is intended for research purposes only. The product is available for immediate purchase. The MAGEB3 Antibody reacts with Human and may cross-react with other species as described in the data sheet. AAA Biotech's MAGEB3 can be used in a range of immunoassay formats including, but not limited to, IHC (Immunohistochemistry). Researchers should empirically determine the suitability of the MAGEB3 mageb3 for an application not listed in the data sheet. Researchers commonly develop new applications and it is an integral, important part of the investigative research process. It is sometimes possible for the material contained within the vial of "MAGEB3, Polyclonal Antibody" to become dispersed throughout the inside of the vial, particularly around the seal of said vial, during shipment and storage. We always suggest centrifuging these vials to consolidate all of the liquid away from the lid and to the bottom of the vial prior to opening. Please be advised that certain products may require dry ice for shipping and that, if this is the case, an additional dry ice fee may also be required.Precautions
All products in the AAA Biotech catalog are strictly for research-use only, and are absolutely not suitable for use in any sort of medical, therapeutic, prophylactic, in-vivo, or diagnostic capacity. By purchasing a product from AAA Biotech, you are explicitly certifying that said products will be properly tested and used in line with industry standard. AAA Biotech and its authorized distribution partners reserve the right to refuse to fulfill any order if we have any indication that a purchaser may be intending to use a product outside of our accepted criteria.Disclaimer
Though we do strive to guarantee the information represented in this datasheet, AAA Biotech cannot be held responsible for any oversights or imprecisions. AAA Biotech reserves the right to adjust any aspect of this datasheet at any time and without notice. It is the responsibility of the customer to inform AAA Biotech of any product performance issues observed or experienced within 30 days of receipt of said product. To see additional details on this or any of our other policies, please see our Terms & Conditions page.Item has been added to Shopping Cart
If you are ready to order, navigate to Shopping Cart and get ready to checkout.
