Rabbit Map2 Polyclonal Antibody | anti-Map2 antibody
Map2 Polyclonal Antibody
Gene Names
MAP2; MAP2A; MAP2B; MAP2C
Reactivity
Human, Mouse, Rat
Applications
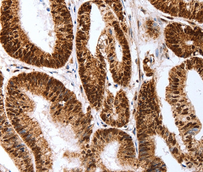
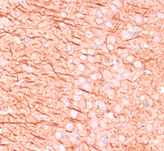
Immunohistochemistry
Purity
Affinity purification
Synonyms
Map2, Antibody; Map2 Polyclonal Antibody; MAP2; MAP2A; MAP2B; MAP2C; Map2; anti-Map2 antibody
Host
Rabbit
Reactivity
Human, Mouse, Rat
Clonality
Polyclonal
Isotype
IgG
Purity/Purification
Affinity purification
Form/Format
PBS with 0.02% sodium azide, 50% glycerol, pH7.3
Concentration
1mg/mL (varies by lot)
Applicable Applications for anti-Map2 antibody
IHC (Immunohistochemistry)
Immunogen
Recombinant fusion protein of human Map2 (NP_0010346271)
Conjugation
Unconjugated
Preparation and Storage
Store at -20 degree C. Avoid freeze/thaw cycles.
Related Product Information for anti-Map2 antibody
This gene encodes a protein that belongs to the microtubule-associated protein family. The proteins of this family are thought to be involved in microtubule assembly, which is an essential step in neurogenesis. The products of similar genes in rat and mouse are neuron-specific cytoskeletal proteins that are enriched in dentrites, implicating a role in determining and stabilizing dentritic shape during neuron development. A number of alternatively spliced variants encoding distinct isoforms have been described.
Product Categories/Family for anti-Map2 antibody
NCBI and Uniprot Product Information
NCBI GI #
NCBI GeneID
NCBI Accession #
NCBI GenBank Nucleotide #
Molecular Weight
199,526 Da
NCBI Official Full Name
microtubule-associated protein 2 isoform 1
NCBI Official Synonym Full Names
microtubule-associated protein 2
NCBI Official Symbol
MAP2
NCBI Official Synonym Symbols
MAP2A; MAP2B; MAP2C
NCBI Protein Information
microtubule-associated protein 2; MAP-2
UniProt Protein Name
Microtubule-associated protein 2
UniProt Gene Name
MAP2
UniProt Synonym Gene Names
MAP-2
UniProt Entry Name
MTAP2_HUMAN
Similar Products
Product Notes
The Map2 map2 (Catalog #AAA177076) is an Antibody produced from Rabbit and is intended for research purposes only. The product is available for immediate purchase. The Map2 Polyclonal Antibody reacts with Human, Mouse, Rat and may cross-react with other species as described in the data sheet. AAA Biotech's Map2 can be used in a range of immunoassay formats including, but not limited to, IHC (Immunohistochemistry). Researchers should empirically determine the suitability of the Map2 map2 for an application not listed in the data sheet. Researchers commonly develop new applications and it is an integral, important part of the investigative research process. It is sometimes possible for the material contained within the vial of "Map2, Polyclonal Antibody" to become dispersed throughout the inside of the vial, particularly around the seal of said vial, during shipment and storage. We always suggest centrifuging these vials to consolidate all of the liquid away from the lid and to the bottom of the vial prior to opening. Please be advised that certain products may require dry ice for shipping and that, if this is the case, an additional dry ice fee may also be required.Precautions
All products in the AAA Biotech catalog are strictly for research-use only, and are absolutely not suitable for use in any sort of medical, therapeutic, prophylactic, in-vivo, or diagnostic capacity. By purchasing a product from AAA Biotech, you are explicitly certifying that said products will be properly tested and used in line with industry standard. AAA Biotech and its authorized distribution partners reserve the right to refuse to fulfill any order if we have any indication that a purchaser may be intending to use a product outside of our accepted criteria.Disclaimer
Though we do strive to guarantee the information represented in this datasheet, AAA Biotech cannot be held responsible for any oversights or imprecisions. AAA Biotech reserves the right to adjust any aspect of this datasheet at any time and without notice. It is the responsibility of the customer to inform AAA Biotech of any product performance issues observed or experienced within 30 days of receipt of said product. To see additional details on this or any of our other policies, please see our Terms & Conditions page.Item has been added to Shopping Cart
If you are ready to order, navigate to Shopping Cart and get ready to checkout.
