Rabbit MaxiK alpha Polyclonal Antibody | anti-KCNMA1 antibody
MaxiK alpha Antibody
Phosphate buffered saline, pH 7.4, 150mM NaCl, 0.02% sodium azide and 50% glycerol.
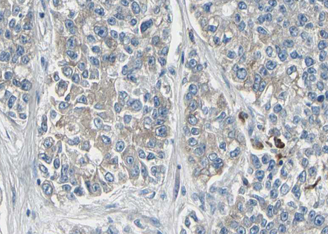
IHC (Immunohiostchemistry)
(AAA327529 at 1/100 staining human lung carcinoma tissue sections by IHC-P. The tissue was formaldehyde fixed and a heat mediated antigen retrieval step in citrate buffer was performed. The tissue was then blocked and incubated with the antibody for 1.5 hours at 22 degree C. An HRP conjugated goat anti-rabbit antibody was used as the secondary.)
WB (Western Blot)
(Western blot analysis of extracts from Mouse Myeloma cell, using MaxiK alpha Antibody. Lane 1 was treated with the blocking peptide.)
Subunit Structure: Homotetramer; which constitutes the calcium-activated potassium channel. Interacts with RAB11B (By similarity). Interacts with beta subunits KCNMB1, KCNMB2, KCNMB3 and KCNMB4. Interacts with gamma subunits LRRC26, LRRC38, LRRC52 and LRRC55. Beta and gamma subunits are accessory, and modulate its activity.
Post-translational Modifications: Phosphorylated (Probable). Phosphorylation by kinases such as PKA and/or PKG. In smooth muscles, phosphorylation affects its activity. Palmitoylation by ZDHHC22 and ZDHHC23 within the intracellular linker between the S0 and S1 transmembrane domains regulates localization to the plasma membrane. Depalmitoylated by LYPLA1 and LYPLAL1, leading to retard exit from the trans-Golgi network.
Similarity: The S0 segment is essential for the modulation by the accessory beta subunits KCNMB1, KCNMB2, KCNMB3 and KCNMB4.The S4 segment, which is characterized by a series of positively charged amino acids at every third position, is part of the voltage-sensor.The pore-forming domain (also referred as P region) is imbedded into the membrane, and forms the selectivity filter of the pore. It contains the signature sequence of potassium channels that displays selectivity to potassium.The RCK N-terminal domain mediates the homotetramerization, thereby promoting the assembly of monomers into functional potassium channel. It includes binding sites for Ca2+ and Mg2+ (By similarity).The calcium bowl constitutes one of the Ca2+ sensors and probably acts as a Ca2+-binding site. There are however other Ca2+ sensors regions required for activation of the channel.The heme-binding motif mediates inhibition of channel activation by heme. Carbon monoxide-bound heme leads to increased channel activation. Belongs to the potassium channel family. Calcium-activated (TC 1.A.1.3) subfamily. KCa1.1/KCNMA1 sub-subfamily.
NCBI and Uniprot Product Information
Predicted: 138 kDa
Customer Reviews
Loading reviews...
Share Your Experience
Similar Products
Product Notes
The KCNMA1 kcnma1 (Catalog #AAA327529) is an Antibody produced from Rabbit and is intended for research purposes only. The product is available for immediate purchase. The MaxiK alpha Antibody reacts with Human, Mouse, Rat and may cross-react with other species as described in the data sheet. AAA Biotech's MaxiK alpha can be used in a range of immunoassay formats including, but not limited to, ELISA, IHC (Immunohistochemistry), WB (Western Blot). Researchers should empirically determine the suitability of the KCNMA1 kcnma1 for an application not listed in the data sheet. Researchers commonly develop new applications and it is an integral, important part of the investigative research process. It is sometimes possible for the material contained within the vial of "MaxiK alpha, Polyclonal Antibody" to become dispersed throughout the inside of the vial, particularly around the seal of said vial, during shipment and storage. We always suggest centrifuging these vials to consolidate all of the liquid away from the lid and to the bottom of the vial prior to opening. Please be advised that certain products may require dry ice for shipping and that, if this is the case, an additional dry ice fee may also be required.Precautions
All products in the AAA Biotech catalog are strictly for research-use only, and are absolutely not suitable for use in any sort of medical, therapeutic, prophylactic, in-vivo, or diagnostic capacity. By purchasing a product from AAA Biotech, you are explicitly certifying that said products will be properly tested and used in line with industry standard. AAA Biotech and its authorized distribution partners reserve the right to refuse to fulfill any order if we have any indication that a purchaser may be intending to use a product outside of our accepted criteria.Disclaimer
Though we do strive to guarantee the information represented in this datasheet, AAA Biotech cannot be held responsible for any oversights or imprecisions. AAA Biotech reserves the right to adjust any aspect of this datasheet at any time and without notice. It is the responsibility of the customer to inform AAA Biotech of any product performance issues observed or experienced within 30 days of receipt of said product. To see additional details on this or any of our other policies, please see our Terms & Conditions page.Item has been added to Shopping Cart
If you are ready to order, navigate to Shopping Cart and get ready to checkout.
