Rabbit MBNL1 Polyclonal Antibody | anti-MBNL1 antibody
MBNL1 Polyclonal Antibody
Reactivity
Human, Mouse, Rat
Applications
Immunofluorescence, Immunohistochemistry, Western Blot
Purity
Affinity purification
Synonyms
MBNL1, Antibody; MBNL1 Polyclonal Antibody; EXP; MBNL; EXP35; EXP40; EXP42; anti-MBNL1 antibody
Host
Rabbit
Reactivity
Human, Mouse, Rat
Clonality
Polyclonal
Isotype
IgG
Purity/Purification
Affinity purification
Form/Format
PBS with 0.02% sodium azide, 50% glycerol, pH7.3
Sequence Length
139
Applicable Applications for anti-MBNL1 antibody
IF (Immunofluorescence), IHC (Immunohistochemistry), WB (Western Blot)
Immunogen
Recombinant protein of human MBNL1
Santa Cruz Alternative
Potential replacement for Santa Cruz Biotechnology antibody catalog# sc-50087 / sc-50088 / sc-50089
Preparation and Storage
Store at -20 degree C. Avoid freeze/thaw cycles.
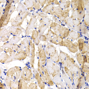
IHC (Immunohiostchemistry)
(Immunohistochemistry of paraffin-embedded rat heart using MBNL1 antibody at dilution of 1:100 (x40 lens).)
Related Product Information for anti-MBNL1 antibody
Background: This gene encodes a member of the muscleblind protein family which was initially described in Drosophila melanogaster. The encoded protein is a C3H-type zinc finger protein that modulates alternative splicing of premRNAs. Muscleblind proteins bind specifically to expanded dsCUG RNA but not to normal size CUG repeats and may thereby play a role in the pathophysiology of myotonic dystrophy. Mice lacking this gene exhibited muscle abnormalities and cataracts. Several alternatively spliced transcript variants have been described but the full-length natures of only some have been determined. The different isoforms are thought to have different binding specificities and/or splicing activities
NCBI and Uniprot Product Information
NCBI GI #
Molecular Weight
Calculated MW 33kDa/34kDa/36kDa/37kDa/39kDa/40kDa/41kDa
Observed MW 42kDa
Observed MW 42kDa
NCBI Official Full Name
MBNL1, partial
Similar Products
Product Notes
The MBNL1 (Catalog #AAA172758) is an Antibody produced from Rabbit and is intended for research purposes only. The product is available for immediate purchase. The MBNL1 Polyclonal Antibody reacts with Human, Mouse, Rat and may cross-react with other species as described in the data sheet. AAA Biotech's MBNL1 can be used in a range of immunoassay formats including, but not limited to, IF (Immunofluorescence), IHC (Immunohistochemistry), WB (Western Blot). Researchers should empirically determine the suitability of the MBNL1 for an application not listed in the data sheet. Researchers commonly develop new applications and it is an integral, important part of the investigative research process. It is sometimes possible for the material contained within the vial of "MBNL1, Polyclonal Antibody" to become dispersed throughout the inside of the vial, particularly around the seal of said vial, during shipment and storage. We always suggest centrifuging these vials to consolidate all of the liquid away from the lid and to the bottom of the vial prior to opening. Please be advised that certain products may require dry ice for shipping and that, if this is the case, an additional dry ice fee may also be required.Precautions
All products in the AAA Biotech catalog are strictly for research-use only, and are absolutely not suitable for use in any sort of medical, therapeutic, prophylactic, in-vivo, or diagnostic capacity. By purchasing a product from AAA Biotech, you are explicitly certifying that said products will be properly tested and used in line with industry standard. AAA Biotech and its authorized distribution partners reserve the right to refuse to fulfill any order if we have any indication that a purchaser may be intending to use a product outside of our accepted criteria.Disclaimer
Though we do strive to guarantee the information represented in this datasheet, AAA Biotech cannot be held responsible for any oversights or imprecisions. AAA Biotech reserves the right to adjust any aspect of this datasheet at any time and without notice. It is the responsibility of the customer to inform AAA Biotech of any product performance issues observed or experienced within 30 days of receipt of said product. To see additional details on this or any of our other policies, please see our Terms & Conditions page.Item has been added to Shopping Cart
If you are ready to order, navigate to Shopping Cart and get ready to checkout.
