Rabbit MEF2D Polyclonal Antibody | anti-MEF2D antibody
Phospho-MEF2D (Ser180) Antibody
Predicted: Pig, Zebrafish, Horse, Rabbit, Dog, Chicken, Xenopus
Predicted: Pig, Zebrafish, Horse, Rabbit, Dog, Chicken, Xenopus
WB (Western Blot)
(Western blot analysis of Phospho-MEF2D (Ser180) in lysates of HepG2 forskolin 40nM 30', using Phospho-MEF2D (Ser180) Antibody.)
IHC (Immunohiostchemistry)
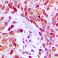
(At 1/100 staining rat heart tissue sections by IHC-P. The tissue was formaldehyde fixed and a heat mediated antigen retrieval step in citrate buffer was performed. The tissue was then blocked and incubated with the antibody for 1.5 hours at 22 degree C. An HRP conjugated goat anti-rabbit antibody was used as the secondary)
IHC (Immunohistochemistry)
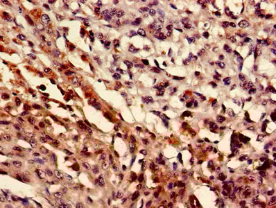
(At 1/100 staining mouse liver tissue sections by IHC-P. The tissue was formaldehyde fixed and a heat mediated antigen retrieval step in citrate buffer was performed. The tissue was then blocked and incubated with the antibody for 1.5 hours at 22 degree C. An HRP conjugated goat anti-rabbit antibody was used as the secondary)
Post Translational Modifications: Phosphorylated on Ser-444 by CDK5 is required for Lys-439 sumoylation and inhibits transcriptional activity. In neurons, enhanced CDK5 activity induced by neurotoxins promotes caspase 3-mediated cleavage leading to neuron apoptosis. Phosphorylation on Ser-180 can be enhanced by EGF. Phosphorylated and activated by CaMK4. Acetylated on Lys-439 by CREBBP. Acetylated by EP300. Deacetylated by SIRT1 and HDAC3. Sumoylated on Lys-439 with SUMO2 but not SUMO1; which inhibits transcriptional activity and myogenic activity. Desumoylated by SENP3. Proteolytically cleaved in cerebellar granule neurons on several sites by caspase 7 following neurotoxicity. Preferentially cleaves the CDK5-mediated hyperphosphorylated form which leads to neuron apoptosis and transcriptional inactivation (By similarity).
Subunit Structure: Interacts with MYOG (By similarity). Forms a complex with class II HDACs in undifferentiating cells. On myogenic differentiation, HDACs are released into the cytoplasm allowing MEF2s to interact with other proteins for activation. Interacts with HDAC4 (in undifferentiating cells); the interaction translocates MEF2D to nuclear dots. Forms a heterodimer with MEF2A. Interacts with MAPK7; the interaction phosphorylates but does not activate MEF2D (By similarity). Interacts with CCAR2 and HDAC3.
Similarity: The beta domain, missing in a number of isoforms, is required for enhancement of transcriptional activity. Belongs to the MEF2 family.
NCBI and Uniprot Product Information
Predicted: 56 kDa
Customer Reviews
Loading reviews...
Share Your Experience
Similar Products
Product Notes
The MEF2D mef2d (Catalog #AAA328515) is an Antibody produced from Rabbit and is intended for research purposes only. The product is available for immediate purchase. The Phospho-MEF2D (Ser180) Antibody reacts with Human, Mouse, Rat Predicted: Pig, Zebrafish, Horse, Rabbit, Dog, Chicken, Xenopus and may cross-react with other species as described in the data sheet. AAA Biotech's MEF2D can be used in a range of immunoassay formats including, but not limited to, ELISA (Peptide ELISA), IHC (Immunohistochemistry), WB (Western Blot). Researchers should empirically determine the suitability of the MEF2D mef2d for an application not listed in the data sheet. Researchers commonly develop new applications and it is an integral, important part of the investigative research process. It is sometimes possible for the material contained within the vial of "MEF2D, Polyclonal Antibody" to become dispersed throughout the inside of the vial, particularly around the seal of said vial, during shipment and storage. We always suggest centrifuging these vials to consolidate all of the liquid away from the lid and to the bottom of the vial prior to opening. Please be advised that certain products may require dry ice for shipping and that, if this is the case, an additional dry ice fee may also be required.Precautions
All products in the AAA Biotech catalog are strictly for research-use only, and are absolutely not suitable for use in any sort of medical, therapeutic, prophylactic, in-vivo, or diagnostic capacity. By purchasing a product from AAA Biotech, you are explicitly certifying that said products will be properly tested and used in line with industry standard. AAA Biotech and its authorized distribution partners reserve the right to refuse to fulfill any order if we have any indication that a purchaser may be intending to use a product outside of our accepted criteria.Disclaimer
Though we do strive to guarantee the information represented in this datasheet, AAA Biotech cannot be held responsible for any oversights or imprecisions. AAA Biotech reserves the right to adjust any aspect of this datasheet at any time and without notice. It is the responsibility of the customer to inform AAA Biotech of any product performance issues observed or experienced within 30 days of receipt of said product. To see additional details on this or any of our other policies, please see our Terms & Conditions page.Item has been added to Shopping Cart
If you are ready to order, navigate to Shopping Cart and get ready to checkout.
