Rabbit anti-Human Membrane-associated tyrosine-and threonine-specific cdc2-inhibitory kinase Polyclonal Antibody | anti-PKMYT1 antibody
Rabbit anti-human Membrane-associated tyrosine-and threonine-specific cdc2-inhibitory kinase polyclonal Antibody
Gene Names
PKMYT1; MYT1; PPP1R126
Reactivity
Human
Applications
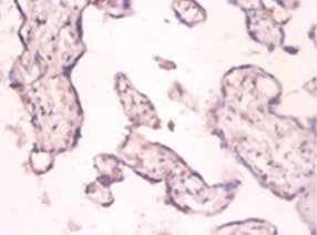
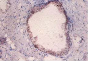
Immunohistochemistry, ELISA
Purity
Caprylic Acid Ammonium Sulfate Precipitation purified
Synonyms
Membrane-associated tyrosine-and threonine-specific cdc2-inhibitory kinase, Antibody; Rabbit anti-human Membrane-associated tyrosine-and threonine-specific cdc2-inhibitory kinase polyclonal Antibody; Myt1 kinase; PKMYT1; MYT1; anti-PKMYT1 antibody
Host
Rabbit
Reactivity
Human
Clonality
Polyclonal
Isotype
IgG
Purity/Purification
Caprylic Acid Ammonium Sulfate Precipitation purified
Form/Format
Liquid
Sequence Length
430
Applicable Applications for anti-PKMYT1 antibody
IHC (Immunohistochemistry), ELISA
Immunogen
Recombinant human Membrane-associated tyrosine- and threonine-specific cdc2-inhibitory kinase
Conjugation
Non-conjugated
Storage Buffer
Preservative: 0.03% Proclin 300; Constituents: 50% Glycerol, 0.01M PBS, PH 7.4
Santa Cruz Alternative
Potential replacement for Santa Cruz Biotechnology antibody catalog# sc-6353 / sc-6352 / sc-13081
Preparation and Storage
Shipped at 4 degree C. Upon delivery, aliquot and store at -20 degree C or -80 degree C.
Related Product Information for anti-PKMYT1 antibody
Acts as a negative regulator of entry into mitosis (G2 to M transition) by phosphorylation of the CDK1 kinase specifically when CDK1 is complexed to cyclins. Mediates phosphorylation of CDK1 predominantly on 'Thr-14'. Also involved in Golgi fragmentation. May be involved in phosphorylation of CDK1 on 'Tyr-15' to a lesser degree, however tyrosine kinase activity is unclear and may be indirect. May be a downstream target of Notch signaling pathway during eye development.
This protein is a member of the serine/threonine protein kinase family. This kinase preferentially phosphorylates and inactivates cell division cycle 2 protein (CDC2), and thus negatively regulates cell cycle G2/M transition. This kinase is associated with the membrane throughout the cell cycle. Its activity is highly regulated during the cell cycle. Protein kinases AKT1/PKB and PLK (Polo-like kinase) have been shown to phosphorylate and regulate the activity of this kinase. Alternatively spliced transcript variants encoding distinct isoforms have been reported.
This protein is a member of the serine/threonine protein kinase family. This kinase preferentially phosphorylates and inactivates cell division cycle 2 protein (CDC2), and thus negatively regulates cell cycle G2/M transition. This kinase is associated with the membrane throughout the cell cycle. Its activity is highly regulated during the cell cycle. Protein kinases AKT1/PKB and PLK (Polo-like kinase) have been shown to phosphorylate and regulate the activity of this kinase. Alternatively spliced transcript variants encoding distinct isoforms have been reported.
NCBI and Uniprot Product Information
NCBI GI #
NCBI GeneID
NCBI Accession #
NCBI GenBank Nucleotide #
Molecular Weight
47,284 Da
NCBI Official Full Name
membrane-associated tyrosine- and threonine-specific cdc2-inhibitory kinase isoform 3
NCBI Official Synonym Full Names
protein kinase, membrane associated tyrosine/threonine 1
NCBI Official Symbol
PKMYT1
NCBI Official Synonym Symbols
MYT1; PPP1R126
NCBI Protein Information
membrane-associated tyrosine- and threonine-specific cdc2-inhibitory kinase
UniProt Protein Name
Membrane-associated tyrosine- and threonine-specific cdc2-inhibitory kinase
UniProt Gene Name
PKMYT1
UniProt Synonym Gene Names
MYT1
UniProt Entry Name
PMYT1_HUMAN
Customer Reviews
Loading reviews...
Share Your Experience
Similar Products
Product Notes
The PKMYT1 pkmyt1 (Catalog #AAA230442) is an Antibody produced from Rabbit and is intended for research purposes only. The product is available for immediate purchase. The Rabbit anti-human Membrane-associated tyrosine-and threonine-specific cdc2-inhibitory kinase polyclonal Antibody reacts with Human and may cross-react with other species as described in the data sheet. AAA Biotech's Membrane-associated tyrosine-and threonine-specific cdc2-inhibitory kinase can be used in a range of immunoassay formats including, but not limited to, IHC (Immunohistochemistry), ELISA. Researchers should empirically determine the suitability of the PKMYT1 pkmyt1 for an application not listed in the data sheet. Researchers commonly develop new applications and it is an integral, important part of the investigative research process. It is sometimes possible for the material contained within the vial of "Membrane-associated tyrosine-and threonine-specific cdc2-inhibitory kinase, Polyclonal Antibody" to become dispersed throughout the inside of the vial, particularly around the seal of said vial, during shipment and storage. We always suggest centrifuging these vials to consolidate all of the liquid away from the lid and to the bottom of the vial prior to opening. Please be advised that certain products may require dry ice for shipping and that, if this is the case, an additional dry ice fee may also be required.Precautions
All products in the AAA Biotech catalog are strictly for research-use only, and are absolutely not suitable for use in any sort of medical, therapeutic, prophylactic, in-vivo, or diagnostic capacity. By purchasing a product from AAA Biotech, you are explicitly certifying that said products will be properly tested and used in line with industry standard. AAA Biotech and its authorized distribution partners reserve the right to refuse to fulfill any order if we have any indication that a purchaser may be intending to use a product outside of our accepted criteria.Disclaimer
Though we do strive to guarantee the information represented in this datasheet, AAA Biotech cannot be held responsible for any oversights or imprecisions. AAA Biotech reserves the right to adjust any aspect of this datasheet at any time and without notice. It is the responsibility of the customer to inform AAA Biotech of any product performance issues observed or experienced within 30 days of receipt of said product. To see additional details on this or any of our other policies, please see our Terms & Conditions page.Item has been added to Shopping Cart
If you are ready to order, navigate to Shopping Cart and get ready to checkout.
