Rabbit anti-Mouse, Rat METTL20 Polyclonal Antibody | anti-METTL20 antibody
METTL20 Polyclonal Antibody
Gene Names
METTL20; C12orf72
Reactivity
Mouse, Rat
Applications
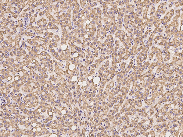
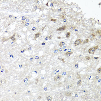
Immunohistochemistry, Western Blot
Purity
Affinity purification
Synonyms
METTL20, Antibody; METTL20 Polyclonal Antibody; ETFBKMT; C12orf72; ETFB-KMT; METTL20; electron transfer flavoprotein beta subunit lysine methyltransferase; anti-METTL20 antibody
Host
Rabbit
Reactivity
Mouse, Rat
Clonality
Polyclonal
Isotype
IgG
Purity/Purification
Affinity purification
Form/Format
PBS with 50% glycerol, pH7.4
Applicable Applications for anti-METTL20 antibody
IHC (Immunohistochemistry), WB (Western Blot)
Immunogen
Recombinant fusion protein of human METTL20 (NP_001129335.1).
Conjugation
Unconjugated
Preparation and Storage
Store at -20 degree C. Avoid freeze/thaw cycles.
Product Categories/Family for anti-METTL20 antibody
NCBI and Uniprot Product Information
NCBI GI #
NCBI GeneID
NCBI Accession #
NCBI GenBank Nucleotide #
Molecular Weight
29,461 Da
NCBI Official Full Name
methyltransferase-like protein 20
NCBI Official Synonym Full Names
methyltransferase like 20
NCBI Official Symbol
METTL20
NCBI Official Synonym Symbols
C12orf72
NCBI Protein Information
methyltransferase-like protein 20
UniProt Protein Name
Protein N-lysine methyltransferase METTL20
UniProt Gene Name
METTL20
UniProt Synonym Gene Names
C12orf72
UniProt Entry Name
MET20_HUMAN
Customer Reviews
Loading reviews...
Share Your Experience
Similar Products
Product Notes
The METTL20 mettl20 (Catalog #AAA311481) is an Antibody produced from Rabbit and is intended for research purposes only. The product is available for immediate purchase. The METTL20 Polyclonal Antibody reacts with Mouse, Rat and may cross-react with other species as described in the data sheet. AAA Biotech's METTL20 can be used in a range of immunoassay formats including, but not limited to, IHC (Immunohistochemistry), WB (Western Blot). Researchers should empirically determine the suitability of the METTL20 mettl20 for an application not listed in the data sheet. Researchers commonly develop new applications and it is an integral, important part of the investigative research process. It is sometimes possible for the material contained within the vial of "METTL20, Polyclonal Antibody" to become dispersed throughout the inside of the vial, particularly around the seal of said vial, during shipment and storage. We always suggest centrifuging these vials to consolidate all of the liquid away from the lid and to the bottom of the vial prior to opening. Please be advised that certain products may require dry ice for shipping and that, if this is the case, an additional dry ice fee may also be required.Precautions
All products in the AAA Biotech catalog are strictly for research-use only, and are absolutely not suitable for use in any sort of medical, therapeutic, prophylactic, in-vivo, or diagnostic capacity. By purchasing a product from AAA Biotech, you are explicitly certifying that said products will be properly tested and used in line with industry standard. AAA Biotech and its authorized distribution partners reserve the right to refuse to fulfill any order if we have any indication that a purchaser may be intending to use a product outside of our accepted criteria.Disclaimer
Though we do strive to guarantee the information represented in this datasheet, AAA Biotech cannot be held responsible for any oversights or imprecisions. AAA Biotech reserves the right to adjust any aspect of this datasheet at any time and without notice. It is the responsibility of the customer to inform AAA Biotech of any product performance issues observed or experienced within 30 days of receipt of said product. To see additional details on this or any of our other policies, please see our Terms & Conditions page.Item has been added to Shopping Cart
If you are ready to order, navigate to Shopping Cart and get ready to checkout.
