Host
Rabbit
Reactivity
Human, Mouse, Rat
Clonality
Polyclonal
Isotype
IgG
Specificity
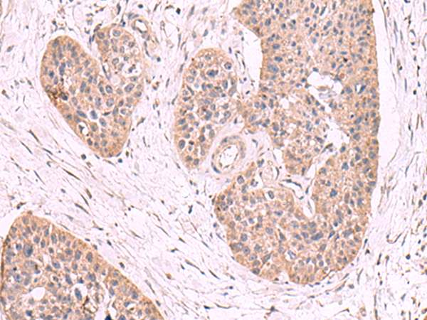
The antibody detects endogenous levels of total MGP protein.
Purity/Purification
Antigen affinity purification
Form/Format
pH 7.4 PBS, 0.05% NaN3, 40% Glycerol
Concentration
0.8 mg/mL (varies by lot)
Sequence Length
103
Applicable Applications for anti-MGP antibody
IHC (Immunohistochemistry)
Immunogen
Fusion protein of human MGP
Immunogen Type
Peptide
Preparation and Storage
Store at -20°C.
Related Product Information for anti-MGP antibody
This gene encodes a member of the osteocalcin/matrix Gla family of proteins. The encoded vitamin K-dependent protein is secreted by chondrocytes and vascular smooth muscle cells, and functions as a physiological inhibitor of ectopic tissue calcification. Carboxylation status of the encoded protein is associated with calcification of the vasculature in human patients with cardiovascular disease and calcification of the synovial membranes in osteoarthritis patients. Mutations in this gene cause Keutel syndrome in human patients, which is characterized by abnormal cartilage calcification, peripheral pulmonary stenosis and facial hypoplasia.
Product Categories/Family for anti-MGP antibody
NCBI and Uniprot Product Information
NCBI GI #
NCBI GeneID
NCBI Accession #
NCBI GenBank Nucleotide #
NCBI Official Full Name
matrix Gla protein isoform 2 preproprotein
NCBI Official Synonym Full Names
matrix Gla protein
NCBI Official Symbol
MGP
NCBI Official Synonym Symbols
NTI; GIG36; MGLAP
NCBI Protein Information
matrix Gla protein
UniProt Protein Name
Matrix Gla protein
UniProt Gene Name
MGP
UniProt Synonym Gene Names
MGLAP; MGP
Customer Reviews
Loading reviews...
Share Your Experience
Similar Products
Product Notes
The MGP mgp (Catalog #AAA310536) is an Antibody produced from Rabbit and is intended for research purposes only. The product is available for immediate purchase. The MGP Antibody reacts with Human, Mouse, Rat and may cross-react with other species as described in the data sheet. AAA Biotech's MGP can be used in a range of immunoassay formats including, but not limited to, IHC (Immunohistochemistry). Researchers should empirically determine the suitability of the MGP mgp for an application not listed in the data sheet. Researchers commonly develop new applications and it is an integral, important part of the investigative research process. It is sometimes possible for the material contained within the vial of "MGP, Polyclonal Antibody" to become dispersed throughout the inside of the vial, particularly around the seal of said vial, during shipment and storage. We always suggest centrifuging these vials to consolidate all of the liquid away from the lid and to the bottom of the vial prior to opening. Please be advised that certain products may require dry ice for shipping and that, if this is the case, an additional dry ice fee may also be required.Precautions
All products in the AAA Biotech catalog are strictly for research-use only, and are absolutely not suitable for use in any sort of medical, therapeutic, prophylactic, in-vivo, or diagnostic capacity. By purchasing a product from AAA Biotech, you are explicitly certifying that said products will be properly tested and used in line with industry standard. AAA Biotech and its authorized distribution partners reserve the right to refuse to fulfill any order if we have any indication that a purchaser may be intending to use a product outside of our accepted criteria.Disclaimer
Though we do strive to guarantee the information represented in this datasheet, AAA Biotech cannot be held responsible for any oversights or imprecisions. AAA Biotech reserves the right to adjust any aspect of this datasheet at any time and without notice. It is the responsibility of the customer to inform AAA Biotech of any product performance issues observed or experienced within 30 days of receipt of said product. To see additional details on this or any of our other policies, please see our Terms & Conditions page.Item has been added to Shopping Cart
If you are ready to order, navigate to Shopping Cart and get ready to checkout.
