Rabbit MPS1 Polyclonal Antibody | anti-RPS27 antibody
Anti-MPS1 Antibody
Each vial contains 5mg BSA, 0.9mg NaCl, 0.2mg Na2HPO4, 0.05mg NaN3.
By Heat: Boiling the paraffin sections in 10mM citrate buffer, pH6.0, for 20mins is required for the staining of formalin/paraffin sections.
Other applications have not been tested.
IHC (Immunohistochemistry)
(MPS1 was detected in paraffin-embedded sections of human intetsinal cancer tissues using rabbit anti- MPS1 Antigen Affinity purified polyclonal antibody at 1 ug/mL. The immunohistochemical section was developed using SABC method.)
IHC (Immunohistochemisry)
(MPS1 was detected in paraffin-embedded sections of rat brain tissues using rabbit anti- MPS1 Antigen Affinity purified polyclonal antibody at 1ug/mL. The immunohistochemical section was developed using SABC method.)
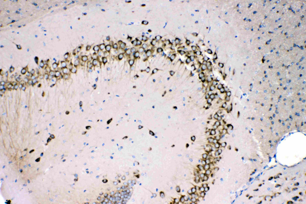
IHC (Immunohiostchemistry)
(MPS1 was detected in paraffin-embedded sections of mouse brain tissues using rabbit anti- MPS1 Antigen Affinity purified polyclonal antibody at 1ug/mL. The immunohistochemical section was developed using SABC method.)
WB (Western Blot)
(Western blot analysis of MPS1 expression in rat spleen extract (lane 1), mouse liver extract (lane 2) and HELA whole cell lysates (lane 3). MPS1 at 10KD was detected using rabbit anti- MPS1 Antigen Affinity purified polyclonal antibody at 0.5ug/mL. The blot was developed using chemiluminescence (ECL) method.)
Background: 40S ribosomal protein S27, also known as metallopan-stimulin 1 or MPS-1, is a protein that in humans is encoded by the RPS27 gene. Ribosomes, the organelles that catalyze protein synthesis, consist of a small 40S subunit and a large 60S subunit. Together these subunits are composed of 4 RNA species and approximately 80 structurally distinct proteins. This gene encodes a ribosomal protein that is a component of the 40S subunit. The protein belongs to the S27E family of ribosomal proteins. It contains a C4-type zinc finger domain that can bind to zinc. The encoded protein has been shown to be able to bind to nucleic acid. It is located in the cytoplasm as a ribosomal component, but it has also been detected in the nucleus. Studies in rat indicate that ribosomal protein S27 is located near ribosomal protein S18 in the 40S subunit and is covalently linked to translation initiation factor eIF3. As is typical for genes encoding ribosomal proteins, there are multiple processed pseudogenes of this gene dispersed through the genome.
2. Tsui SK, Lee SM, Fung KP, Waye MM, Lee CY (Oct 1996). "Primary structures and sequence analysis of human ribosomal proteins L39 and S27". Biochemistry and Molecular Biology International 40 (3): 611-6.
NCBI and Uniprot Product Information
Customer Reviews
Loading reviews...
Share Your Experience
Similar Products
Product Notes
The RPS27 rps27 (Catalog #AAA46846) is an Antibody produced from Rabbit and is intended for research purposes only. The product is available for immediate purchase. The Anti-MPS1 Antibody reacts with Human, Mouse, Rat and may cross-react with other species as described in the data sheet. AAA Biotech's MPS1 can be used in a range of immunoassay formats including, but not limited to, IHC (Immunohistochemistry), WB (Western Blot). Researchers should empirically determine the suitability of the RPS27 rps27 for an application not listed in the data sheet. Researchers commonly develop new applications and it is an integral, important part of the investigative research process. It is sometimes possible for the material contained within the vial of "MPS1, Polyclonal Antibody" to become dispersed throughout the inside of the vial, particularly around the seal of said vial, during shipment and storage. We always suggest centrifuging these vials to consolidate all of the liquid away from the lid and to the bottom of the vial prior to opening. Please be advised that certain products may require dry ice for shipping and that, if this is the case, an additional dry ice fee may also be required.Precautions
All products in the AAA Biotech catalog are strictly for research-use only, and are absolutely not suitable for use in any sort of medical, therapeutic, prophylactic, in-vivo, or diagnostic capacity. By purchasing a product from AAA Biotech, you are explicitly certifying that said products will be properly tested and used in line with industry standard. AAA Biotech and its authorized distribution partners reserve the right to refuse to fulfill any order if we have any indication that a purchaser may be intending to use a product outside of our accepted criteria.Disclaimer
Though we do strive to guarantee the information represented in this datasheet, AAA Biotech cannot be held responsible for any oversights or imprecisions. AAA Biotech reserves the right to adjust any aspect of this datasheet at any time and without notice. It is the responsibility of the customer to inform AAA Biotech of any product performance issues observed or experienced within 30 days of receipt of said product. To see additional details on this or any of our other policies, please see our Terms & Conditions page.Item has been added to Shopping Cart
If you are ready to order, navigate to Shopping Cart and get ready to checkout.
