Rabbit anti-Mouse, Rat MTCO1 Polyclonal Antibody | anti-MT-CO1 antibody
Anti-MTCO1 antibody
Reactivity
Mouse, Rat
Applications
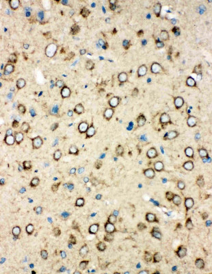
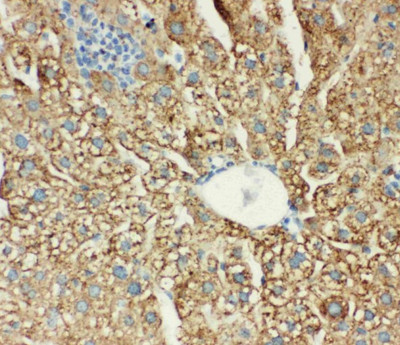
Immunocytochemistry, Immunohistochemistry, Western Blot
Purity
Immunogen affinity purified.
Synonyms
MTCO1, Antibody; Anti-MTCO1 antibody; Cytochrome c oxidase subunit 1; mitochondrially encoded cytochrome c oxidase I; COI antibody; COX I antibody; COX1_HUMAN antibody; COXI antibody; Cytochrome c oxidase polypeptide I antibody; Cytochrome c oxidase subunit 1 antibody; Cytochrome C Oxidase subunit I antibody; Mitochondrially encoded cytochrome c oxidase I antibody; MT CO1 antibody; MT-CO1 antibody; MTCO 1 antibody; MTCO1 antibody; anti-MT-CO1 antibody
Host
Rabbit
Reactivity
Mouse, Rat
Clonality
Polyclonal
Isotype
IgG
Specificity
No cross reactivity with other proteins
Purity/Purification
Immunogen affinity purified.
Form/Format
Lyophilized
Sequence Length
514
Applicable Applications for anti-MT-CO1 antibody
ICC (Immunocytochemistry), IHC (Immunohistochemistry), WB (Western Blot)
Immunogen
A synthetic peptide corresponding to a sequence at the C-terminus of mouse MTCO1 (501-514aa PYHTFEEPTYVKVK), different from the related rat sequence by one amino acid.
Contents
Each vial contains 5mg BSA, 0.9mg NaCl, 0.2mg Na2HPO4, 0.05mg Thimerosal, 0.05mg NaN3.
Reconstitution
Add 0.2ml of distilled water will yield a concentration of 500ug/ml.
Preparation and Storage
At -20 degree C for one year. After reconstitution, at 4 degree C for one month. It can also be aliquotted and stored frozen at -20 degree C for a longer time. Avoid repeated freezing and thawing.
WB (Western Blot)
(Anti-MTCO1 antibody, AAA45740, Western blottingLane 1: Rat Heart Tissue LysateLane 2: Mouse Heart Tissue Lysate)
Related Product Information for anti-MT-CO1 antibody
Background: Cytochrome c oxidase subunit I(CO1 or MTCO1) is 1 of 3 mitochondrial DNA(mtDNA) encoded subunits(MTCO1, MTCO2, MTCO3) of respiratory Complex IV. Complex IV is located within the mitochondrial inner membrane and is the third and final enzyme of the electron transport chain of mitochondrial oxidative phosphorylation. It is composed of 13 polypeptides. Subunits I, II, and III(MTCO1, MTCO2, MTCO3) are encoded by mtDNA while subunits IV, Va, Vb, VIa, VIb, VIc, VIIa, VIIb, VIIc, and VIII are nuclear encoded. The cytochrome c oxidase family of enzymes have 4 redox centers, 2 hemes and 2 copper centers. In mitochondrial Complex IV, the 2 hemes are a and a3 and the 2 coppers are CuA and CuB. The 2 hemes and CuB are bound to subunit I. Acin-Perez et al.(2003) identified a cell line containing single and double missense mutations in the cytochrome c oxidase(COX) subunit I gene of mouse mitochondrial DNA. And they hypothesized that deleterious mutations can arise and become predominant; cultured cells can maintain several mtDNA haplotypes at stable frequencies; the respiratory chain has little spare COX capacity; and that the size of a cavity in the vicinity of val421 in MTCO1I of animal COX may affect the function of the enzyme.
NCBI and Uniprot Product Information
Similar Products
Product Notes
The MT-CO1 mtco1 (Catalog #AAA45740) is an Antibody produced from Rabbit and is intended for research purposes only. The product is available for immediate purchase. The Anti-MTCO1 antibody reacts with Mouse, Rat and may cross-react with other species as described in the data sheet. AAA Biotech's MTCO1 can be used in a range of immunoassay formats including, but not limited to, ICC (Immunocytochemistry), IHC (Immunohistochemistry), WB (Western Blot). Researchers should empirically determine the suitability of the MT-CO1 mtco1 for an application not listed in the data sheet. Researchers commonly develop new applications and it is an integral, important part of the investigative research process. It is sometimes possible for the material contained within the vial of "MTCO1, Polyclonal Antibody" to become dispersed throughout the inside of the vial, particularly around the seal of said vial, during shipment and storage. We always suggest centrifuging these vials to consolidate all of the liquid away from the lid and to the bottom of the vial prior to opening. Please be advised that certain products may require dry ice for shipping and that, if this is the case, an additional dry ice fee may also be required.Precautions
All products in the AAA Biotech catalog are strictly for research-use only, and are absolutely not suitable for use in any sort of medical, therapeutic, prophylactic, in-vivo, or diagnostic capacity. By purchasing a product from AAA Biotech, you are explicitly certifying that said products will be properly tested and used in line with industry standard. AAA Biotech and its authorized distribution partners reserve the right to refuse to fulfill any order if we have any indication that a purchaser may be intending to use a product outside of our accepted criteria.Disclaimer
Though we do strive to guarantee the information represented in this datasheet, AAA Biotech cannot be held responsible for any oversights or imprecisions. AAA Biotech reserves the right to adjust any aspect of this datasheet at any time and without notice. It is the responsibility of the customer to inform AAA Biotech of any product performance issues observed or experienced within 30 days of receipt of said product. To see additional details on this or any of our other policies, please see our Terms & Conditions page.Item has been added to Shopping Cart
If you are ready to order, navigate to Shopping Cart and get ready to checkout.
