Rabbit mTOR Polyclonal Antibody | anti-mTOR antibody
Phospho-mTOR (Ser2454) Antibody
Predicted: Pig, Bovine, Horse, Sheep, Rabbit, Dog, Chicken
Predicted: Pig, Bovine, Horse, Sheep, Rabbit, Dog, Chicken
WB (Western Blot)
(Western blot analysis of Phospho-mTOR (Ser2454) in lysates of HeLa?, using Phospho-mTOR (Ser2454) Antibody.)
IHC (Immunohistochemisry)
(At 1/100 staining human gastric cancer tissue sections by IHC-P. The tissue was formaldehyde fixed and a heat mediated antigen retrieval step in citrate buffer was performed. The tissue was then blocked and incubated with the antibody for 1.5 hours at 22 degree C. An HRP conjugated goat anti-rabbit antibody was used as the secondary)
IHC (Immunohiostchemistry)
(At 1/100 staining rat brain tissue sections by IHC-P. The tissue was formaldehyde fixed and a heat mediated antigen retrieval step in citrate buffer was performed. The tissue was then blocked and incubated with the antibody for 1.5 hours at 22 degree C. An HRP conjugated goat anti-rabbit antibody was used as the secondary)
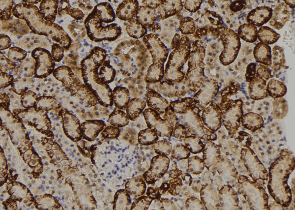
IHC (Immunohistochemistry)
(At 1/100 staining mouse kidney tissue sections by IHC-P. The tissue was formaldehyde fixed and a heat mediated antigen retrieval step in citrate buffer was performed. The tissue was then blocked and incubated with the antibody for 1.5 hours at 22 degree C. An HRP conjugated goat anti-rabbit antibody was used as the secondary)
Post Translational Modifications: Autophosphorylates when part of mTORC1 or mTORC2. Phosphorylation at Ser-1261, Ser-2159 and Thr-2164 promotes autophosphorylation. Phosphorylation in the kinase domain modulates the interactions of MTOR with RPTOR and PRAS40 and leads to increased intrinsic mTORC1 kinase activity. Phosphorylation at Thr-2173 in the ATP-binding region by AKT1 strongly reduces kinase activity.
Subunit Structure: Part of the mammalian target of rapamycin complex 1 (mTORC1) which contains MTOR, MLST8, RPTOR, AKT1S1/PRAS40 and DEPTOR. The mTORC1 complex is a 1 Md obligate dimer of two stoichiometric heterotetramers with overall dimensions of 290 A x 210 A x 135 A. It has a rhomboid shape and a central cavity, the dimeric interfaces are formed by interlocking interactions between the two MTOR and the two RPTOR subunits. The MLST8 subunit forms distal foot-like protuberances, and contacts only one MTOR within the complex, while the small PRAS40 localizes to the midsection of the central core, in close proximity to RPTOR. Part of the mammalian target of rapamycin complex 2 (mTORC2) which contains MTOR, MLST8, PRR5, RICTOR, MAPKAP1 and DEPTOR. Interacts with PLPP7 and PML. Interacts with PRR5 and RICTOR; the interaction is direct within the mTORC2 complex. Interacts with WAC; WAC positively regulates MTOR activity by promoting the assembly of the TTT complex composed of TELO2, TTI1 and TTI2 and the RUVBL complex composed of RUVBL1 and RUVBL2 into the TTT-RUVBL complex which leads to the dimerization of the mTORC1 complex and its subsequent activation (PubMed:26812014). Interacts with UBQLN1. Interacts with TTI1 and TELO2. Interacts with CLIP1; phosphorylates and regulates CLIP1. Interacts with NBN. Interacts with HTR6 (PubMed:23027611). Interacts with BRAT1.
Similarity: The kinase domain (PI3K/PI4K) is intrinsically active but has a highly restricted catalytic center. The FAT domain forms three discontinuous subdomains of alpha-helical TPR repeats plus a single subdomain of HEAT repeats. The four domains pack sequentially to form a C-shaped a-solenoid that clamps onto the kinase domain (PubMed:23636326). Belongs to the PI3/PI4-kinase family.
NCBI and Uniprot Product Information
Predicted: 289 kDa
Customer Reviews
Loading reviews...
Share Your Experience
Similar Products
Product Notes
The mTOR mtor (Catalog #AAA328451) is an Antibody produced from Rabbit and is intended for research purposes only. The product is available for immediate purchase. The Phospho-mTOR (Ser2454) Antibody reacts with Human, Mouse, Rat Predicted: Pig, Bovine, Horse, Sheep, Rabbit, Dog, Chicken and may cross-react with other species as described in the data sheet. AAA Biotech's mTOR can be used in a range of immunoassay formats including, but not limited to, ELISA (Peptide ELISA), IHC (Immunohistochemistry), WB (Western Blot). Researchers should empirically determine the suitability of the mTOR mtor for an application not listed in the data sheet. Researchers commonly develop new applications and it is an integral, important part of the investigative research process. It is sometimes possible for the material contained within the vial of "mTOR, Polyclonal Antibody" to become dispersed throughout the inside of the vial, particularly around the seal of said vial, during shipment and storage. We always suggest centrifuging these vials to consolidate all of the liquid away from the lid and to the bottom of the vial prior to opening. Please be advised that certain products may require dry ice for shipping and that, if this is the case, an additional dry ice fee may also be required.Precautions
All products in the AAA Biotech catalog are strictly for research-use only, and are absolutely not suitable for use in any sort of medical, therapeutic, prophylactic, in-vivo, or diagnostic capacity. By purchasing a product from AAA Biotech, you are explicitly certifying that said products will be properly tested and used in line with industry standard. AAA Biotech and its authorized distribution partners reserve the right to refuse to fulfill any order if we have any indication that a purchaser may be intending to use a product outside of our accepted criteria.Disclaimer
Though we do strive to guarantee the information represented in this datasheet, AAA Biotech cannot be held responsible for any oversights or imprecisions. AAA Biotech reserves the right to adjust any aspect of this datasheet at any time and without notice. It is the responsibility of the customer to inform AAA Biotech of any product performance issues observed or experienced within 30 days of receipt of said product. To see additional details on this or any of our other policies, please see our Terms & Conditions page.Item has been added to Shopping Cart
If you are ready to order, navigate to Shopping Cart and get ready to checkout.
