Rabbit anti-Human mtTFA Polyclonal Antibody | anti-TFAM antibody
Anti-mtTFA antibody
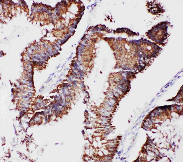
IHC (Immunohiostchemistry)
(Anti-mtTFA antibody, AAA45501, IHC(P)IHC(P): Human Intestinal Cancer Tissue)
WB (Western Blot)
(Anti-mtTFA antibody, AAA45501, Western blottingLane 1: HELA Cell LysateLane 2: JURKAT Cell LysateLane 3: 293T Cell LysateLane 4: Rabbit igG(55kD)Lane 5: A431 Cell LysateLane 6: RAJI Cell LysateLane 7: CEM Cell LysateLane 8: HL-60 Cell LysateLane 9: HUT Cell Lysate)
Background: TFAM(Transcription factor A, mitochondrial), also known as TCF6 or TCF6L2, is a 162-amino acid protein that activates transcription of each mitochondrial DNA(mtDNA) strand by binding to an element of approximately 30 nucleotides present in both the light-strand and the heavy-strand promoters. By Southern blot analysis of restriction enzyme digests of human/Chinese hamster somatic cell hybrid lines, Milatovich et al.(1992) mapped TFAM sequences, which they called MTTF1, to 3 different chromosomes: chromosomes 10, 7p, and 11q. By PCR-based screening of a somatic cell hybrid panel and by fluorescence in situ hybridization, Scott(2007) stated that the sequences mapped to chromosomes 7p(TCF6L1) and 11q(MTTF1, or TCF6L3) are pseudogenes. Larsson et al.(1997) mapped the mouse mitochondrial transcription factor A gene(Tfam) to the central part of mouse chromosome 10. This region exhibits syntenic homology with human 10q21. Mitochondrial transcription factor A is a key activator of mitochondrial transcription in mammals. It also has a role in mitochondrial DNA replication, since transcription generates an RNA primer necessary for initiation of mtDNA replication.
NCBI and Uniprot Product Information
Customer Reviews
Loading reviews...
Share Your Experience
Similar Products
Product Notes
The TFAM tfam (Catalog #AAA45501) is an Antibody produced from Rabbit and is intended for research purposes only. The product is available for immediate purchase. The Anti-mtTFA antibody reacts with Human and may cross-react with other species as described in the data sheet. AAA Biotech's mtTFA can be used in a range of immunoassay formats including, but not limited to, ICC (Immunocytochemistry), IHC (Immunohistochemistry), IHC (Immunohistochemistry), WB (Western Blot). Researchers should empirically determine the suitability of the TFAM tfam for an application not listed in the data sheet. Researchers commonly develop new applications and it is an integral, important part of the investigative research process. It is sometimes possible for the material contained within the vial of "mtTFA, Polyclonal Antibody" to become dispersed throughout the inside of the vial, particularly around the seal of said vial, during shipment and storage. We always suggest centrifuging these vials to consolidate all of the liquid away from the lid and to the bottom of the vial prior to opening. Please be advised that certain products may require dry ice for shipping and that, if this is the case, an additional dry ice fee may also be required.Precautions
All products in the AAA Biotech catalog are strictly for research-use only, and are absolutely not suitable for use in any sort of medical, therapeutic, prophylactic, in-vivo, or diagnostic capacity. By purchasing a product from AAA Biotech, you are explicitly certifying that said products will be properly tested and used in line with industry standard. AAA Biotech and its authorized distribution partners reserve the right to refuse to fulfill any order if we have any indication that a purchaser may be intending to use a product outside of our accepted criteria.Disclaimer
Though we do strive to guarantee the information represented in this datasheet, AAA Biotech cannot be held responsible for any oversights or imprecisions. AAA Biotech reserves the right to adjust any aspect of this datasheet at any time and without notice. It is the responsibility of the customer to inform AAA Biotech of any product performance issues observed or experienced within 30 days of receipt of said product. To see additional details on this or any of our other policies, please see our Terms & Conditions page.Item has been added to Shopping Cart
If you are ready to order, navigate to Shopping Cart and get ready to checkout.
