Rabbit anti-Mouse, Rat MYD88 Polyclonal Antibody | anti-MYD88 antibody
MYD88 Polyclonal Antibody
Reactivity
Mouse, Rat
Applications
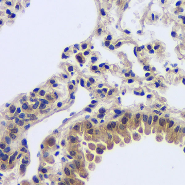
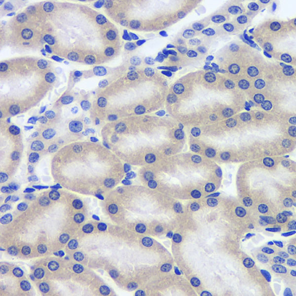
Immunohistochemistry
Purity
Affinity Purification
Synonyms
MYD88, Antibody; MYD88 Polyclonal Antibody; Mutant myeloid differentiation primary response 88; MYD 88; Myd88; MYD88; MYD88D; Myeloid differentiation marker 88; Myeloid differentiation primary response 88; Myeloid differentiation primary response gene (88); Myeloid differentiation primary response gene 88; Myeloid differentiation primary response gene; Myeloid differentiation primary response protein MyD88; OTTHUMP00000161718; OTTHUMP00000208595; OTTHUMP00000209058; OTTHUMP00000209059; OTTHUMP00000209060; anti-MYD88 antibody
Host
Rabbit
Reactivity
Mouse, Rat
Clonality
Polyclonal
Isotype
IgG
Purity/Purification
Affinity Purification
Form/Format
PBS with 0.02% sodium azide, 100 mug/ml BSA and 50% glycerol.
Concentration
110 mug/mL (varies by lot)
Sequence Length
250
Applicable Applications for anti-MYD88 antibody
IHC (Immunohistochemistry)
Immunogen
KLH conjugated synthetic peptide corresponding to Mouse MYD88
Conjugation
Unconjugated
Preparation and Storage
Store at -20 degree C. Avoid freeze/thaw cycles.
Related Product Information for anti-MYD88 antibody
This gene encodes a cytosolic adapter protein that plays a central role in the innate and adaptive immune response. This protein functions as an essential signal transducer in the interleukin-1 and Toll-like receptor signaling pathways. These pathways regulate that activation of numerous proinflammatory genes. The encoded protein consists of an N-terminal death domain and a C-terminal Toll-interleukin1 receptor domain. Patients with defects in this gene have an increased susceptibility to pyogenic bacterial infections. Alternate splicing results in multiple transcript variants.
Product Categories/Family for anti-MYD88 antibody
NCBI and Uniprot Product Information
NCBI GI #
NCBI GeneID
NCBI Accession #
NCBI GenBank Nucleotide #
Molecular Weight
28,683 Da
NCBI Official Full Name
myeloid differentiation primary response protein MyD88
NCBI Official Synonym Full Names
myeloid differentiation primary response gene 88
NCBI Official Symbol
Myd88
NCBI Protein Information
myeloid differentiation primary response protein MyD88
UniProt Protein Name
Myeloid differentiation primary response protein MyD88
UniProt Gene Name
Myd88
Customer Reviews
Loading reviews...
Share Your Experience
Similar Products
Product Notes
The MYD88 myd88 (Catalog #AAA174432) is an Antibody produced from Rabbit and is intended for research purposes only. The product is available for immediate purchase. The MYD88 Polyclonal Antibody reacts with Mouse, Rat and may cross-react with other species as described in the data sheet. AAA Biotech's MYD88 can be used in a range of immunoassay formats including, but not limited to, IHC (Immunohistochemistry). Researchers should empirically determine the suitability of the MYD88 myd88 for an application not listed in the data sheet. Researchers commonly develop new applications and it is an integral, important part of the investigative research process. It is sometimes possible for the material contained within the vial of "MYD88, Polyclonal Antibody" to become dispersed throughout the inside of the vial, particularly around the seal of said vial, during shipment and storage. We always suggest centrifuging these vials to consolidate all of the liquid away from the lid and to the bottom of the vial prior to opening. Please be advised that certain products may require dry ice for shipping and that, if this is the case, an additional dry ice fee may also be required.Precautions
All products in the AAA Biotech catalog are strictly for research-use only, and are absolutely not suitable for use in any sort of medical, therapeutic, prophylactic, in-vivo, or diagnostic capacity. By purchasing a product from AAA Biotech, you are explicitly certifying that said products will be properly tested and used in line with industry standard. AAA Biotech and its authorized distribution partners reserve the right to refuse to fulfill any order if we have any indication that a purchaser may be intending to use a product outside of our accepted criteria.Disclaimer
Though we do strive to guarantee the information represented in this datasheet, AAA Biotech cannot be held responsible for any oversights or imprecisions. AAA Biotech reserves the right to adjust any aspect of this datasheet at any time and without notice. It is the responsibility of the customer to inform AAA Biotech of any product performance issues observed or experienced within 30 days of receipt of said product. To see additional details on this or any of our other policies, please see our Terms & Conditions page.Item has been added to Shopping Cart
If you are ready to order, navigate to Shopping Cart and get ready to checkout.
