Rabbit Myeloid differentiation primary response protein MyD88 Polyclonal Antibody | anti-MYD88 antibody
Anti-MyD88 Antibody
Each vial contains 5mg BSA, 0.9mg NaCl, 0.2mg Na2HPO4, 0.05mg NaN3.
IHC (Immunohistochemistry)
(Anti-MyD88 Picoband antibody, AAA46031-5.JPGIHC(P): Mouse Spleen Tissue)
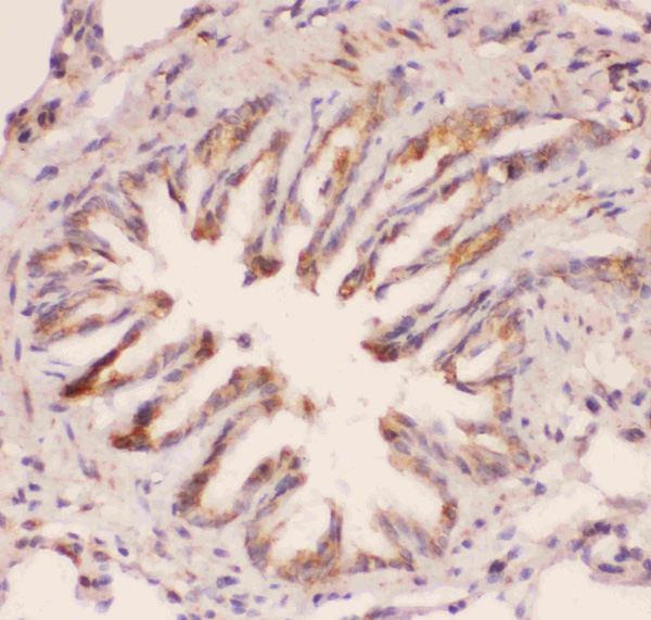
IHC (Immunohistochemistry)
(Anti-MyD88 Picoband antibody, AAA46031-4.JPGIHC(P): Human Intestinal Cancer Tissue)
Application Data
(Anti-MyD88 Picoband antibody, AAA46031-2.jpgAll lanes: Anti MYD88 (AAA46031) at 0.5ug/mlLane 1: Rat Cardiac Muscle Tissue Lysate at 50ugLane 2: HELA Whole Cell Lysate at 40ugLane 3: MCF Whole Cell Lysate at 40ugLane 4: HEPG2 Whole Cell Lysate at 40ugLane 5: JURKAT Whole Cell Lysate at 40ugLane 6: RAJI Whole Cell Lysate at 40ugPredicted bind size: 33KDObserved bind size: 33KD)
Application Data
(Anti-MyD88 Picoband antibody, AAA46031-1.jpgAll lanes: Anti MYD88 (AAA46031) at 0.5ug/mlWB: Recombinant Human MYD88 Protein 0.5ngPredicted bind size: 49KDObserved bind size: 49KD)
Background: MYD88(MYELOID DIFFERENTIATION PRIMARY RESPONSE GENE 88), is a protein that, in humans, is encoded by the MYD88 gene. MyD88 is a key downstream adapter for most Toll-like receptors (TLRs) and interleukin-1 receptors (IL1Rs). And it is mapped on 3p22.2. MYD88 encodes a cytosolic adapter protein that plays a central role in the innate and adaptive immune response. This protein functions as an essential signal transducer in the interleukin-1 and Toll-like receptor signaling pathways. Overexpression of MYD88 caused an increase in the level of transcription from the interleukin-8 promoter. The C-terminal domain of MYD88 has significant sequence similarity to the cytoplasmic domain of IL1RAP. Inhibiting the IL1R-MYD88 pathway in vivo could block the damage from acute inflammation that occurs in response to sterile cell death, and do so in a way that might not compromise tissue repair or host defense against pathogens.
NCBI and Uniprot Product Information
Customer Reviews
Loading reviews...
Share Your Experience
Similar Products
Product Notes
The MYD88 myd88 (Catalog #AAA46031) is an Antibody produced from Rabbit and is intended for research purposes only. The product is available for immediate purchase. The Anti-MyD88 Antibody reacts with Human, Mouse, Rat. No cross reactivity with other proteins. and may cross-react with other species as described in the data sheet. AAA Biotech's Myeloid differentiation primary response protein MyD88 can be used in a range of immunoassay formats including, but not limited to, IHC (Immunohistochemistry), WB (Western Blot). Researchers should empirically determine the suitability of the MYD88 myd88 for an application not listed in the data sheet. Researchers commonly develop new applications and it is an integral, important part of the investigative research process. It is sometimes possible for the material contained within the vial of "Myeloid differentiation primary response protein MyD88, Polyclonal Antibody" to become dispersed throughout the inside of the vial, particularly around the seal of said vial, during shipment and storage. We always suggest centrifuging these vials to consolidate all of the liquid away from the lid and to the bottom of the vial prior to opening. Please be advised that certain products may require dry ice for shipping and that, if this is the case, an additional dry ice fee may also be required.Precautions
All products in the AAA Biotech catalog are strictly for research-use only, and are absolutely not suitable for use in any sort of medical, therapeutic, prophylactic, in-vivo, or diagnostic capacity. By purchasing a product from AAA Biotech, you are explicitly certifying that said products will be properly tested and used in line with industry standard. AAA Biotech and its authorized distribution partners reserve the right to refuse to fulfill any order if we have any indication that a purchaser may be intending to use a product outside of our accepted criteria.Disclaimer
Though we do strive to guarantee the information represented in this datasheet, AAA Biotech cannot be held responsible for any oversights or imprecisions. AAA Biotech reserves the right to adjust any aspect of this datasheet at any time and without notice. It is the responsibility of the customer to inform AAA Biotech of any product performance issues observed or experienced within 30 days of receipt of said product. To see additional details on this or any of our other policies, please see our Terms & Conditions page.Item has been added to Shopping Cart
If you are ready to order, navigate to Shopping Cart and get ready to checkout.
