Rabbit anti-Human MYO1C Polyclonal Antibody | anti-MYO1C antibody
MYO1C Antibody
Gene Names
MYO1C; NMI; MMIb; myr2; MMI-beta
Reactivity
Human
Applications
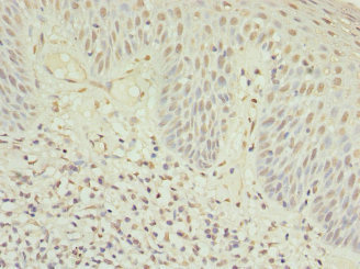
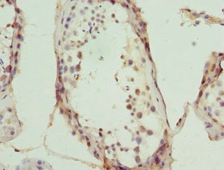
Immunohistochemistry, ELISA
Purity
Antigen Affinity Purified
Synonyms
MYO1C, Antibody; MYO1C Antibody; Unconventional myosin-Ic; Myosin I beta; MMI-beta; MMIb; MYO1C; anti-MYO1C antibody
Host
Rabbit
Reactivity
Human
Clonality
Polyclonal
Isotype
IgG
Purity/Purification
Antigen Affinity Purified
Form/Format
Liquid
Sequence Length
1063
Applicable Applications for anti-MYO1C antibody
IHC (Immunohistochemistry), ELISA
Species
Human
Immunogen
Recombinant human Unconventional myosin-Ic protein (C-260AA)
Conjugate
Non-conjugated
Buffer
PBS with 0.02% sodium azide, 50% glycerol, pH7.3.
Santa Cruz Alternative
Potential replacement for Santa Cruz Biotechnology antibody catalog# sc-130177
Preparation and Storage
Shipped at 4 degree C. Upon delivery aliquot and store at -20 degree C or -80 degree C. Avoid repeated freeze.
Related Product Information for anti-MYO1C antibody
Myosins are actin-based motor molecules with ATPase activity. Unconventional myosins serve in intracellular movements. Their highly divergent tails are presumed to bind to membranous compartments, which would be moved relative to actin filaments. Involved in glucose transporter recycling in response to insulin by regulating movement of intracellular GLUT4-containing vesicles to the plasma membrane. Component of the hair cell's (the sensory cells of the inner ear) adaptation-motor complex. Acts as a mediator of adaptation of mechanoelectrical transduction in stereocilia of vestibular hair cells. Binds phosphoinositides and links the actin cytoskeleton to cellular membranes.
NCBI and Uniprot Product Information
NCBI GI #
NCBI GeneID
NCBI Accession #
NCBI GenBank Nucleotide #
Molecular Weight
119,628 Da
NCBI Official Full Name
unconventional myosin-Ic isoform a
NCBI Official Synonym Full Names
myosin IC
NCBI Official Symbol
MYO1C
NCBI Official Synonym Symbols
NMI; MMIb; myr2; MMI-beta
NCBI Protein Information
unconventional myosin-Ic
UniProt Protein Name
Unconventional myosin-Ic
UniProt Gene Name
MYO1C
UniProt Synonym Gene Names
MMI-beta; MMIb
UniProt Entry Name
MYO1C_HUMAN
Customer Reviews
Loading reviews...
Share Your Experience
Similar Products
Product Notes
The MYO1C myo1c (Catalog #AAA232201) is an Antibody produced from Rabbit and is intended for research purposes only. The product is available for immediate purchase. The MYO1C Antibody reacts with Human and may cross-react with other species as described in the data sheet. AAA Biotech's MYO1C can be used in a range of immunoassay formats including, but not limited to, IHC (Immunohistochemistry), ELISA. Researchers should empirically determine the suitability of the MYO1C myo1c for an application not listed in the data sheet. Researchers commonly develop new applications and it is an integral, important part of the investigative research process. It is sometimes possible for the material contained within the vial of "MYO1C, Polyclonal Antibody" to become dispersed throughout the inside of the vial, particularly around the seal of said vial, during shipment and storage. We always suggest centrifuging these vials to consolidate all of the liquid away from the lid and to the bottom of the vial prior to opening. Please be advised that certain products may require dry ice for shipping and that, if this is the case, an additional dry ice fee may also be required.Precautions
All products in the AAA Biotech catalog are strictly for research-use only, and are absolutely not suitable for use in any sort of medical, therapeutic, prophylactic, in-vivo, or diagnostic capacity. By purchasing a product from AAA Biotech, you are explicitly certifying that said products will be properly tested and used in line with industry standard. AAA Biotech and its authorized distribution partners reserve the right to refuse to fulfill any order if we have any indication that a purchaser may be intending to use a product outside of our accepted criteria.Disclaimer
Though we do strive to guarantee the information represented in this datasheet, AAA Biotech cannot be held responsible for any oversights or imprecisions. AAA Biotech reserves the right to adjust any aspect of this datasheet at any time and without notice. It is the responsibility of the customer to inform AAA Biotech of any product performance issues observed or experienced within 30 days of receipt of said product. To see additional details on this or any of our other policies, please see our Terms & Conditions page.Item has been added to Shopping Cart
If you are ready to order, navigate to Shopping Cart and get ready to checkout.
