Rabbit anti-Mouse, Rat Myoglobin Polyclonal Antibody | anti-MB antibody
Anti-Myoglobin antibody
WB (Western Blot)
(Anti-Myoglobin antibody, AAA45390, Western blottingAll lanes: Anti Myoglobin (AAA45390) at 0.5ug/mlLane 1: Rat Skeletal Muscle Tissue Lysate at 50ugLane 2: Rat Heart Tissue Lysate at 50ugLane 3: Rat Liver Tissue Lysate at 50ugLane 4: Rat Intestine Tissue Lysate at 50ugPredicted bind size: 17KDObserved bind size: 17KD)
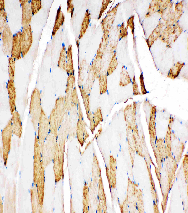
IHC (Immunohistochemistry)
(Anti-Myoglobin antibody, AAA45390, IHC(P)IHC(P): Rat Skeletal Muscle Tissue)
Background: Myoglobin(MB) also known as PVALB, is a single-chain globular protein of 153 or 154 amino acids, containing a heme (iron-containing porphyrin)prosthetic group in the center around which the remaining apoprotein folds. Two structural variants of myoglobin were described by Boyer et al.(1963). Boulton et al.(1969) studied postmortem muscle from 2,500 persons. Twomyoglobin variants were found, and in one of these substitution of lysine for glutamic acid at residue 53 was demonstrated. Myoglobin was the first protein to have its three-dimensional structure revealed. Jeffreys et al.(1984) used DNA probes isolated from the cloned myoglobin gene to map the gene in human-rodent somatic cell hybrids. The myoglobinlocus mapped to chromosome 22q11-q13. Myoglobin is released from damaged muscle tissue(rhabdomyolysis), which has very high concentrations of myoglobin. The released myoglobin is filtered by the kidneys but is toxic to the renal tubular epithelium and so may cause acute renal failure.
NCBI and Uniprot Product Information
Customer Reviews
Loading reviews...
Share Your Experience
Similar Products
Product Notes
The MB mb (Catalog #AAA45390) is an Antibody produced from Rabbit and is intended for research purposes only. The product is available for immediate purchase. The Anti-Myoglobin antibody reacts with Mouse, Rat and may cross-react with other species as described in the data sheet. AAA Biotech's Myoglobin can be used in a range of immunoassay formats including, but not limited to, IHC (Immunohistochemistry), WB (Western Blot). Researchers should empirically determine the suitability of the MB mb for an application not listed in the data sheet. Researchers commonly develop new applications and it is an integral, important part of the investigative research process. It is sometimes possible for the material contained within the vial of "Myoglobin, Polyclonal Antibody" to become dispersed throughout the inside of the vial, particularly around the seal of said vial, during shipment and storage. We always suggest centrifuging these vials to consolidate all of the liquid away from the lid and to the bottom of the vial prior to opening. Please be advised that certain products may require dry ice for shipping and that, if this is the case, an additional dry ice fee may also be required.Precautions
All products in the AAA Biotech catalog are strictly for research-use only, and are absolutely not suitable for use in any sort of medical, therapeutic, prophylactic, in-vivo, or diagnostic capacity. By purchasing a product from AAA Biotech, you are explicitly certifying that said products will be properly tested and used in line with industry standard. AAA Biotech and its authorized distribution partners reserve the right to refuse to fulfill any order if we have any indication that a purchaser may be intending to use a product outside of our accepted criteria.Disclaimer
Though we do strive to guarantee the information represented in this datasheet, AAA Biotech cannot be held responsible for any oversights or imprecisions. AAA Biotech reserves the right to adjust any aspect of this datasheet at any time and without notice. It is the responsibility of the customer to inform AAA Biotech of any product performance issues observed or experienced within 30 days of receipt of said product. To see additional details on this or any of our other policies, please see our Terms & Conditions page.Item has been added to Shopping Cart
If you are ready to order, navigate to Shopping Cart and get ready to checkout.
