Rabbit NAD-dependent protein deacetylase sirtuin-2 Polyclonal Antibody | anti-SIRT2 antibody
Anti-SIRT2 Antibody
Each vial contains 5mg BSA, 0.9mg NaCl, 0.2mg Na2HPO4, 0.05mg Thimerosal, 0.05mg NaN3.
IHC (Immunohistochemistry)
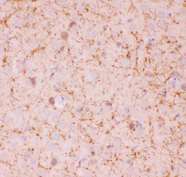
(Anti-SIRT2 Picoband antibody, AAA46046-5.JPGIHC(P): Human Lung Cancer Tissue)
Application Data
(Anti-SIRT2 Picoband antibody, AAA46046-2.jpgAll lanes: Anti SIRT2 (AAA46046) at 0.5ug/mlLane 1: Rat Spleen Tissue Lysate at 50ugLane 2: HELA Whole Cell Lysate at 40ugLane 3: A549 Whole Cell Lysate at 40ugPredicted bind size: 43KDObserved bind size: 43KD)
Application Data
(Anti-SIRT2 Picoband antibody, AAA46046-1.jpgAll lanes: Anti SIRT2 (AAA46046) at 0.5ug/mlWB: Recombinant Human SIRT2 Protein 0.5ngPredicted bind size: 39KDObserved bind size: 39KD)
Background: SIRT2 is a predominantly cytoplasmic protein that colocalizes with microtubules. This gene encodes a member of the sirtuin family of proteins, homologs to the yeast Sir2 protein. Members of the sirtuin family are characterized by a sirtuin core domain and grouped into four classes. SIRT2 is mapped to 19q13.2. It is able to cause radioactivity to be transferred from (32P) NAD to bovine serum albumin (BSA). According to researches, SIRT2 can act as a bona fide tubulin deacetylase. SIRT2 was found to deacetylate lys40 of alpha-tubulin both in vitro and in vivo. SIRT2 is also a regulator of mitotic progression that acts downstream from CDC14B in a pathway regulating mitotic exit or subsequent cytokinesis. What's more, SIRT2 is an important regulator of programmed necrosis.
NCBI and Uniprot Product Information
Customer Reviews
Loading reviews...
Share Your Experience
Similar Products
Product Notes
The SIRT2 sirt2 (Catalog #AAA46046) is an Antibody produced from Rabbit and is intended for research purposes only. The product is available for immediate purchase. The Anti-SIRT2 Antibody reacts with Human, Mouse, Rat. No cross reactivity with other proteins. and may cross-react with other species as described in the data sheet. AAA Biotech's NAD-dependent protein deacetylase sirtuin-2 can be used in a range of immunoassay formats including, but not limited to, IHC (Immunohistochemistry), WB (Western Blot). Researchers should empirically determine the suitability of the SIRT2 sirt2 for an application not listed in the data sheet. Researchers commonly develop new applications and it is an integral, important part of the investigative research process. It is sometimes possible for the material contained within the vial of "NAD-dependent protein deacetylase sirtuin-2, Polyclonal Antibody" to become dispersed throughout the inside of the vial, particularly around the seal of said vial, during shipment and storage. We always suggest centrifuging these vials to consolidate all of the liquid away from the lid and to the bottom of the vial prior to opening. Please be advised that certain products may require dry ice for shipping and that, if this is the case, an additional dry ice fee may also be required.Precautions
All products in the AAA Biotech catalog are strictly for research-use only, and are absolutely not suitable for use in any sort of medical, therapeutic, prophylactic, in-vivo, or diagnostic capacity. By purchasing a product from AAA Biotech, you are explicitly certifying that said products will be properly tested and used in line with industry standard. AAA Biotech and its authorized distribution partners reserve the right to refuse to fulfill any order if we have any indication that a purchaser may be intending to use a product outside of our accepted criteria.Disclaimer
Though we do strive to guarantee the information represented in this datasheet, AAA Biotech cannot be held responsible for any oversights or imprecisions. AAA Biotech reserves the right to adjust any aspect of this datasheet at any time and without notice. It is the responsibility of the customer to inform AAA Biotech of any product performance issues observed or experienced within 30 days of receipt of said product. To see additional details on this or any of our other policies, please see our Terms & Conditions page.Item has been added to Shopping Cart
If you are ready to order, navigate to Shopping Cart and get ready to checkout.
