Rabbit anti-Human, Mouse NCoR1 Polyclonal Antibody | anti-NCoR1 antibody
NCoR1 Antibody
Phosphate buffered saline, pH 7.4, 150mM NaCl, 0.02% sodium azide and 50% glycerol.
IF (Immunofluorescence)
(AAA320911 staining MDA-MB-435 by IF/ICC. The sample were fixed with PFA and permeabilized in 0.1% Triton X-100, then blocked in 10% serum for 45 minutes at 25 degree C. The primary antibody was diluted at 1/200 and incubated with the sample for 1 hour at 37 degree C. An Alexa Fluor 594 conjugated goat anti-rabbit IgG (H+L) Ab, diluted at 1/600, was used as the secondary antibody.)
WB (Western Blot)
(Western blot analysis on MDA-MB-435 cell lysate using NCoR1 Antibody, The lane on the left is treated with the antigen-specific peptide.)
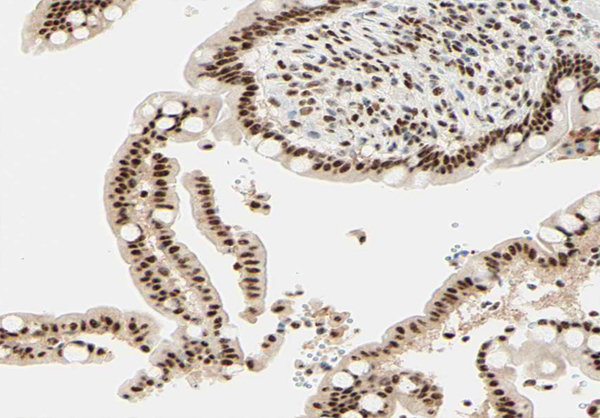
IHC (Immunohistochemistry)
(AAA320911 at 1/100 staining human colon tissue sections by IHC-P. The tissue was formaldehyde fixed and a heat mediated antigen retrieval step in citrate buffer was performed. The tissue was then blocked and incubated with the antibody for 1.5 hours at 22 degree C. An HRP conjugated goat anti-rabbit antibody was used as the secondary.)
Function: Mediates transcriptional repression by certain nuclear receptors. Part of a complex which promotes histone deacetylation and the formation of repressive chromatin structures which may impede the access of basal transcription factors. Participates in the transcriptional repressor activity produced by BCL6.
Subunit Structure: Forms a large corepressor complex that contains SIN3A/B and histone deacetylases HDAC1 and HDAC2. This complex associates with the thyroid receptor (TR) and the retinoid acid receptor (RAR) in the absence of ligand. Interacts directly with RARA; the interaction is facilitated with RARA trimethylation. Component of the N-Cor repressor complex, at least composed of CBFA2T3, HEXIM1, NCOR1, NCOR2, HDAC3, TBL1X, TBL1XR1, CORO2A and GPS2. Interacts with ZBTB33; the interaction serves to recruit the N-CoR complex to promoter regions containing methylated CpG dinucleotides. Interacts with TRIM28 and KDM3A. Interacts (via the RD1 domain) with BAZ1A (via its N-terminal); the interaction corepresses a number of NCOR1-regulated genes. Interacts with BCL6, C1D, DACH1, HEXIM1, HDAC7, RORA, RORC, SAP30, SIAH2, SIN3A and SIN3B. May interact with DEAF1. Interacts with RXRA. Interacts with SETD5 (By similarity). Interacts with VDR (PubMed:28698609).
Post-translational Modifications: Ubiquitinated; mediated by SIAH2 and leading to its subsequent proteasomal degradation.
Similarity: The N-terminal region contains three independent domains that are capable of mediating transcriptional repression (RD1, RD2 and RD3).The C-terminal region contains two separate nuclear receptor-interacting domains (ID1 and ID2), each of which contains a conserved sequence referred to as the CORNR box. This motif is necessary and sufficient for binding to unligated nuclear hormone receptors, while sequences flanking the CORNR box determine the precise nuclear hormone receptor specificity (By similarity). Belongs to the N-CoR nuclear receptor corepressors family.
NCBI and Uniprot Product Information
Predicted: 271 kDa
Customer Reviews
Loading reviews...
Share Your Experience
Similar Products
Product Notes
The NCoR1 ncor1 (Catalog #AAA320911) is an Antibody produced from Rabbit and is intended for research purposes only. The product is available for immediate purchase. The NCoR1 Antibody reacts with Human, Mouse and may cross-react with other species as described in the data sheet. AAA Biotech's NCoR1 can be used in a range of immunoassay formats including, but not limited to, ELISA, ICC (Immunocytochemistry), IF (Immunofluorescence), IHC (Immunohistochemistry), WB (Western Blot). Researchers should empirically determine the suitability of the NCoR1 ncor1 for an application not listed in the data sheet. Researchers commonly develop new applications and it is an integral, important part of the investigative research process. It is sometimes possible for the material contained within the vial of "NCoR1, Polyclonal Antibody" to become dispersed throughout the inside of the vial, particularly around the seal of said vial, during shipment and storage. We always suggest centrifuging these vials to consolidate all of the liquid away from the lid and to the bottom of the vial prior to opening. Please be advised that certain products may require dry ice for shipping and that, if this is the case, an additional dry ice fee may also be required.Precautions
All products in the AAA Biotech catalog are strictly for research-use only, and are absolutely not suitable for use in any sort of medical, therapeutic, prophylactic, in-vivo, or diagnostic capacity. By purchasing a product from AAA Biotech, you are explicitly certifying that said products will be properly tested and used in line with industry standard. AAA Biotech and its authorized distribution partners reserve the right to refuse to fulfill any order if we have any indication that a purchaser may be intending to use a product outside of our accepted criteria.Disclaimer
Though we do strive to guarantee the information represented in this datasheet, AAA Biotech cannot be held responsible for any oversights or imprecisions. AAA Biotech reserves the right to adjust any aspect of this datasheet at any time and without notice. It is the responsibility of the customer to inform AAA Biotech of any product performance issues observed or experienced within 30 days of receipt of said product. To see additional details on this or any of our other policies, please see our Terms & Conditions page.Item has been added to Shopping Cart
If you are ready to order, navigate to Shopping Cart and get ready to checkout.
