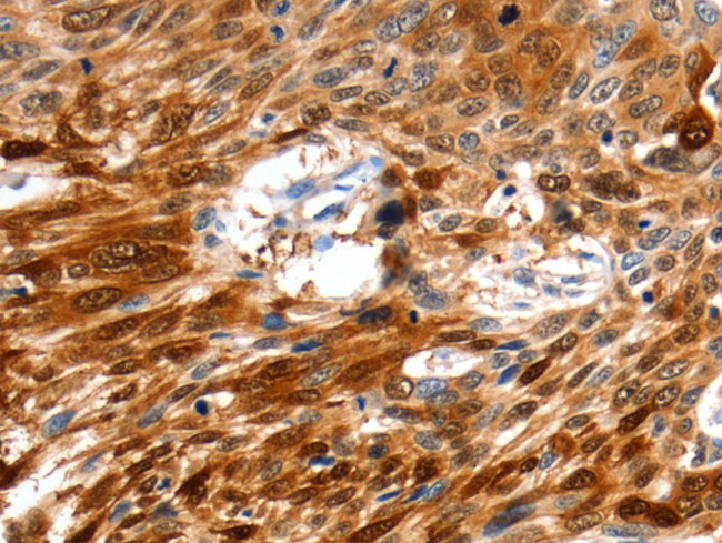
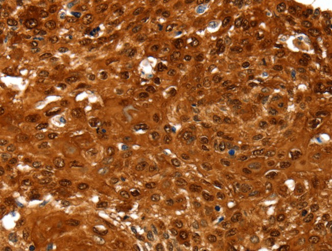
Rabbit NCOR1 Polyclonal Antibody | anti-NCOR1 antibody
NCOR1 Polyclonal Antibody
Gene Names
NCOR1; N-CoR; TRAC1; N-CoR1; hN-CoR; PPP1R109
Reactivity
Human, Mouse, Rat
Applications
Immunohistochemistry, ELISA
Purity
Antigen affinity purification
Synonyms
NCOR1, Antibody; NCOR1 Polyclonal Antibody; N-CoR, TRAC1, N-CoR1, hN-CoR; anti-NCOR1 antibody
Host
Rabbit
Reactivity
Human, Mouse, Rat
Clonality
Polyclonal
Isotype
IgG
Purity/Purification
Antigen affinity purification
Concentration
1.8mg/mL (varies by lot)
Sequence Length
2337
Applicable Applications for anti-NCOR1 antibody
IHC (Immunohistochemistry), ELISA
Immunogen
Synthetic peptide of human NCOR1
Buffer
PBS with 0.05% sodium azide, 50% glycerol, pH7.3
Preparation and Storage
Store at -20 degree C (regular) and -80 degree C (long term). Avoid freeze / thaw cycles.
Related Product Information for anti-NCOR1 antibody
This gene encodes a protein that mediates ligand-independent transcription repression of thyroid-hormone and retinoic-acid receptors by promoting chromatin condensation and preventing access of the transcription machinery. It is part of a complex which also includes histone deacetylases and transcriptional regulators similar to the yeast protein Sin3p. This gene is located between the Charcot-Marie-Tooth and Smith-Magenis syndrome critical regions on chromosome 17. Alternate splicing results in multiple transcript variants. Pseudogenes of this gene are found on chromosomes 17 and 20.
Product Categories/Family for anti-NCOR1 antibody
NCBI and Uniprot Product Information
NCBI GI #
NCBI GeneID
NCBI Accession #
NCBI GenBank Nucleotide #
Molecular Weight
103,919 Da
NCBI Official Full Name
nuclear receptor corepressor 1 isoform 3
NCBI Official Synonym Full Names
nuclear receptor corepressor 1
NCBI Official Symbol
NCOR1
NCBI Official Synonym Symbols
N-CoR; TRAC1; N-CoR1; hN-CoR; PPP1R109
NCBI Protein Information
nuclear receptor corepressor 1; nuclear receptor co-repressor 1; protein phosphatase 1, regulatory subunit 109; thyroid hormone- and retinoic acid receptor-associated corepressor 1
UniProt Protein Name
Nuclear receptor corepressor 1
UniProt Gene Name
NCOR1
UniProt Synonym Gene Names
KIAA1047; N-CoR; N-CoR1
UniProt Entry Name
NCOR1_HUMAN
Similar Products
Product Notes
The NCOR1 ncor1 (Catalog #AAA168574) is an Antibody produced from Rabbit and is intended for research purposes only. The product is available for immediate purchase. The NCOR1 Polyclonal Antibody reacts with Human, Mouse, Rat and may cross-react with other species as described in the data sheet. AAA Biotech's NCOR1 can be used in a range of immunoassay formats including, but not limited to, IHC (Immunohistochemistry), ELISA. Researchers should empirically determine the suitability of the NCOR1 ncor1 for an application not listed in the data sheet. Researchers commonly develop new applications and it is an integral, important part of the investigative research process. It is sometimes possible for the material contained within the vial of "NCOR1, Polyclonal Antibody" to become dispersed throughout the inside of the vial, particularly around the seal of said vial, during shipment and storage. We always suggest centrifuging these vials to consolidate all of the liquid away from the lid and to the bottom of the vial prior to opening. Please be advised that certain products may require dry ice for shipping and that, if this is the case, an additional dry ice fee may also be required.Precautions
All products in the AAA Biotech catalog are strictly for research-use only, and are absolutely not suitable for use in any sort of medical, therapeutic, prophylactic, in-vivo, or diagnostic capacity. By purchasing a product from AAA Biotech, you are explicitly certifying that said products will be properly tested and used in line with industry standard. AAA Biotech and its authorized distribution partners reserve the right to refuse to fulfill any order if we have any indication that a purchaser may be intending to use a product outside of our accepted criteria.Disclaimer
Though we do strive to guarantee the information represented in this datasheet, AAA Biotech cannot be held responsible for any oversights or imprecisions. AAA Biotech reserves the right to adjust any aspect of this datasheet at any time and without notice. It is the responsibility of the customer to inform AAA Biotech of any product performance issues observed or experienced within 30 days of receipt of said product. To see additional details on this or any of our other policies, please see our Terms & Conditions page.Item has been added to Shopping Cart
If you are ready to order, navigate to Shopping Cart and get ready to checkout.
