Rabbit anti-Human NDE1 Polyclonal Antibody | anti-NDE1 antibody
NDE1 Antibody
Gene Names
NDE1; NDE; LIS4; MHAC; NUDE; NUDE1; HOM-TES-87
Reactivity
Human
Applications
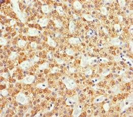
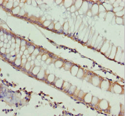
Immunohistochemistry, ELISA
Purity
Antigen Affinity Purified
Synonyms
NDE1, Antibody; NDE1 Antibody; Nuclear distribution protein nudE homolog 1; NudE; NDE1; NUDE; anti-NDE1 antibody
Host
Rabbit
Reactivity
Human
Clonality
Polyclonal
Isotype
IgG
Purity/Purification
Antigen Affinity Purified
Form/Format
Liquid
Sequence Length
335
Applicable Applications for anti-NDE1 antibody
IHC (Immunohistochemistry), ELISA
Species
Human
Immunogen
Recombinant human Nuclear distribution protein nudE homolog 1 protein (N-110AA)
Conjugate
Non-conjugated
Buffer
PBS with 0.02% sodium azide, 50% glycerol, pH7.3.
Preparation and Storage
Shipped at 4 degree C. Upon delivery aliquot and store at -20 degree C or -80 degree C. Avoid repeated freeze.
Related Product Information for anti-NDE1 antibody
Required for centrosome duplication and formation and function of the mitotic spindle. Essential for the development of the cerebral cortex. May regulate the production of neurons by controlling the orientation of the mitotic spindle during division of cortical neuronal progenitors of the proliferative ventricular zone of the brain. Orientation of the division plane perpendicular to the layers of the cortex gives rise to two proliferative neuronal progenitors whereas parallel orientation of the division plane yields one proliferative neuronal progenitor and a post-mitotic neuron. A premature shift towards a neuronal fate within the progenitor population may result in an overall reduction in the final number of neurons and an increase in the number of neurons in the deeper layers of the cortex.
NCBI and Uniprot Product Information
NCBI GI #
NCBI GeneID
NCBI Accession #
NCBI GenBank Nucleotide #
Molecular Weight
37,721 Da
NCBI Official Full Name
nuclear distribution protein nudE homolog 1
NCBI Official Synonym Full Names
nudE neurodevelopment protein 1
NCBI Official Symbol
NDE1
NCBI Official Synonym Symbols
NDE; LIS4; MHAC; NUDE; NUDE1; HOM-TES-87
NCBI Protein Information
nuclear distribution protein nudE homolog 1
UniProt Protein Name
Nuclear distribution protein nudE homolog 1
UniProt Gene Name
NDE1
UniProt Synonym Gene Names
NUDE; NudE
UniProt Entry Name
NDE1_HUMAN
Customer Reviews
Loading reviews...
Share Your Experience
Similar Products
Product Notes
The NDE1 nde1 (Catalog #AAA231431) is an Antibody produced from Rabbit and is intended for research purposes only. The product is available for immediate purchase. The NDE1 Antibody reacts with Human and may cross-react with other species as described in the data sheet. AAA Biotech's NDE1 can be used in a range of immunoassay formats including, but not limited to, IHC (Immunohistochemistry), ELISA. Researchers should empirically determine the suitability of the NDE1 nde1 for an application not listed in the data sheet. Researchers commonly develop new applications and it is an integral, important part of the investigative research process. It is sometimes possible for the material contained within the vial of "NDE1, Polyclonal Antibody" to become dispersed throughout the inside of the vial, particularly around the seal of said vial, during shipment and storage. We always suggest centrifuging these vials to consolidate all of the liquid away from the lid and to the bottom of the vial prior to opening. Please be advised that certain products may require dry ice for shipping and that, if this is the case, an additional dry ice fee may also be required.Precautions
All products in the AAA Biotech catalog are strictly for research-use only, and are absolutely not suitable for use in any sort of medical, therapeutic, prophylactic, in-vivo, or diagnostic capacity. By purchasing a product from AAA Biotech, you are explicitly certifying that said products will be properly tested and used in line with industry standard. AAA Biotech and its authorized distribution partners reserve the right to refuse to fulfill any order if we have any indication that a purchaser may be intending to use a product outside of our accepted criteria.Disclaimer
Though we do strive to guarantee the information represented in this datasheet, AAA Biotech cannot be held responsible for any oversights or imprecisions. AAA Biotech reserves the right to adjust any aspect of this datasheet at any time and without notice. It is the responsibility of the customer to inform AAA Biotech of any product performance issues observed or experienced within 30 days of receipt of said product. To see additional details on this or any of our other policies, please see our Terms & Conditions page.Item has been added to Shopping Cart
If you are ready to order, navigate to Shopping Cart and get ready to checkout.
