Rabbit anti-Human NDUFA1 Polyclonal Antibody | anti-NDUFA1 antibody
NDUFA1 Antibody
Gene Names
NDUFA1; MWFE; ZNF183; CI-MWFE
Reactivity
Human
Applications
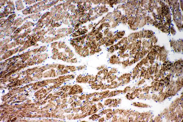
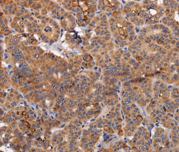
Immunohistochemistry, Western Blot
Purity
Antigen affinity purification.
Synonyms
NDUFA1, Antibody; NDUFA1 Antibody; MWFE; ZNF183; CI-MWFE; anti-NDUFA1 antibody
Host
Rabbit
Reactivity
Human
Clonality
Polyclonal
Specificity
The antibody detects endogenous levels of total NDUFA1 protein.
Purity/Purification
Antigen affinity purification.
Form/Format
Rabbit IgG in pH7.3 PBS, 0.05% NaN3, 50% Glycerol.
Concentration
3.2 mg/ml (varies by lot)
Sequence Length
70
Applicable Applications for anti-NDUFA1 antibody
IHC (Immunohistochemistry), WB (Western Blot)
Immunogen Type
Recombinant Protein
Immunogen Description
Full length fusion protein
Target Name
NDUFA1
Preparation and Storage
Store at -20 degree C
Related Product Information for anti-NDUFA1 antibody
The human NDUFA1 gene codes for an essential component of complex I of the respiratory chain, which transfers electrons from NADH to ubiquinone. It has been noted that the N-terminal hydrophobic domain has the potential to be folded into an alpha-helix spanning the inner mitochondrial membrane with a C-terminal hydrophilic domain interacting with globular subunits of complex I. The highly conserved two-domain structure suggests that this feature is critical for the protein function and might act as an anchor for the NADH:ubiquinone oxidoreductase complex at the inner mitochondrial membrane.
Product Categories/Family for anti-NDUFA1 antibody
NCBI and Uniprot Product Information
NCBI GI #
NCBI GeneID
NCBI Accession #
NCBI GenBank Nucleotide #
UniProt Accession #
Molecular Weight
8,072 Da
NCBI Official Full Name
NADH dehydrogenase
NCBI Official Synonym Full Names
NADH dehydrogenase (ubiquinone) 1 alpha subcomplex, 1, 7.5kDa
NCBI Official Symbol
NDUFA1
NCBI Official Synonym Symbols
MWFE; ZNF183; CI-MWFE
NCBI Protein Information
NADH dehydrogenase [ubiquinone] 1 alpha subcomplex subunit 1
UniProt Protein Name
NADH dehydrogenase [ubiquinone] 1 alpha subcomplex subunit 1
UniProt Gene Name
NDUFA1
UniProt Synonym Gene Names
CI-MWFE
UniProt Entry Name
NDUA1_HUMAN
Customer Reviews
Loading reviews...
Share Your Experience
Similar Products
Product Notes
The NDUFA1 ndufa1 (Catalog #AAA308384) is an Antibody produced from Rabbit and is intended for research purposes only. The product is available for immediate purchase. The NDUFA1 Antibody reacts with Human and may cross-react with other species as described in the data sheet. AAA Biotech's NDUFA1 can be used in a range of immunoassay formats including, but not limited to, IHC (Immunohistochemistry), WB (Western Blot). Researchers should empirically determine the suitability of the NDUFA1 ndufa1 for an application not listed in the data sheet. Researchers commonly develop new applications and it is an integral, important part of the investigative research process. It is sometimes possible for the material contained within the vial of "NDUFA1, Polyclonal Antibody" to become dispersed throughout the inside of the vial, particularly around the seal of said vial, during shipment and storage. We always suggest centrifuging these vials to consolidate all of the liquid away from the lid and to the bottom of the vial prior to opening. Please be advised that certain products may require dry ice for shipping and that, if this is the case, an additional dry ice fee may also be required.Precautions
All products in the AAA Biotech catalog are strictly for research-use only, and are absolutely not suitable for use in any sort of medical, therapeutic, prophylactic, in-vivo, or diagnostic capacity. By purchasing a product from AAA Biotech, you are explicitly certifying that said products will be properly tested and used in line with industry standard. AAA Biotech and its authorized distribution partners reserve the right to refuse to fulfill any order if we have any indication that a purchaser may be intending to use a product outside of our accepted criteria.Disclaimer
Though we do strive to guarantee the information represented in this datasheet, AAA Biotech cannot be held responsible for any oversights or imprecisions. AAA Biotech reserves the right to adjust any aspect of this datasheet at any time and without notice. It is the responsibility of the customer to inform AAA Biotech of any product performance issues observed or experienced within 30 days of receipt of said product. To see additional details on this or any of our other policies, please see our Terms & Conditions page.Item has been added to Shopping Cart
If you are ready to order, navigate to Shopping Cart and get ready to checkout.
