Rabbit NFkB p100/p52 Polyclonal Antibody
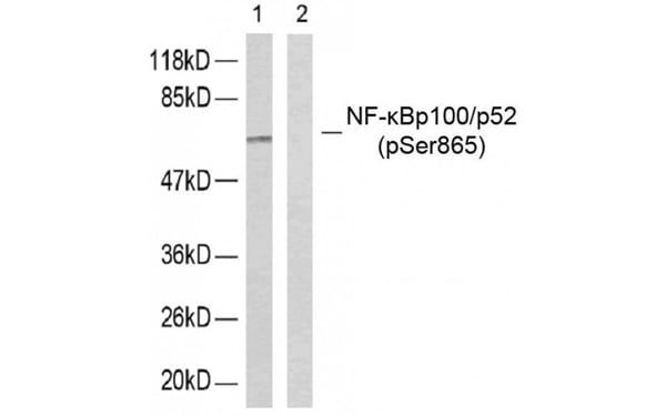
NFkB p100/p52 Antibody (Ser865)
Reactivity
Human,Mouse, Rat.
Applications
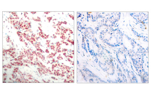
Immunofluorescence, Immunohistochemistry, Western Blot
Purity
Affinity Chromatography
Synonyms
NFkB p100/p52, Antibody; NFkB p100/p52 Antibody (Ser865); Rabbit Polyclonal NFkB p100/p52 Antibody (Ser865); Polyclonal NFkB p100/p52 antibody; Anti-NFkB p100/p52 antibody; DNA-binding factor KBF2 antibody; H2TF1 antibody; Lymphocyte translocation chromosome 10 protein antibody; LYT-10 antibody; LYT10 antibody; NFKB2 antibody; Nuclear factor NF-kappa-B p100 subunit antibody; Nuclear factor NF-kappa-B p52 subunit antibody; nuclear factor of kappa light chain gene enhancer in B-cells 2 antibody; Nuclear factor of kappa light polypeptide gene enhancer in B-cells 2 antibody; nuclear factor of kappa light polypeptide gene enhancer in B-cells 2 (p49/p100) antibody; Oncogene Lyt-10 antibody; p52 antibody; anti-NFkB p100/p52 antibody
Host
Rabbit
Reactivity
Human,Mouse, Rat.
Clonality
Polyclonal
Isotype
IgG
Specificity
NFkB p100/p52 antibody (Ser865) detects endogenous levels of NFkB p100/p52 only when phosphorylated at serine 865
Purity/Purification
Affinity Chromatography
Form/Format
Liquid in PBS, pH 7.4 with 150 mM NaCI, 0.02% NaN3, and 50% Glycerol.
Concentration
1.0 mg/ml (varies by lot)
Applicable Applications for anti-NFkB p100/p52 antibody
IF (Immunofluorescence), IHC (Immunohistochemistry), WB (Western Blot)
Immunogen
Synthesized phosphopeptide derived from human NFkB p100/p52 around the phosphorylation site of serine 865 (E-D-SP-A-Y).
Cross-Reactivity
Human, Mouse, Rat
Preparation and Storage
4°C short term, -20°C long term.
Related Product Information for anti-NFkB p100/p52 antibody
Transcription factors of the nuclear factor ?B (NF-?B)/Rel family play a pivotal role in inflammatory and immune responses. There are five family members in mammals: RelA, c-Rel, RelB, NF-?B1 (p105/p50), and NF-?B2 (p100/p52).
Product Categories/Family for anti-NFkB p100/p52 antibody
Customer Reviews
Loading reviews...
Share Your Experience
Similar Products
Product Notes
The NFkB p100/p52 (Catalog #AAA225995) is an Antibody produced from Rabbit and is intended for research purposes only. The product is available for immediate purchase. The NFkB p100/p52 Antibody (Ser865) reacts with Human,Mouse, Rat. and may cross-react with other species as described in the data sheet. AAA Biotech's NFkB p100/p52 can be used in a range of immunoassay formats including, but not limited to, IF (Immunofluorescence), IHC (Immunohistochemistry), WB (Western Blot). Researchers should empirically determine the suitability of the NFkB p100/p52 for an application not listed in the data sheet. Researchers commonly develop new applications and it is an integral, important part of the investigative research process. It is sometimes possible for the material contained within the vial of "NFkB p100/p52, Polyclonal Antibody" to become dispersed throughout the inside of the vial, particularly around the seal of said vial, during shipment and storage. We always suggest centrifuging these vials to consolidate all of the liquid away from the lid and to the bottom of the vial prior to opening. Please be advised that certain products may require dry ice for shipping and that, if this is the case, an additional dry ice fee may also be required.Precautions
All products in the AAA Biotech catalog are strictly for research-use only, and are absolutely not suitable for use in any sort of medical, therapeutic, prophylactic, in-vivo, or diagnostic capacity. By purchasing a product from AAA Biotech, you are explicitly certifying that said products will be properly tested and used in line with industry standard. AAA Biotech and its authorized distribution partners reserve the right to refuse to fulfill any order if we have any indication that a purchaser may be intending to use a product outside of our accepted criteria.Disclaimer
Though we do strive to guarantee the information represented in this datasheet, AAA Biotech cannot be held responsible for any oversights or imprecisions. AAA Biotech reserves the right to adjust any aspect of this datasheet at any time and without notice. It is the responsibility of the customer to inform AAA Biotech of any product performance issues observed or experienced within 30 days of receipt of said product. To see additional details on this or any of our other policies, please see our Terms & Conditions page.Item has been added to Shopping Cart
If you are ready to order, navigate to Shopping Cart and get ready to checkout.
