Rabbit NFkB-p105 Polyclonal Antibody | anti-NFkB-p105 antibody
NFkB-p105 (Phospho-Ser337)
Gene Names
NFKB1; p50; KBF1; p105; EBP-1; CVID12; NF-kB1; NFKB-p50; NFkappaB; NF-kappaB; NFKB-p105; NF-kappa-B
Applications
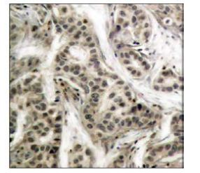
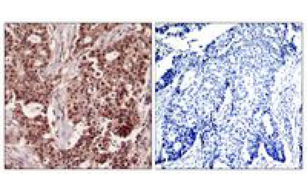
Immunofluorescence, Immunohistochemistry, Western Blot
Synonyms
NFkB-p105, Antibody; NFkB-p105 (Phospho-Ser337); anti-NFkB-p105 antibody
Host
Rabbit
Clonality
Polyclonal
Specificity
This antibody detects endogenous human, mouse, and rat NFkappaB-p105/p50 only when phosphorylated at serine 337.
Form/Format
100ul at 1.0mg/ml in PBS (without Mg2+ and Ca2+), pH 7.4, 150mM NaCl, 0.02% sodium azide and 50% glycerol. Affinity-purified on phosphopeptide; non-phosphopeptide- reactive antibodies were removed by chromatography on non-phosphorylated peptide.
Sequence Length
968
Applicable Applications for anti-NFkB-p105 antibody
IF (Immunofluorescence), IHC (Immunohistochemistry), WB (Western Blot)
Antigen
Peptide sequence that includes phosphorylation site of serine 337 (R-K-S(p)-D-L) derived from human NFkappaB-p105/p50 and conjugated to KLH.
Preparation and Storage
This antibody is stable for at least one (1) year at -20 degree C. Can be stored at 4 degree C for short-term use.
Related Product Information for anti-NFkB-p105 antibody
NFkappaB is a transcription factor found in almost all cell types and is involved in many biological processes such as inflammation, immunity, differentiation, cell growth, tumorigenesis and apoptosis. NFkappaB is controlled by various mechanisms of post-translational modification and subcellular compartmentalization as well as by interactions with other cofactors or corepressors such as p65-p50 and p65-c-Rel complexes. The NF-kappa-B p65-p65 complex appears to be involved in invasin-mediated activation of IL-8 expression.
NCBI and Uniprot Product Information
NCBI GI #
NCBI GeneID
NCBI Accession #
NCBI GenBank Nucleotide #
Molecular Weight
85,520 Da
NCBI Official Full Name
nuclear factor NF-kappa-B p105 subunit isoform 2 proprotein
NCBI Official Synonym Full Names
nuclear factor kappa B subunit 1
NCBI Official Symbol
NFKB1
NCBI Official Synonym Symbols
p50; KBF1; p105; EBP-1; CVID12; NF-kB1; NFKB-p50; NFkappaB; NF-kappaB; NFKB-p105; NF-kappa-B
NCBI Protein Information
nuclear factor NF-kappa-B p105 subunit
UniProt Protein Name
Nuclear factor NF-kappa-B p105 subunit
UniProt Gene Name
NFKB1
Customer Reviews
Loading reviews...
Share Your Experience
Similar Products
Product Notes
The NFkB-p105 nfkb1 (Catalog #AAA47801) is an Antibody produced from Rabbit and is intended for research purposes only. The product is available for immediate purchase. AAA Biotech's NFkB-p105 can be used in a range of immunoassay formats including, but not limited to, IF (Immunofluorescence), IHC (Immunohistochemistry), WB (Western Blot). Researchers should empirically determine the suitability of the NFkB-p105 nfkb1 for an application not listed in the data sheet. Researchers commonly develop new applications and it is an integral, important part of the investigative research process. It is sometimes possible for the material contained within the vial of "NFkB-p105, Polyclonal Antibody" to become dispersed throughout the inside of the vial, particularly around the seal of said vial, during shipment and storage. We always suggest centrifuging these vials to consolidate all of the liquid away from the lid and to the bottom of the vial prior to opening. Please be advised that certain products may require dry ice for shipping and that, if this is the case, an additional dry ice fee may also be required.Precautions
All products in the AAA Biotech catalog are strictly for research-use only, and are absolutely not suitable for use in any sort of medical, therapeutic, prophylactic, in-vivo, or diagnostic capacity. By purchasing a product from AAA Biotech, you are explicitly certifying that said products will be properly tested and used in line with industry standard. AAA Biotech and its authorized distribution partners reserve the right to refuse to fulfill any order if we have any indication that a purchaser may be intending to use a product outside of our accepted criteria.Disclaimer
Though we do strive to guarantee the information represented in this datasheet, AAA Biotech cannot be held responsible for any oversights or imprecisions. AAA Biotech reserves the right to adjust any aspect of this datasheet at any time and without notice. It is the responsibility of the customer to inform AAA Biotech of any product performance issues observed or experienced within 30 days of receipt of said product. To see additional details on this or any of our other policies, please see our Terms & Conditions page.Item has been added to Shopping Cart
If you are ready to order, navigate to Shopping Cart and get ready to checkout.
