Rabbit NOD2 Polyclonal Antibody | anti-NOD2 antibody
NOD2 Rabbit Polyclonal Antibody
Gene Names
NOD2; CD; ACUG; BLAU; IBD1; NLRC2; NOD2B; CARD15; CLR16.3; PSORAS1
Reactivity
Human, Mouse, Rat
Applications
Immunofluorescence, Immunohistochemistry, Western Blot
Purity
Affinity purification
Synonyms
NOD2, Antibody; NOD2 Rabbit Polyclonal Antibody; NOD2; ACUG; BLAU; BLAUS; CARD15; CD; CLR16.3; IBD1; NLRC2; NOD2B; PSORAS1; YAOS; anti-NOD2 antibody
Host
Rabbit
Reactivity
Human, Mouse, Rat
Clonality
Polyclonal
Isotype
IgG
Purity/Purification
Affinity purification
Form/Format
PBS with 0.02% sodium azide, 50% glycerol, pH7.3.
Applicable Applications for anti-NOD2 antibody
IF (Immunofluorescence), IHC (Immunohistochemistry), WB (Western Blot)
Immunogen
Recombinant fusion protein of human NOD2 (NP_071445.1).
Preparation and Storage
Store at -20 degree C. Avoid freeze/thaw cycles.
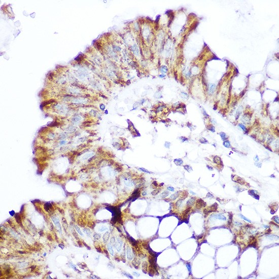
IHC (Immunohiostchemistry)
(Immunohistochemistry of paraffin-embedded human colon using NOD2 Rabbit pAb.)
Related Product Information for anti-NOD2 antibody
This gene is a member of the Nod1/Apaf-1 family and encodes a protein with two caspase recruitment (CARD) domains and six leucine-rich repeats (LRRs). The protein is primarily expressed in the peripheral blood leukocytes. It plays a role in the immune response to intracellular bacterial lipopolysaccharides (LPS) by recognizing the muramyl dipeptide (MDP) derived from them and activating the NFKB protein. Mutations in this gene have been associated with Crohn disease and Blau syndrome. Alternatively spliced transcript variants encoding distinct isoforms have been found for this gene.
Product Categories/Family for anti-NOD2 antibody
NCBI and Uniprot Product Information
NCBI GI #
NCBI GeneID
Molecular Weight
1040
NCBI Official Full Name
Nucleotide-binding oligomerization domain-containing protein 2
NCBI Official Synonym Full Names
nucleotide-binding oligomerization domain containing 2
NCBI Official Symbol
NOD2
NCBI Official Synonym Symbols
CD; ACUG; BLAU; IBD1; NLRC2; NOD2B; CARD15; CLR16.3; PSORAS1
NCBI Protein Information
nucleotide-binding oligomerization domain-containing protein 2; NOD-like receptor C2; NLR family, CARD domain containing 2; inflammatory bowel disease protein 1; caspase recruitment domain protein 15; nucleotide-binding oligomerization domain 2; caspase r
UniProt Protein Name
Nucleotide-binding oligomerization domain-containing protein 2
UniProt Gene Name
NOD2
UniProt Synonym Gene Names
CARD15; IBD1
UniProt Entry Name
NOD2_HUMAN
Customer Reviews
Loading reviews...
Share Your Experience
Similar Products
Product Notes
The NOD2 nod2 (Catalog #AAA313629) is an Antibody produced from Rabbit and is intended for research purposes only. The product is available for immediate purchase. The NOD2 Rabbit Polyclonal Antibody reacts with Human, Mouse, Rat and may cross-react with other species as described in the data sheet. AAA Biotech's NOD2 can be used in a range of immunoassay formats including, but not limited to, IF (Immunofluorescence), IHC (Immunohistochemistry), WB (Western Blot). Researchers should empirically determine the suitability of the NOD2 nod2 for an application not listed in the data sheet. Researchers commonly develop new applications and it is an integral, important part of the investigative research process. It is sometimes possible for the material contained within the vial of "NOD2, Polyclonal Antibody" to become dispersed throughout the inside of the vial, particularly around the seal of said vial, during shipment and storage. We always suggest centrifuging these vials to consolidate all of the liquid away from the lid and to the bottom of the vial prior to opening. Please be advised that certain products may require dry ice for shipping and that, if this is the case, an additional dry ice fee may also be required.Precautions
All products in the AAA Biotech catalog are strictly for research-use only, and are absolutely not suitable for use in any sort of medical, therapeutic, prophylactic, in-vivo, or diagnostic capacity. By purchasing a product from AAA Biotech, you are explicitly certifying that said products will be properly tested and used in line with industry standard. AAA Biotech and its authorized distribution partners reserve the right to refuse to fulfill any order if we have any indication that a purchaser may be intending to use a product outside of our accepted criteria.Disclaimer
Though we do strive to guarantee the information represented in this datasheet, AAA Biotech cannot be held responsible for any oversights or imprecisions. AAA Biotech reserves the right to adjust any aspect of this datasheet at any time and without notice. It is the responsibility of the customer to inform AAA Biotech of any product performance issues observed or experienced within 30 days of receipt of said product. To see additional details on this or any of our other policies, please see our Terms & Conditions page.Item has been added to Shopping Cart
If you are ready to order, navigate to Shopping Cart and get ready to checkout.
