Rabbit anti-Human NOS2 Polyclonal Antibody | anti-NOS2 antibody
NOS2 antibody - N-terminal region
WB (Western Blot)
(WB Suggested Anti-NOS2 AntibodyTitration: 1.0 ug/mlPositive Control: Jurkat Whole Cell)
WB (Western Blot)
(Researcher: Hiten Mistry, Ania Czajka and Marta Hentschke Ribeiro, King's College LondonApplication: Western blottingSpecies+tissue/cell type: Human placental and myometrial tissue lysateHow many ug'sof tissue/cell lysate run on the gel:1: 50 ug human placental tissue lysate2: 40 ug human placental tissue lysate3: 30 ug human placental tissue lysate4: 20 ug human placental tissue lysate5: 10 ug human placental tissue lysate6: 20 ug human myometrial tissue lysatePrimary antibody dilution: 1:500Secondary antibody: Goat anti-rabbit HRPSecondary antibody dilution: 1:10000)
WB (Western Blot)
(Lanes:Lane1: 30 ug human placental tissue lysateLane2: 30 ug human placental tissue lysateLane3: 30 ug human placental tissue lysateLane4: 30 ug human placental tissue lysateLane5: 20 ug human myometrial tissue lysatePrimary Antibody Dilution:1:500Secondary Antibody:Goat anti-rabbit HRPSecondary Antibody Dilution:1:10000Gene Name:Nitric oxide synthase 2, inducible (NOS2)Submitted by:Hiten Mistry, Ania Czajka and Marta Hentschke Ribeiro, King's College London)
IHC (Immunohiostchemistry)
(Sample Type :Human placental tissue Primary Antibody Dilution :1:50Secondary Antibody :Goat anti rabbit-HRP Secondary Antibody Dilution :1:10,000Color/Signal Descriptions :Brown: NOS2Purple: HaemotoxylinGene Name :NOS2Submitted by :Dr. Hiten D. Mistry and Anna Czajka, King's College London; Lesia Kurlak, University of Nottingham)
IHC (Immunohistochemistry)
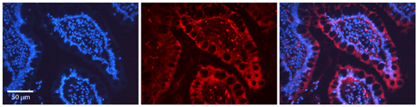
(Rabbit Anti-NOS2 AntibodyFormalin Fixed Paraffin Embedded Tissue: Human Appendix (Colon) TissueObserved Staining: CytoplasmPrimary Antibody Concentration: 1:100Other Working Concentrations: N/ASecondary Antibody: Donkey anti-Rabbit-Cy3Secondary Antibody Concentration: 1:200Magnification: 20XExposure Time: 0.5 - 2.0 sec)
Target Description: Nitric oxide is a reactive free radical which acts as a biologic mediator in several processes, including neurotransmission and antimicrobial and antitumoral activities. This gene encodes a nitric oxide synthase which is expressed in liver and is inducible by a combination of lipopolysaccharide and certain cytokines. Three related pseudogenes are located within the Smith-Magenis syndrome region on chromosome 17.
NCBI and Uniprot Product Information
Customer Reviews
Loading reviews...
Share Your Experience
Similar Products
Product Notes
The NOS2 nos2 (Catalog #AAA201148) is an Antibody produced from Rabbit and is intended for research purposes only. The product is available for immediate purchase. The NOS2 antibody - N-terminal region reacts with Human and may cross-react with other species as described in the data sheet. AAA Biotech's NOS2 can be used in a range of immunoassay formats including, but not limited to, WB (Western Blot), IHC (Immunohistochemistry). Researchers should empirically determine the suitability of the NOS2 nos2 for an application not listed in the data sheet. Researchers commonly develop new applications and it is an integral, important part of the investigative research process. The amino acid sequence is listed below: Synthetic peptide located within the following region: PCATSSPVTQ DDLQYHNLSK QQNESPQPLV ETGKKSPESL VKLDATPLSS. It is sometimes possible for the material contained within the vial of "NOS2, Polyclonal Antibody" to become dispersed throughout the inside of the vial, particularly around the seal of said vial, during shipment and storage. We always suggest centrifuging these vials to consolidate all of the liquid away from the lid and to the bottom of the vial prior to opening. Please be advised that certain products may require dry ice for shipping and that, if this is the case, an additional dry ice fee may also be required.Precautions
All products in the AAA Biotech catalog are strictly for research-use only, and are absolutely not suitable for use in any sort of medical, therapeutic, prophylactic, in-vivo, or diagnostic capacity. By purchasing a product from AAA Biotech, you are explicitly certifying that said products will be properly tested and used in line with industry standard. AAA Biotech and its authorized distribution partners reserve the right to refuse to fulfill any order if we have any indication that a purchaser may be intending to use a product outside of our accepted criteria.Disclaimer
Though we do strive to guarantee the information represented in this datasheet, AAA Biotech cannot be held responsible for any oversights or imprecisions. AAA Biotech reserves the right to adjust any aspect of this datasheet at any time and without notice. It is the responsibility of the customer to inform AAA Biotech of any product performance issues observed or experienced within 30 days of receipt of said product. To see additional details on this or any of our other policies, please see our Terms & Conditions page.Item has been added to Shopping Cart
If you are ready to order, navigate to Shopping Cart and get ready to checkout.
