Nucleophosmin Polyclonal Antibody | anti-NPM1 antibody
Anti-Nucleophosmin Antibody
IHC (Immunohistochemistry)
(Anti- Nucleophosmin Picoband antibody, AAA46272,IHC(P)IHC(P): Human Intestinal Cancer Tissue)
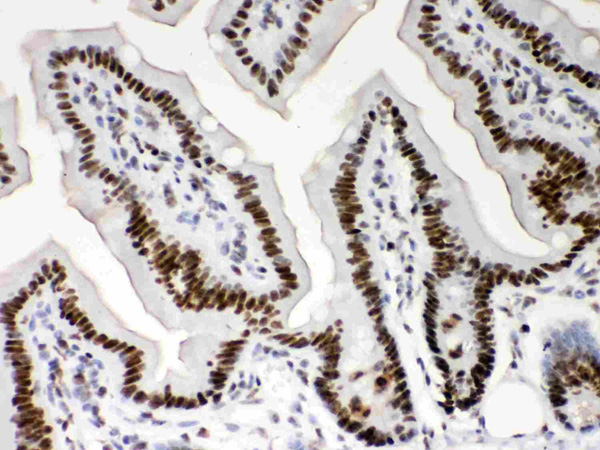
IHC (Immunohistochemisry)
(Anti- Nucleophosmin Picoband antibody, AAA46272,IHC(P)IHC(P): Rat Intestine Tissue)
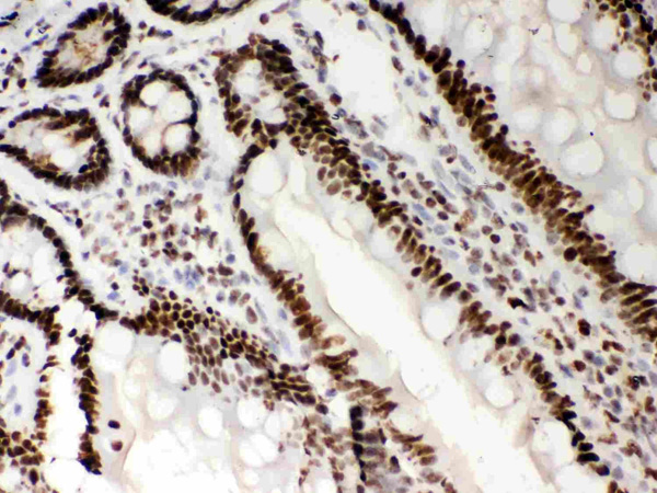
IHC (Immunohiostchemistry)
(Anti- Nucleophosmin Picoband antibody, AAA46272,IHC(P)IHC(P): Mouse Intestine Tissue)
WB (Western Blot)
(Anti- Nucleophosmin Picoband antibody, AAA46272, Western blottingAll lanes: Anti Nucleophosmin (AAA46272) at 0.5ug/mlLane 1: Rat Testis Tissue Lysate at 50ugLane 2: Mouse Testis Tissue Lysate at 50ugLane 3: SKOV Whole Cell Lysate at 40ugLane 4: HEPA Whole Cell Lysate at 40ugLane 5: JURKAT Whole Cell Lysate at 40ugLane 6: HUT Whole Cell Lysate at 40ugLane 7: HELA Whole Cell Lysate at 40ugPredicted bind size: 33KDObserved bind size: 38KD)
Background: NPM1(Nucleophosmin/Nucleoplasmin family, member1), also known as NPM, nucleolar phosphoprotein B23 or numatrin, is a protein that in humans is encoded by the NPM1 gene. The NPM1 gene maps to chromosome 5q35. Chan et al. (1989) found that nucleophosmin is a nucleolar phosphoprotein that is more abundant in tumor cells than in normal resting cells. Stimulation of the growth of normal cells, e.g., mitogen activation of B lymphocytes, was accompanied by an increase in nucleophosmin protein level. They stated that nucleophosmin is likely involved in the assembly of ribosomal proteins into ribosomes. Electron microscopic study indicated that nucleophosmin is concentrated in the granular region of the nucleolus, where ribosome assembly occurs.
NCBI and Uniprot Product Information
Customer Reviews
Loading reviews...
Share Your Experience
Similar Products
Product Notes
The NPM1 npm1 (Catalog #AAA46272) is an Antibody and is intended for research purposes only. The product is available for immediate purchase. The Anti-Nucleophosmin Antibody reacts with Human, Mouse, Rat and may cross-react with other species as described in the data sheet. AAA Biotech's Nucleophosmin can be used in a range of immunoassay formats including, but not limited to, IHC (Immunohistochemistry), WB (Western Blot). Researchers should empirically determine the suitability of the NPM1 npm1 for an application not listed in the data sheet. Researchers commonly develop new applications and it is an integral, important part of the investigative research process. It is sometimes possible for the material contained within the vial of "Nucleophosmin, Polyclonal Antibody" to become dispersed throughout the inside of the vial, particularly around the seal of said vial, during shipment and storage. We always suggest centrifuging these vials to consolidate all of the liquid away from the lid and to the bottom of the vial prior to opening. Please be advised that certain products may require dry ice for shipping and that, if this is the case, an additional dry ice fee may also be required.Precautions
All products in the AAA Biotech catalog are strictly for research-use only, and are absolutely not suitable for use in any sort of medical, therapeutic, prophylactic, in-vivo, or diagnostic capacity. By purchasing a product from AAA Biotech, you are explicitly certifying that said products will be properly tested and used in line with industry standard. AAA Biotech and its authorized distribution partners reserve the right to refuse to fulfill any order if we have any indication that a purchaser may be intending to use a product outside of our accepted criteria.Disclaimer
Though we do strive to guarantee the information represented in this datasheet, AAA Biotech cannot be held responsible for any oversights or imprecisions. AAA Biotech reserves the right to adjust any aspect of this datasheet at any time and without notice. It is the responsibility of the customer to inform AAA Biotech of any product performance issues observed or experienced within 30 days of receipt of said product. To see additional details on this or any of our other policies, please see our Terms & Conditions page.Item has been added to Shopping Cart
If you are ready to order, navigate to Shopping Cart and get ready to checkout.
