Rabbit NuMA Polyclonal Antibody | anti-NuMA antibody
Phospho-NuMA (Ser1225) Antibody
Predicted: Pig, Bovine, Horse, Sheep, Dog, Chicken
Predicted: Pig, Bovine, Horse, Sheep, Dog, Chicken
WB (Western Blot)
(Western blot analysis of Phospho-NuMA (Ser1225) in lysates of K562?, using Phospho-NuMA (Ser1225) Antibody.)
IHC (Immunohiostchemistry)
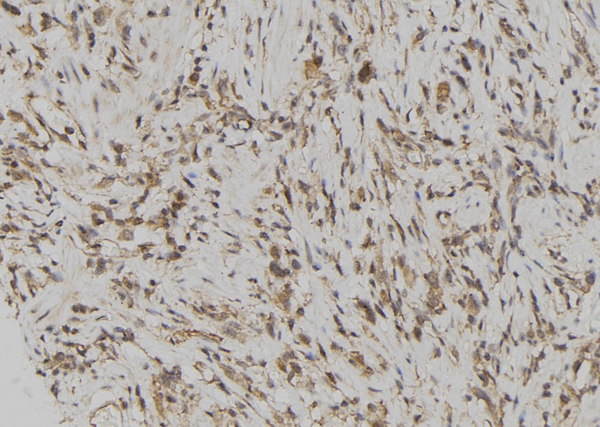
(At 1/100 staining human gastric cancer tissue sections by IHC-P. The tissue was formaldehyde fixed and a heat mediated antigen retrieval step in citrate buffer was performed. The tissue was then blocked and incubated with the antibody for 1.5 hours at 22 degree C. An HRP conjugated goat anti-rabbit antibody was used as the secondary)
IHC (Immunohistochemistry)
(At 1/100 staining rat heart tissue sections by IHC-P. The tissue was formaldehyde fixed and a heat mediated antigen retrieval step in citrate buffer was performed. The tissue was then blocked and incubated with the antibody for 1.5 hours at 22 degree C. An HRP conjugated goat anti-rabbit antibody was used as the secondary)
Post Translational Modifications: Phosphorylation and dephosphorylation on Thr-2055 regulates the extent of cortical NUMA1 and the dynein-dynactin complex localization during mitotic metaphase and anaphase (PubMed:23921553). In metaphase, phosphorylation on Thr-2055 occurs in a kinase CDK1-dependent manner; this phosphorylation maintains low levels of cortical dynein-dynactin complex at metaphase, and hence proper spindle positioning (PubMed:7769006, PubMed:23921553, PubMed:24371089). In anaphase, dephosphorylated on Thr-2055 by phosphatase PPP2CA; this dephosphorylation stimulates its membrane association and with the dynein-dynactin complex its enrichment at the cell cortex, and hence robust spindle elongation (PubMed:23921553, PubMed:24371089). Probably also phosphorylated on Thr-2015 and Ser-2087 by CDK1; these phosphorylations may regulate its cell cortex recruitment during metaphase and anaphase (PubMed:23870127). Phosphorylated on Thr-1047, Ser-1769, Ser-1772, Ser-1789 and Ser-1834 by PLK1; these phosphorylations induce cortical dynein-dynactin complex dissociation from the NUMA1-GPSM2 complex and negatively regulates cortical dynein-dynactin complex localization (PubMed:22327364). ADP-ribosylated by TNKS at the onset of mitosis; ADP-ribosylation is not required for its localization to spindle poles (PubMed:16076287). O-glycosylated during cytokinesis at sites identical or close to phosphorylation sites, this interferes with the phosphorylation status (PubMed:20068230). Ubiquitinated with 'Lys-63'-linked polyubiquitin chains. Deubiquitination by the BRISC complex is important for the incorporation of NUMA1 into mitotic spindle poles and normal spindle pole function, probably by modulating interactions between NUMA1, dynein-dynactin complex and importin-beta.
Subunit Structure: Homodimer (PubMed:10075938). Also forms multiarm oligomers by association of C-terminal tail domains, oligomers may further assemble to form a hexagonal nuclear lattice-like network (PubMed:10075938). Associates with the dynein-dynactin complex; this association promotes the transport and accumulation of NUMA1 at the mitotic spindle poles that is inhibited by the BRISC complex in a PLK1-dependent manner (PubMed:10811826, PubMed:17172455, PubMed:23027904, PubMed:22327364, PubMed:26195665). Part of a spindle orientation complex at least composed of GNAI1, GPSM2 and NUMA1 (PubMed:26766442). Interacts (via C-terminus) with microtubules (MTs); this interaction is direct and promotes both MT bundle formation and stability in a dynein-dynactin complex- and CDK1-independent manner (PubMed:12445386, PubMed:11956313, PubMed:26765568). Interacts with EPB41 and EPB41L2; these interactions are negatively regulated by CDK1 during metaphase and are important for anaphase-specific localization of NUMA1 in symmetrically dividing cells (PubMed:23870127, PubMed:24996901). Interacts (via C-terminus) with GPSM2 (via TPR repeats); this interaction is direct, prevented by competitive binding of INSC, is inhibited in a PLK1-dependent manner, blocks the association of NUMA1 with MTs and inhibits NUMA1-induced MT bundle formation, prevents the association of NUMA1 with SPAG5, induces mitotic spindle pole localization of GPSM2, both metaphase cell cortex localization of NUMA1 and mitotic spindle organization (PubMed:11781568, PubMed:12445386, PubMed:22327364, PubMed:24109598, PubMed:27462074, PubMed:21816348). Does not interact with GPSM2 during anaphase (PubMed:23870127). Interacts (via C-terminus) with the nuclear importin alpha/importin beta receptor; this interaction is inhibited by RanGTP (PubMed:11163243). Interacts (via C-terminus) with KPNB1; this interaction is inhibited by RanGTP and the BRISC complex (PubMed:11229403, PubMed:26195665). Interacts with ABRAXAS2 and the BRISC complex; these interactions regulate mitotic spindle assembly (PubMed:26195665). Interacts (via N-terminal end of the coiled-coil domain) with RAE1; this interaction promotes mitotic spindle formation (PubMed:17172455). Interacts (via C-terminus) with SPAG5 (via C-terminus); this interaction promotes the recruitment of SPAG5 to the MTs at spindle poles in a dynein-dynactin-dependent manner and regulates mitotic spindle organization and proper chromosome alignment during mitosis (PubMed:27462074). Interacts with TNKS; this interaction occurs at the onset of mitosis (PubMed:12080061, PubMed:16076287). Interacts with TNKS2 (PubMed:12080061). Interacts with tubulin (PubMed:11956313).
Similarity: The C-terminal tubulin-binding domain mediates direct binding to microtubules, independently of dynein-dynactin complex, and induces their bundling and stabilization (PubMed:11956313). The 4.1-binding domain is necessary for its cortical stability and spindle orientation (PubMed:24109598).
NCBI and Uniprot Product Information
Predicted: 239 kDa
Customer Reviews
Loading reviews...
Share Your Experience
Similar Products
Product Notes
The NuMA numa1 (Catalog #AAA328516) is an Antibody produced from Rabbit and is intended for research purposes only. The product is available for immediate purchase. The Phospho-NuMA (Ser1225) Antibody reacts with Human, Mouse, Rat Predicted: Pig, Bovine, Horse, Sheep, Dog, Chicken and may cross-react with other species as described in the data sheet. AAA Biotech's NuMA can be used in a range of immunoassay formats including, but not limited to, ELISA (Peptide ELISA), IHC (Immunohistochemistry), WB (Western Blot). Researchers should empirically determine the suitability of the NuMA numa1 for an application not listed in the data sheet. Researchers commonly develop new applications and it is an integral, important part of the investigative research process. It is sometimes possible for the material contained within the vial of "NuMA, Polyclonal Antibody" to become dispersed throughout the inside of the vial, particularly around the seal of said vial, during shipment and storage. We always suggest centrifuging these vials to consolidate all of the liquid away from the lid and to the bottom of the vial prior to opening. Please be advised that certain products may require dry ice for shipping and that, if this is the case, an additional dry ice fee may also be required.Precautions
All products in the AAA Biotech catalog are strictly for research-use only, and are absolutely not suitable for use in any sort of medical, therapeutic, prophylactic, in-vivo, or diagnostic capacity. By purchasing a product from AAA Biotech, you are explicitly certifying that said products will be properly tested and used in line with industry standard. AAA Biotech and its authorized distribution partners reserve the right to refuse to fulfill any order if we have any indication that a purchaser may be intending to use a product outside of our accepted criteria.Disclaimer
Though we do strive to guarantee the information represented in this datasheet, AAA Biotech cannot be held responsible for any oversights or imprecisions. AAA Biotech reserves the right to adjust any aspect of this datasheet at any time and without notice. It is the responsibility of the customer to inform AAA Biotech of any product performance issues observed or experienced within 30 days of receipt of said product. To see additional details on this or any of our other policies, please see our Terms & Conditions page.Item has been added to Shopping Cart
If you are ready to order, navigate to Shopping Cart and get ready to checkout.
