Rabbit NUP62 Polyclonal Antibody | anti-NUP62 antibody
NUP62 Antibody
Phosphate buffered saline, pH 7.4, 150mM NaCl, 0.02% sodium azide and 50% glycerol.
WB (Western Blot)
(Western blot analysis of Mouse brain lysate, using NUP62 Antibody. The lane on the left is treated with the antigen-specific peptide.)
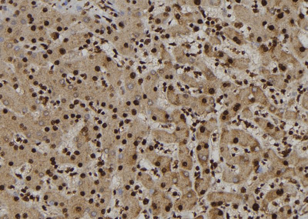
IHC (Immunohistochemistry)
(AAA326717 at 1/100 staining Human liver tissue by IHC-P. The sample was formaldehyde fixed and a heat mediated antigen retrieval step in citrate buffer was performed. The sample was then blocked and incubated with the antibody for 1.5 hours at 22 degree C. An HRP conjugated goat anti-rabbit antibody was used as the secondary.)
Function: Essential component of the nuclear pore complex (PubMed:1915414). The N-terminal is probably involved in nucleocytoplasmic transport (PubMed:1915414). The C-terminal is involved in protein-protein interaction probably via coiled-coil formation, promotes its association with centrosomes and may function in anchorage of p62 to the pore complex (PubMed:1915414, PubMed:24107630). Plays a role in mitotic cell cycle progression by regulating centrosome segregation, centriole maturation and spindle orientation (PubMed:24107630). It might be involved in protein recruitment to the centrosome after nuclear breakdown (PubMed:24107630).
Subunit Structure: Component of the p62 complex, a complex at least composed of NUP62, NUP54, and NUP58 (By similarity). Interacts with NUTF2 (By similarity). Interacts with HIKESHI (PubMed:22541429). Interacts with OSBPL8 (PubMed:21698267). Interacts with CAPG (PubMed:18266911). Interacts with SAS6 and TUBG1 at the centrosome (PubMed:24107630).
Post-translational Modifications: O-glycosylated. Contains about 10 N-acetylglucosamine side chain sites predicted for the entire protein, among which only one in the C-terminal. The the inner channel of the NPC has a different redox environment from the cytoplasm and allows the formation of interchain disulfide bonds between some nucleoporins, the significant increase of these linkages upon oxidative stress reduces the permeability of the NPC.
Similarity: Contains FG repeats. Belongs to the nucleoporin NSP1/NUP62 family.
NCBI and Uniprot Product Information
Predicted: 54 kDa
Customer Reviews
Loading reviews...
Share Your Experience
Similar Products
Product Notes
The NUP62 nup62 (Catalog #AAA326717) is an Antibody produced from Rabbit and is intended for research purposes only. The product is available for immediate purchase. The NUP62 Antibody reacts with Human, Mouse, Rat and may cross-react with other species as described in the data sheet. AAA Biotech's NUP62 can be used in a range of immunoassay formats including, but not limited to, ELISA, IHC (Immunohistochemistry), WB (Western Blot). Researchers should empirically determine the suitability of the NUP62 nup62 for an application not listed in the data sheet. Researchers commonly develop new applications and it is an integral, important part of the investigative research process. It is sometimes possible for the material contained within the vial of "NUP62, Polyclonal Antibody" to become dispersed throughout the inside of the vial, particularly around the seal of said vial, during shipment and storage. We always suggest centrifuging these vials to consolidate all of the liquid away from the lid and to the bottom of the vial prior to opening. Please be advised that certain products may require dry ice for shipping and that, if this is the case, an additional dry ice fee may also be required.Precautions
All products in the AAA Biotech catalog are strictly for research-use only, and are absolutely not suitable for use in any sort of medical, therapeutic, prophylactic, in-vivo, or diagnostic capacity. By purchasing a product from AAA Biotech, you are explicitly certifying that said products will be properly tested and used in line with industry standard. AAA Biotech and its authorized distribution partners reserve the right to refuse to fulfill any order if we have any indication that a purchaser may be intending to use a product outside of our accepted criteria.Disclaimer
Though we do strive to guarantee the information represented in this datasheet, AAA Biotech cannot be held responsible for any oversights or imprecisions. AAA Biotech reserves the right to adjust any aspect of this datasheet at any time and without notice. It is the responsibility of the customer to inform AAA Biotech of any product performance issues observed or experienced within 30 days of receipt of said product. To see additional details on this or any of our other policies, please see our Terms & Conditions page.Item has been added to Shopping Cart
If you are ready to order, navigate to Shopping Cart and get ready to checkout.
