Rabbit anti-Human, Mouse NYX Polyclonal Antibody | anti-NYX antibody
NYX Polyclonal Antibody
Gene Names
NYX; CLRP; NBM1; CSNB1; CSNB4; CSNB1A
Reactivity
Human, Mouse
Applications
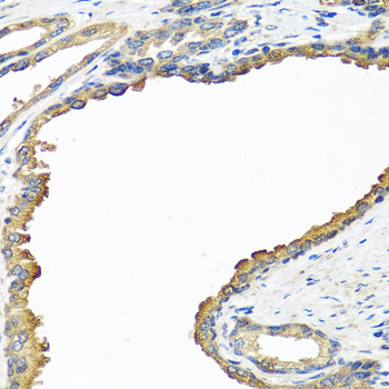
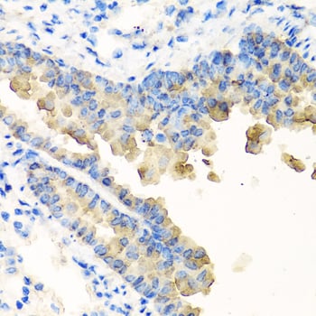
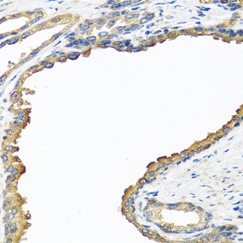
Immunohistochemistry, Western Blot
Purity
Affinity purification
Synonyms
NYX, Antibody; NYX Polyclonal Antibody; NYX; CLRP; CSNB1; CSNB1A; CSNB4; NBM1; nyctalopin; anti-NYX antibody
Host
Rabbit
Reactivity
Human, Mouse
Clonality
Polyclonal
Isotype
IgG
Purity/Purification
Affinity purification
Form/Format
PBS with 50% glycerol, pH7.4
Applicable Applications for anti-NYX antibody
IHC (Immunohistochemistry), WB (Western Blot)
Immunogen
Recombinant fusion protein of human NYX (NP_072089.1).
Conjugation
Unconjugated
Preparation and Storage
Store at -20 degree C. Avoid freeze/thaw cycles.
Related Product Information for anti-NYX antibody
The product of this gene belongs to the small leucine-rich proteoglycan (SLRP) family of proteins. Defects in this gene are the cause of congenital stationary night blindness type 1 (CSNB1), also called X-linked congenital stationary night blindness (XLCSNB). CSNB1 is a rare inherited retinal disorder characterized by impaired scotopic vision, myopia, hyperopia, nystagmus and reduced visual acuity. The role of other SLRP proteins suggests that mutations in this gene disrupt developing retinal interconnections involving the ON-bipolar cells, leading to the visual losses seen in patients with complete CSNB.
Product Categories/Family for anti-NYX antibody
NCBI and Uniprot Product Information
NCBI GI #
NCBI GeneID
NCBI Accession #
NCBI GenBank Nucleotide #
Molecular Weight
52,000 Da
NCBI Official Full Name
nyctalopin
NCBI Official Synonym Full Names
nyctalopin
NCBI Official Symbol
NYX
NCBI Official Synonym Symbols
CLRP; NBM1; CSNB1; CSNB4; CSNB1A
NCBI Protein Information
nyctalopin
UniProt Protein Name
Nyctalopin
UniProt Gene Name
NYX
UniProt Synonym Gene Names
CLRP
Customer Reviews
Loading reviews...
Share Your Experience
Similar Products
Product Notes
The NYX nyx (Catalog #AAA311575) is an Antibody produced from Rabbit and is intended for research purposes only. The product is available for immediate purchase. The NYX Polyclonal Antibody reacts with Human, Mouse and may cross-react with other species as described in the data sheet. AAA Biotech's NYX can be used in a range of immunoassay formats including, but not limited to, IHC (Immunohistochemistry), WB (Western Blot). Researchers should empirically determine the suitability of the NYX nyx for an application not listed in the data sheet. Researchers commonly develop new applications and it is an integral, important part of the investigative research process. It is sometimes possible for the material contained within the vial of "NYX, Polyclonal Antibody" to become dispersed throughout the inside of the vial, particularly around the seal of said vial, during shipment and storage. We always suggest centrifuging these vials to consolidate all of the liquid away from the lid and to the bottom of the vial prior to opening. Please be advised that certain products may require dry ice for shipping and that, if this is the case, an additional dry ice fee may also be required.Precautions
All products in the AAA Biotech catalog are strictly for research-use only, and are absolutely not suitable for use in any sort of medical, therapeutic, prophylactic, in-vivo, or diagnostic capacity. By purchasing a product from AAA Biotech, you are explicitly certifying that said products will be properly tested and used in line with industry standard. AAA Biotech and its authorized distribution partners reserve the right to refuse to fulfill any order if we have any indication that a purchaser may be intending to use a product outside of our accepted criteria.Disclaimer
Though we do strive to guarantee the information represented in this datasheet, AAA Biotech cannot be held responsible for any oversights or imprecisions. AAA Biotech reserves the right to adjust any aspect of this datasheet at any time and without notice. It is the responsibility of the customer to inform AAA Biotech of any product performance issues observed or experienced within 30 days of receipt of said product. To see additional details on this or any of our other policies, please see our Terms & Conditions page.Item has been added to Shopping Cart
If you are ready to order, navigate to Shopping Cart and get ready to checkout.
