Rabbit Osteocalcin Polyclonal Antibody | anti-BGLAP antibody
Anti-Osteocalcin Antibody
No cross reactivity with other proteins.
No cross reactivity with other proteins.
FCM/FACS (Flow Cytometry)
(Figure 2. Flow Cytometry analysis of L6 cells using anti-Osteocalcin antibody (AAA46597).Overlay histogram showing L6 cells stained with AAA46597 (Blue line).The cells were blocked with 10% normal goat serum. And then incubated with rabbit anti-Osteocalcin Antibody (AAA46597,1ug/1x10^6 cells) for 30 min at 20 degree C. DyLight®488 conjugated goat anti-rabbit IgG (5-10ug/1x10^6 cells) was used as secondary antibody for 30 minutes at 20 degree C. Isotype control antibody (Green line) was rabbit IgG (1ug/1x106) used under the same conditions. Unlabelled sample (Red line) was also used as a control.)
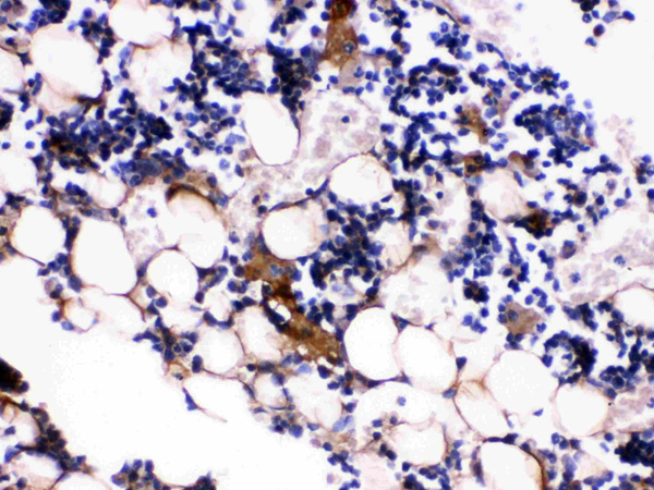
IHC (Immunohistochemistry)
(Figure 1. IHC analysis of Osteocalcin using anti- Osteocalcin antibody (AAA46597).Osteocalcin was detected in paraffin-embedded section of mouse tibia tissues. Heat mediated antigen retrieval was performed in citrate buffer (pH6, epitope retrieval solution) for 20 mins. The tissue section was blocked with 10% goat serum. The tissue section was then incubated with 1ug/ml rabbit anti- Osteocalcin Antibody (AAA46597) overnight at 4 degree C. Biotinylated goat anti-rabbit IgG was used as secondary antibody and incubated for 30 minutes at 37 degree C. The tissue section was developed using Strepavidin-Biotin-Complex (SABC) with DAB as the chromogen.)
Background: Osteocalcin, also known as bone gamma-carboxyglutamic acid-containing protein (BGLAP), is a noncollagenous protein found in bone and dentin. In humans, the osteocalcin is encoded by the BGLAP gene. Its receptor is GPRC6A. It is mapped to 1q22. Osteocalcin may play a role in the body's metabolic regulation and is pro-osteoblastic, or bone-building. It acts as a hormone in the body, causing beta cellsin the pancreas to release more insulin, and at the same time directing fat cells to release the hormone adiponectin, which increases sensitivity to insulin. Also, it may play a role in male fertility. And it is found that picomolar amounts of osteocalcin affected insulin secretion and beta-cell proliferation.
2. Lee NK, Sowa H, Hinoi E, Ferron M, Ahn JD, Confavreux C, Dacquin R, Mee PJ, McKee MD, Jung DY, Zhang Z, Kim JK, Mauvais-Jarvis F, Ducy P, Karsenty G (August 2007). "Endocrine regulation of energy metabolism by the skeleton". Cell 130 (3): 456-69.
3. Puchacz E, Lian JB, Stein GS, Wozney J, Huebner K, Croce C (May 1989). "Chromosomal localization of the human osteocalcin gene". Endocrinology 124 (5): 2648-50.
NCBI and Uniprot Product Information
Customer Reviews
Loading reviews...
Share Your Experience
Similar Products
Product Notes
The BGLAP bglap (Catalog #AAA46597) is an Antibody produced from Rabbit and is intended for research purposes only. The product is available for immediate purchase. The Anti-Osteocalcin Antibody reacts with Mouse No cross reactivity with other proteins. and may cross-react with other species as described in the data sheet. AAA Biotech's Osteocalcin can be used in a range of immunoassay formats including, but not limited to, IHC (Immunohistochemistry). Researchers should empirically determine the suitability of the BGLAP bglap for an application not listed in the data sheet. Researchers commonly develop new applications and it is an integral, important part of the investigative research process. It is sometimes possible for the material contained within the vial of "Osteocalcin, Polyclonal Antibody" to become dispersed throughout the inside of the vial, particularly around the seal of said vial, during shipment and storage. We always suggest centrifuging these vials to consolidate all of the liquid away from the lid and to the bottom of the vial prior to opening. Please be advised that certain products may require dry ice for shipping and that, if this is the case, an additional dry ice fee may also be required.Precautions
All products in the AAA Biotech catalog are strictly for research-use only, and are absolutely not suitable for use in any sort of medical, therapeutic, prophylactic, in-vivo, or diagnostic capacity. By purchasing a product from AAA Biotech, you are explicitly certifying that said products will be properly tested and used in line with industry standard. AAA Biotech and its authorized distribution partners reserve the right to refuse to fulfill any order if we have any indication that a purchaser may be intending to use a product outside of our accepted criteria.Disclaimer
Though we do strive to guarantee the information represented in this datasheet, AAA Biotech cannot be held responsible for any oversights or imprecisions. AAA Biotech reserves the right to adjust any aspect of this datasheet at any time and without notice. It is the responsibility of the customer to inform AAA Biotech of any product performance issues observed or experienced within 30 days of receipt of said product. To see additional details on this or any of our other policies, please see our Terms & Conditions page.Item has been added to Shopping Cart
If you are ready to order, navigate to Shopping Cart and get ready to checkout.
