Rabbit p130 Cas Polyclonal Antibody | anti-p130cas antibody
Phospho-p130 Cas (Tyr267) Antibody
Predicted: Pig, Zebrafish, Bovine, Horse, Sheep, Rabbit, Chicken, Xenopus
Predicted: Pig, Zebrafish, Bovine, Horse, Sheep, Rabbit, Chicken, Xenopus
WB (Western Blot)
(Western blot analysis of Phospho-p130 Cas (Tyr267) in lysates of NIH-3T3, using Phospho-p130 Cas (Tyr267) Antibody.)
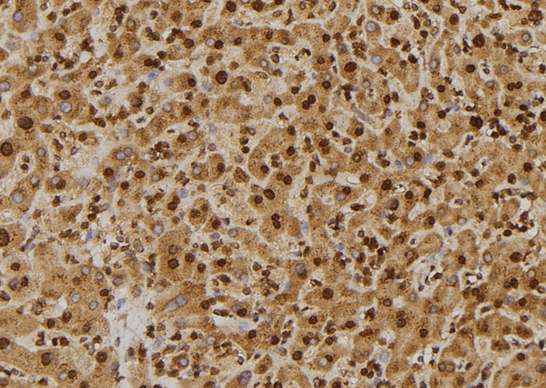
IHC (Immunohiostchemistry)
(At 1/100 staining human liver tissue sections by IHC-P. The tissue was formaldehyde fixed and a heat mediated antigen retrieval step in citrate buffer was performed. The tissue was then blocked and incubated with the antibody for 1.5 hours at 22 degree C. An HRP conjugated goat anti-rabbit antibody was used as the secondary)
IHC (Immunohistochemistry)
(At 1/100 staining rat heart tissue sections by IHC-P. The tissue was formaldehyde fixed and a heat mediated antigen retrieval step in citrate buffer was performed. The tissue was then blocked and incubated with the antibody for 1.5 hours at 22 degree C. An HRP conjugated goat anti-rabbit antibody was used as the secondary)
Post Translational Modifications: PTK2/FAK1 activation mediates phosphorylation at the YDYVHL motif; phosphorylation is most likely catalyzed by SRC family members. SRC-family kinases are recruited to the phosphorylated sites and can phosphorylate other tyrosine residues. Tyrosine phosphorylation is triggered by integrin-mediated adhesion of cells to the extracellular matrix. Dephosphorylated by PTPN14 at Tyr-128.
Subunit Structure: Forms complexes in vivo with PTK2/FAK1, adapter protein CRKL and LYN kinase. Can heterodimerize with NEDD9. Interacts with BCAR3, the interaction regulates adhesion-dependent serine phosphorylation. Interacts with NPHP1 and SH2D3C. Interacts with activated CSPG4. Interacts with BMX, INPPL1/SHIP2 and PEAK1. Part of a collagen-stimulated complex involved in cell migration made of CDC42, CRK, TNK2 and BCAR1/p130cas. Interacts with TNK2 via SH3 domains. Interacts with PTK2B/PYK2.
Similarity: Contains a central domain (substrate domain) containing multiple potential SH2-binding sites and a C-terminal domain containing a divergent helix-loop-helix (HLH) motif. The SH2-binding sites putatively bind CRK, NCK and ABL1 SH2 domains. The HLH motif is absolutely required for the induction of pseudohyphal growth in yeast and mediates heterodimerization with NEDD9 (By similarity).A serine-rich region promotes activation of the serum response element (SRE). The SH3 domain is necessary for the localization of the protein to focal adhesions and interacts with one proline-rich region of PTK2/FAK11. Belongs to the CAS family.
NCBI and Uniprot Product Information
Predicted: 94 kDa
Customer Reviews
Loading reviews...
Share Your Experience
Similar Products
p130Cas Antibody
p130Cas Antibody
Product Notes
The p130cas bcar1 (Catalog #AAA328467) is an Antibody produced from Rabbit and is intended for research purposes only. The product is available for immediate purchase. The Phospho-p130 Cas (Tyr267) Antibody reacts with Human, Mouse, Rat Predicted: Pig, Zebrafish, Bovine, Horse, Sheep, Rabbit, Chicken, Xenopus and may cross-react with other species as described in the data sheet. AAA Biotech's p130 Cas can be used in a range of immunoassay formats including, but not limited to, ELISA (Peptide ELISA), IHC (Immunohistochemistry), WB (Western Blot). Researchers should empirically determine the suitability of the p130cas bcar1 for an application not listed in the data sheet. Researchers commonly develop new applications and it is an integral, important part of the investigative research process. It is sometimes possible for the material contained within the vial of "p130 Cas, Polyclonal Antibody" to become dispersed throughout the inside of the vial, particularly around the seal of said vial, during shipment and storage. We always suggest centrifuging these vials to consolidate all of the liquid away from the lid and to the bottom of the vial prior to opening. Please be advised that certain products may require dry ice for shipping and that, if this is the case, an additional dry ice fee may also be required.Precautions
All products in the AAA Biotech catalog are strictly for research-use only, and are absolutely not suitable for use in any sort of medical, therapeutic, prophylactic, in-vivo, or diagnostic capacity. By purchasing a product from AAA Biotech, you are explicitly certifying that said products will be properly tested and used in line with industry standard. AAA Biotech and its authorized distribution partners reserve the right to refuse to fulfill any order if we have any indication that a purchaser may be intending to use a product outside of our accepted criteria.Disclaimer
Though we do strive to guarantee the information represented in this datasheet, AAA Biotech cannot be held responsible for any oversights or imprecisions. AAA Biotech reserves the right to adjust any aspect of this datasheet at any time and without notice. It is the responsibility of the customer to inform AAA Biotech of any product performance issues observed or experienced within 30 days of receipt of said product. To see additional details on this or any of our other policies, please see our Terms & Conditions page.Item has been added to Shopping Cart
If you are ready to order, navigate to Shopping Cart and get ready to checkout.
