Rabbit PAK2 Polyclonal Antibody | anti-PAK2 antibody
Phospho-PAK2 (Ser20) Antibody
Phosphate buffered saline, pH 7.4, 150mM NaCl, 0.02% sodium azide and 50% glycerol.
WB (Western Blot)
(Western blot analysis of extracts of hela cells treated with fMLP, using Phospho-PAK2 (Ser20) Antibody.)
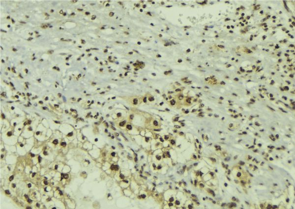
IHC (Immunohistochemistry)
(AAA321365 at 1/100 staining Human breast cancer tissue by IHC-P. The sample was formaldehyde fixed and a heat mediated antigen retrieval step in citrate buffer was performed. The sample was then blocked and incubated with the antibody for 1.5 hours at 22 degree C. An HRP conjugated goat anti-rabbit antibody was used as the secondary.)
Subunit Structure: Interacts tightly with GTP-bound but not GDP-bound CDC42/p21 and RAC1. Interacts with SH3MD4. Interacts with and activated by HIV-1 Nef. Interacts with SCRIB. Interacts with ARHGEF7 and GIT1. PAK-2p34 interacts with ARHGAP10.
Post-translational Modifications: Full-length PAK2 is autophosphorylated when activated by CDC42/p21. Following cleavage, both peptides, PAK-2p27 and PAK-2p34, become highly autophosphorylated, with PAK-2p27 being phosphorylated on serine and PAK-2p34 on threonine residues, respectively. Autophosphorylation of PAK-2p27 can occur in the absence of any effectors and is dependent on phosphorylation of Thr-402, because PAK-2p27 is acting as an exogenous substrate. During apoptosis proteolytically cleaved by caspase-3 or caspase-3-like proteases to yield active PAK-2p34. Ubiquitinated, leading to its proteasomal degradation. PAK-2p34 is myristoylated.
Similarity: Belongs to the protein kinase superfamily. STE Ser/Thr protein kinase family. STE20 subfamily.
NCBI and Uniprot Product Information
Predicted: 59 kDa
Customer Reviews
Loading reviews...
Share Your Experience
Similar Products
Product Notes
The PAK2 pak2 (Catalog #AAA321365) is an Antibody produced from Rabbit and is intended for research purposes only. The product is available for immediate purchase. The Phospho-PAK2 (Ser20) Antibody reacts with Human, Mouse, Rat and may cross-react with other species as described in the data sheet. AAA Biotech's PAK2 can be used in a range of immunoassay formats including, but not limited to, IHC (Immunohistochemistry), WB (Western Blot). Researchers should empirically determine the suitability of the PAK2 pak2 for an application not listed in the data sheet. Researchers commonly develop new applications and it is an integral, important part of the investigative research process. It is sometimes possible for the material contained within the vial of "PAK2, Polyclonal Antibody" to become dispersed throughout the inside of the vial, particularly around the seal of said vial, during shipment and storage. We always suggest centrifuging these vials to consolidate all of the liquid away from the lid and to the bottom of the vial prior to opening. Please be advised that certain products may require dry ice for shipping and that, if this is the case, an additional dry ice fee may also be required.Precautions
All products in the AAA Biotech catalog are strictly for research-use only, and are absolutely not suitable for use in any sort of medical, therapeutic, prophylactic, in-vivo, or diagnostic capacity. By purchasing a product from AAA Biotech, you are explicitly certifying that said products will be properly tested and used in line with industry standard. AAA Biotech and its authorized distribution partners reserve the right to refuse to fulfill any order if we have any indication that a purchaser may be intending to use a product outside of our accepted criteria.Disclaimer
Though we do strive to guarantee the information represented in this datasheet, AAA Biotech cannot be held responsible for any oversights or imprecisions. AAA Biotech reserves the right to adjust any aspect of this datasheet at any time and without notice. It is the responsibility of the customer to inform AAA Biotech of any product performance issues observed or experienced within 30 days of receipt of said product. To see additional details on this or any of our other policies, please see our Terms & Conditions page.Item has been added to Shopping Cart
If you are ready to order, navigate to Shopping Cart and get ready to checkout.
