Rabbit PARG Polyclonal Antibody | anti-PARG antibody
PARG Rabbit anti-Human Polyclonal Antibody
Gene Names
PARG; PARG99
Reactivity
Mouse, Rat, Human
Applications
Western Blot, Immunohistochemistry
Purity
Immunoaffinity chromatography
Synonyms
PARG, Antibody; PARG Rabbit anti-Human Polyclonal Antibody; IHC-plus PARG Antibody; PARG; PARG99; anti-PARG antibody
Host
Rabbit
Reactivity
Mouse, Rat, Human
Clonality
Polyclonal
Specificity
Recognizes endogenous levels of PARG protein.
Purity/Purification
Immunoaffinity chromatography
Form/Format
Liquid in 0.42% Potassium phosphate, 0.87% Sodium chloride, pH7.3, 30% glycerol, and 0.01% sodium azide.
Concentration
1mg/ml (varies by lot)
Applicable Applications for anti-PARG antibody
WB (Western Blot), IHC (Immunohistochemistry)
Target
Human PARG
Immunogen
Recombinant full length protein of human PARG
Conjugation
Unconjugated
Preparation and Storage
Aliquot and store at -20 degree C for 1 year. Avoid freeze/thaw cycles.
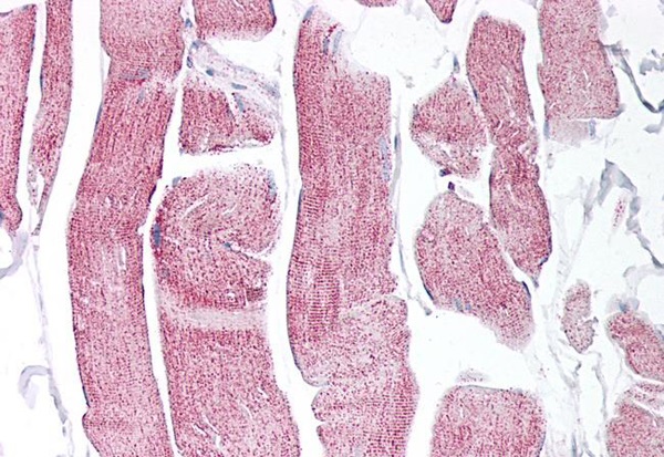
IHC (Immunohiostchemistry)
(PARG Antibody-Human Skeletal Muscle: Formalin-Fixed, Paraffin-Embedded (FFPE))
Related Product Information for anti-PARG antibody
PARG antibody is an unconjugated rabbit polyclonal antibody to PARG from human. It is reactive with human, mouse and rat. Validated for IHC and WB. Tested on 20 paraffin-embedded human tissues.
NCBI and Uniprot Product Information
NCBI GI #
NCBI GeneID
NCBI Accession #
NCBI GenBank Nucleotide #
Molecular Weight
111,110 Da
NCBI Official Full Name
poly(ADP-ribose) glycohydrolase
NCBI Official Synonym Full Names
poly (ADP-ribose) glycohydrolase
NCBI Official Symbol
PARG
NCBI Official Synonym Symbols
PARG99
NCBI Protein Information
poly(ADP-ribose) glycohydrolase; poly(ADP-ribose) glycohydrolase; mitochondrial poly(ADP-ribose) glycohydrolase; poly(ADP-ribose) glycohydrolase 60 kDa isoform
UniProt Protein Name
Poly(ADP-ribose) glycohydrolase
UniProt Gene Name
PARG
Customer Reviews
Loading reviews...
Share Your Experience
Similar Products
Product Notes
The PARG parg (Catalog #AAA163080) is an Antibody produced from Rabbit and is intended for research purposes only. The product is available for immediate purchase. The PARG Rabbit anti-Human Polyclonal Antibody reacts with Mouse, Rat, Human and may cross-react with other species as described in the data sheet. AAA Biotech's PARG can be used in a range of immunoassay formats including, but not limited to, WB (Western Blot), IHC (Immunohistochemistry). Researchers should empirically determine the suitability of the PARG parg for an application not listed in the data sheet. Researchers commonly develop new applications and it is an integral, important part of the investigative research process. It is sometimes possible for the material contained within the vial of "PARG, Polyclonal Antibody" to become dispersed throughout the inside of the vial, particularly around the seal of said vial, during shipment and storage. We always suggest centrifuging these vials to consolidate all of the liquid away from the lid and to the bottom of the vial prior to opening. Please be advised that certain products may require dry ice for shipping and that, if this is the case, an additional dry ice fee may also be required.Precautions
All products in the AAA Biotech catalog are strictly for research-use only, and are absolutely not suitable for use in any sort of medical, therapeutic, prophylactic, in-vivo, or diagnostic capacity. By purchasing a product from AAA Biotech, you are explicitly certifying that said products will be properly tested and used in line with industry standard. AAA Biotech and its authorized distribution partners reserve the right to refuse to fulfill any order if we have any indication that a purchaser may be intending to use a product outside of our accepted criteria.Disclaimer
Though we do strive to guarantee the information represented in this datasheet, AAA Biotech cannot be held responsible for any oversights or imprecisions. AAA Biotech reserves the right to adjust any aspect of this datasheet at any time and without notice. It is the responsibility of the customer to inform AAA Biotech of any product performance issues observed or experienced within 30 days of receipt of said product. To see additional details on this or any of our other policies, please see our Terms & Conditions page.Item has been added to Shopping Cart
If you are ready to order, navigate to Shopping Cart and get ready to checkout.
