PARK7/DJ1 Polyclonal Antibody | anti-PARK7/DJ1 antibody
Anti-PARK7/DJ1 Antibody
IHC (Immunohistochemistry)
(Anti- PARK7 Picoband antibody, AAA46579, IHC(P)IHC(P): Human Pancreatic Cancer Tissue)
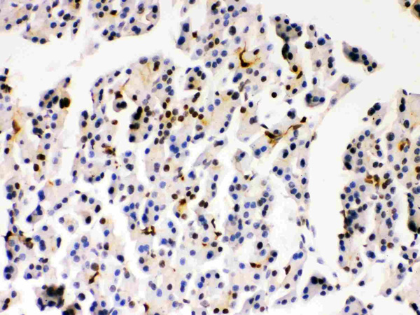
IHC (Immunohistochemisry)
(Anti- PARK7 Picoband antibody, AAA46579, IHC(P)IHC(P): Rat Pancreas Tissue)
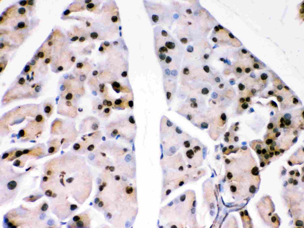
IHC (Immunohiostchemistry)
(Anti- PARK7 Picoband antibody, AAA46579, IHC(P)IHC(P): Mouse Pancreas Tissue)
WB (Western Blot)
(Anti- PARK7 Picoband antibody, AAA46579, Western blottingAll lanes: Anti PARK7 (AAA46579) at 0.5ug/mlLane 1: PANC Whole Cell Lysate at 40ugLane 2: U20S Whole Cell Lysate at 40ugLane 3: SMMC Whole Cell Lysate at 40ugLane 4: HELA Whole Cell Lysate at 40ugPredicted bind size: 20KDObserved bind size: 20KD)
Background: Parkinson disease (autosomal recessive, early onset) 7, also known as DJ1, is a protein which in humans is encoded by the PARK7 gene. PARK7 belongs to the peptidase C56 family of proteins. PARK7 is mapped to chromosome 1p36. It acts as a positive regulator of androgen receptor-dependent transcription. It is also involved in tumorigenesis and in maintaining mitochondrial homeostasis. This gene may also function as a redox-sensitive chaperone, as a sensor foroxidative stress, and it apparently protects neurons against oxidative stress and cell death. It has been found that PARK7 mutations that impair transcriptional coactivator function can render dopaminergic neurons vulnerable to apoptosis and may contribute to the pathogenesis of Parkinson disease.
NCBI and Uniprot Product Information
Customer Reviews
Loading reviews...
Share Your Experience
Similar Products
Product Notes
The PARK7/DJ1 park7 (Catalog #AAA46579) is an Antibody and is intended for research purposes only. The product is available for immediate purchase. The Anti-PARK7/DJ1 Antibody reacts with Human, Mouse, Rat and may cross-react with other species as described in the data sheet. AAA Biotech's PARK7/DJ1 can be used in a range of immunoassay formats including, but not limited to, ICC (Immunocytochemistry), IHC (Immunohistochemistry), WB (Western Blot). Researchers should empirically determine the suitability of the PARK7/DJ1 park7 for an application not listed in the data sheet. Researchers commonly develop new applications and it is an integral, important part of the investigative research process. It is sometimes possible for the material contained within the vial of "PARK7/DJ1, Polyclonal Antibody" to become dispersed throughout the inside of the vial, particularly around the seal of said vial, during shipment and storage. We always suggest centrifuging these vials to consolidate all of the liquid away from the lid and to the bottom of the vial prior to opening. Please be advised that certain products may require dry ice for shipping and that, if this is the case, an additional dry ice fee may also be required.Precautions
All products in the AAA Biotech catalog are strictly for research-use only, and are absolutely not suitable for use in any sort of medical, therapeutic, prophylactic, in-vivo, or diagnostic capacity. By purchasing a product from AAA Biotech, you are explicitly certifying that said products will be properly tested and used in line with industry standard. AAA Biotech and its authorized distribution partners reserve the right to refuse to fulfill any order if we have any indication that a purchaser may be intending to use a product outside of our accepted criteria.Disclaimer
Though we do strive to guarantee the information represented in this datasheet, AAA Biotech cannot be held responsible for any oversights or imprecisions. AAA Biotech reserves the right to adjust any aspect of this datasheet at any time and without notice. It is the responsibility of the customer to inform AAA Biotech of any product performance issues observed or experienced within 30 days of receipt of said product. To see additional details on this or any of our other policies, please see our Terms & Conditions page.Item has been added to Shopping Cart
If you are ready to order, navigate to Shopping Cart and get ready to checkout.
