Rabbit anti-Human PARL Polyclonal Antibody | anti-PARL antibody
PARL Antibody
Gene Names
PARL; PSARL; PSARL1; RHBDS1; PRO2207; PSENIP2
Reactivity
Human
Applications
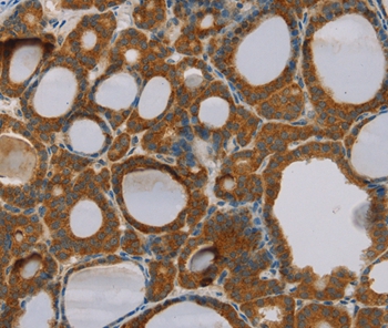
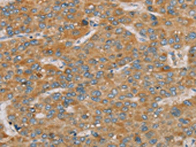
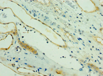
Immunohistochemistry
Purity
Antigen affinity purification.
Synonyms
PARL, Antibody; PARL Antibody; PSARL; PSARL1; RHBDS1; PRO2207; PSENIP2; anti-PARL antibody
Host
Rabbit
Reactivity
Human
Clonality
Polyclonal
Specificity
The antibody detects endogenous levels of total PARL protein.
Purity/Purification
Antigen affinity purification.
Form/Format
Rabbit IgG in pH7.3 PBS, 0.05% NaN3, 50% Glycerol.
Concentration
1.3 mg/ml (varies by lot)
Sequence Length
329
Applicable Applications for anti-PARL antibody
IHC (Immunohistochemistry)
Immunogen Type
Recombinant Protein
Immunogen Description
Fusion protein corresponding to a region derived from internal residues of human presenilin associated, rhomboid-like
Target Name
PARL
Preparation and Storage
Store at -20 degree C
Related Product Information for anti-PARL antibody
This gene encodes a mitochondrial integral membrane protein. Following proteolytic processing of this protein, a small peptide (P-beta) is formed and translocated to the nucleus. This gene may be involved in signal transduction via regulated intramembrane proteolysis of membrane-tethered precursor proteins. Variation in this gene has been associated with increased risk for type 2 diabetes. Alternative splicing results in multiple transcript variants encoding different isoforms.
Product Categories/Family for anti-PARL antibody
NCBI and Uniprot Product Information
NCBI GI #
NCBI GeneID
NCBI Accession #
NCBI GenBank Nucleotide #
Molecular Weight
36,589 Da
NCBI Official Full Name
presenilins-associated rhomboid-like protein, mitochondrial isoform 2 preproprotein
NCBI Official Synonym Full Names
presenilin associated, rhomboid-like
NCBI Official Symbol
PARL
NCBI Official Synonym Symbols
PSARL; PSARL1; RHBDS1; PRO2207; PSENIP2
NCBI Protein Information
presenilins-associated rhomboid-like protein, mitochondrial
UniProt Protein Name
Presenilins-associated rhomboid-like protein, mitochondrial
UniProt Gene Name
PARL
UniProt Synonym Gene Names
PSARL; Pbeta
UniProt Entry Name
PARL_HUMAN
Customer Reviews
Loading reviews...
Share Your Experience
Similar Products
Product Notes
The PARL parl (Catalog #AAA306925) is an Antibody produced from Rabbit and is intended for research purposes only. The product is available for immediate purchase. The PARL Antibody reacts with Human and may cross-react with other species as described in the data sheet. AAA Biotech's PARL can be used in a range of immunoassay formats including, but not limited to, IHC (Immunohistochemistry). Researchers should empirically determine the suitability of the PARL parl for an application not listed in the data sheet. Researchers commonly develop new applications and it is an integral, important part of the investigative research process. It is sometimes possible for the material contained within the vial of "PARL, Polyclonal Antibody" to become dispersed throughout the inside of the vial, particularly around the seal of said vial, during shipment and storage. We always suggest centrifuging these vials to consolidate all of the liquid away from the lid and to the bottom of the vial prior to opening. Please be advised that certain products may require dry ice for shipping and that, if this is the case, an additional dry ice fee may also be required.Precautions
All products in the AAA Biotech catalog are strictly for research-use only, and are absolutely not suitable for use in any sort of medical, therapeutic, prophylactic, in-vivo, or diagnostic capacity. By purchasing a product from AAA Biotech, you are explicitly certifying that said products will be properly tested and used in line with industry standard. AAA Biotech and its authorized distribution partners reserve the right to refuse to fulfill any order if we have any indication that a purchaser may be intending to use a product outside of our accepted criteria.Disclaimer
Though we do strive to guarantee the information represented in this datasheet, AAA Biotech cannot be held responsible for any oversights or imprecisions. AAA Biotech reserves the right to adjust any aspect of this datasheet at any time and without notice. It is the responsibility of the customer to inform AAA Biotech of any product performance issues observed or experienced within 30 days of receipt of said product. To see additional details on this or any of our other policies, please see our Terms & Conditions page.Item has been added to Shopping Cart
If you are ready to order, navigate to Shopping Cart and get ready to checkout.
