Rabbit PCBP2 Polyclonal Antibody | anti-PCBP2 antibody
PCBP2 antibody - middle region
WB (Western Blot)
(WB Suggested Anti-PCBP2 Antibody Titration: 1.25ug/mlPositive Control: Jurkat cell lysateThere is BioGPS gene expression data showing that PCBP2 is expressed in Jurkat)
WB (Western Blot)
(Host: RabbitTarget Name: PCBP2Sample Tissue: Human JurkatAntibody Dilution: 1.0ug/ml)
WB (Western Blot)
(Host: MouseTarget Name: PCBP2Sample Tissue: Mouse PancreasAntibody Dilution: 1ug/ml)
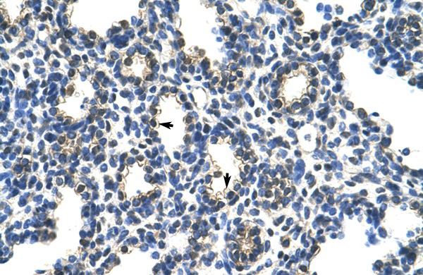
IHC (Immunohistochemistry)
(Rabbit Anti-PCBP2 AntibodyParaffin Embedded Tissue: Human LungCellular Data: Alveolar cellsAntibody Concentration: 4.0-8.0 ug/mlMagnification: 400X)
Target Description: PCBP2 appears to be multifunctional. It along with PCBP-1 and hnRNPK corresponds to the major cellular poly(rC)-binding proteins. This protein together with PCBP-1 also functions as translational coactivators of poliovirus RNA via a sequence-specific interaction with stem-loop IV of the IRES and promote poliovirus RNA replication by binding to its 5'-terminal cloverleaf structure. It has also been implicated in translational control of the 15-lipoxygenase mRNA, human Papillomavirus type 16 L2 mRNA, and hepatitis A virus RNA. The protein is also suggested to play a part in formation of a sequence-specific alpha-globin mRNP complex which is associated with alpha-globin mRNA stability. This gene and PCBP-1 has paralogues PCBP3 and PCBP4 which is thought to arose as a result of duplication events of entire genes.The protein encoded by this gene appears to be multifunctional. It along with PCBP-1 and hnRNPK corresponds to the major cellular poly(rC)-binding proteins. It contains three K-homologous (KH) domains which may be involved in RNA binding. This encoded protein together with PCBP-1 also functions as translational coactivators of poliovirus RNA via a sequence-specific interaction with stem-loop IV of the IRES and promote poliovirus RNA replication by binding to its 5'-terminal cloverleaf structure. It has also been implicated in translational control of the 15-lipoxygenase mRNA, human Papillomavirus type 16 L2 mRNA, and hepatitis A virus RNA. The encoded protein is also suggested to play a part in formation of a sequence-specific alpha-globin mRNP complex which is associated with alpha-globin mRNA stability. This multiexon structural mRNA is thought to be retrotransposed to generate PCBP-1 intronless gene which has similar functions. This gene and PCBP-1 has paralogues PCBP3 and PCBP4 which is thought to arose as a result of duplication events of entire genes. It also has two processed pseudogenes PCBP2P1 and PCBP2P2. There are presently two alternatively spliced transcript variants described for this gene.
NCBI and Uniprot Product Information
Customer Reviews
Loading reviews...
Share Your Experience
Similar Products
Product Notes
The PCBP2 (Catalog #AAA198704) is an Antibody produced from Rabbit and is intended for research purposes only. The product is available for immediate purchase. The PCBP2 antibody - middle region reacts with Cow, Guinea Pig, Horse, Human, Mouse, Rat and may cross-react with other species as described in the data sheet. AAA Biotech's PCBP2 can be used in a range of immunoassay formats including, but not limited to, WB (Western Blot), IHC (Immunohistochemistry). Researchers should empirically determine the suitability of the PCBP2 for an application not listed in the data sheet. Researchers commonly develop new applications and it is an integral, important part of the investigative research process. The amino acid sequence is listed below: Synthetic peptide located within the following region: VIFAGGQDRY STGSDSASFP HTTPSMCLNP DLEGPPLEAY TIQGQYAIPQ. It is sometimes possible for the material contained within the vial of "PCBP2, Polyclonal Antibody" to become dispersed throughout the inside of the vial, particularly around the seal of said vial, during shipment and storage. We always suggest centrifuging these vials to consolidate all of the liquid away from the lid and to the bottom of the vial prior to opening. Please be advised that certain products may require dry ice for shipping and that, if this is the case, an additional dry ice fee may also be required.Precautions
All products in the AAA Biotech catalog are strictly for research-use only, and are absolutely not suitable for use in any sort of medical, therapeutic, prophylactic, in-vivo, or diagnostic capacity. By purchasing a product from AAA Biotech, you are explicitly certifying that said products will be properly tested and used in line with industry standard. AAA Biotech and its authorized distribution partners reserve the right to refuse to fulfill any order if we have any indication that a purchaser may be intending to use a product outside of our accepted criteria.Disclaimer
Though we do strive to guarantee the information represented in this datasheet, AAA Biotech cannot be held responsible for any oversights or imprecisions. AAA Biotech reserves the right to adjust any aspect of this datasheet at any time and without notice. It is the responsibility of the customer to inform AAA Biotech of any product performance issues observed or experienced within 30 days of receipt of said product. To see additional details on this or any of our other policies, please see our Terms & Conditions page.Item has been added to Shopping Cart
If you are ready to order, navigate to Shopping Cart and get ready to checkout.
