Rabbit PCM1 Polyclonal Antibody | anti-PCM1 antibody
PCM1 Antibody
Phosphate buffered saline, pH 7.4, 150mM NaCl, 0.02% sodium azide and 50% glycerol.
WB (Western Blot)
(Western blot analysis of Hela whole cell lysates, using PCM1 Antibody. The lane on the left is treated with the antigen-specific peptide.)
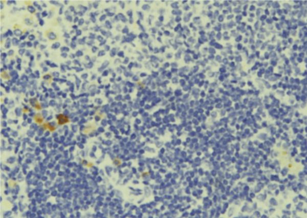
IHC (Immunohistochemistry)
(AAA327161 at 1/100 staining Human lymph tissue by IHC-P. The sample was formaldehyde fixed and a heat mediated antigen retrieval step in citrate buffer was performed. The sample was then blocked and incubated with the antibody for 1.5 hours at 22 degree C. An HRP conjugated goat anti-rabbit antibody was used as the secondary.)
Function: Required for centrosome assembly and function. Essential for the correct localization of several centrosomal proteins including CEP250, CETN3, PCNT and NEK2. Required to anchor microtubules to the centrosome. Involved in the biogenesis of cilia.
Subunit Structure: Self-associates. Interacts with C2CD3 (By similarity). Interacts with BBS4, BBS8, CETN3, HAP1, NDE1, NDEL1, MAP1LC3B, GABARAPAL2, and GABARAP. Interacts with CEP131; the interaction increases in response to ultraviolet light (UV) radiation. Associates with microtubule; association to microtubule is reduced in response to cellular stress, such as ultraviolet light (UV) radiation or heat shock, in a process that requires p38 MAP kinase signaling. Interacts with CCDC113. Interacts with SSX2IP (By similarity). Interacts with CCDC13 (PubMed:24816561). Interacts with CEP290 (By similarity). Interacts with PARD6A (PubMed:20719959). Interacts with KIAA0753/OFIP, FOPNL/FOR20 and OFD1; the interaction with FOPNL/FOR20 and OFD1 may be mediated by KIAA0753/OFIP (PubMed:26643951).
Post-translational Modifications: Ubiquitinated. Undergoes monoubiquitination catalyzed by the E3 ubiquitin-protein ligase MIB1 in proliferating cells, preventing cilia formation. Monoubiquitination by MIB1 is inhibited in response to cellular stress, such as ultraviolet light (UV) radiation or heat shock, resulting in cilia formation initiation. Variant Ser-159 is phosphorylated.
Similarity: Belongs to the PCM1 family.
NCBI and Uniprot Product Information
Predicted: 229 kDa
Customer Reviews
Loading reviews...
Share Your Experience
Similar Products
Product Notes
The PCM1 pcm1 (Catalog #AAA327161) is an Antibody produced from Rabbit and is intended for research purposes only. The product is available for immediate purchase. The PCM1 Antibody reacts with Human, Mouse, Rat and may cross-react with other species as described in the data sheet. AAA Biotech's PCM1 can be used in a range of immunoassay formats including, but not limited to, ELISA, IHC (Immunohistochemistry), WB (Western Blot). Researchers should empirically determine the suitability of the PCM1 pcm1 for an application not listed in the data sheet. Researchers commonly develop new applications and it is an integral, important part of the investigative research process. It is sometimes possible for the material contained within the vial of "PCM1, Polyclonal Antibody" to become dispersed throughout the inside of the vial, particularly around the seal of said vial, during shipment and storage. We always suggest centrifuging these vials to consolidate all of the liquid away from the lid and to the bottom of the vial prior to opening. Please be advised that certain products may require dry ice for shipping and that, if this is the case, an additional dry ice fee may also be required.Precautions
All products in the AAA Biotech catalog are strictly for research-use only, and are absolutely not suitable for use in any sort of medical, therapeutic, prophylactic, in-vivo, or diagnostic capacity. By purchasing a product from AAA Biotech, you are explicitly certifying that said products will be properly tested and used in line with industry standard. AAA Biotech and its authorized distribution partners reserve the right to refuse to fulfill any order if we have any indication that a purchaser may be intending to use a product outside of our accepted criteria.Disclaimer
Though we do strive to guarantee the information represented in this datasheet, AAA Biotech cannot be held responsible for any oversights or imprecisions. AAA Biotech reserves the right to adjust any aspect of this datasheet at any time and without notice. It is the responsibility of the customer to inform AAA Biotech of any product performance issues observed or experienced within 30 days of receipt of said product. To see additional details on this or any of our other policies, please see our Terms & Conditions page.Item has been added to Shopping Cart
If you are ready to order, navigate to Shopping Cart and get ready to checkout.
