Rabbit PDCD10 Polyclonal Antibody | anti-PDCD10 antibody
PDCD10 Polyclonal Antibody
Gene Names
PDCD10; CCM3; TFAR15
Reactivity
Human, Mouse, Rat
Applications
Western Blot, Immunohistochemistry
Purity
Affinity Purification
Synonyms
PDCD10, Antibody; PDCD10 Polyclonal Antibody; PDCD10; CCM3; TFAR15; programmed cell death 10; anti-PDCD10 antibody
Host
Rabbit
Reactivity
Human, Mouse, Rat
Clonality
Polyclonal
Isotype
IgG
Purity/Purification
Affinity Purification
Form/Format
PBS with 0.05% proclin300,50% glycerol,pH7.3.
Concentration
1.08 mg/ml (varies by lot)
Sequence Length
212
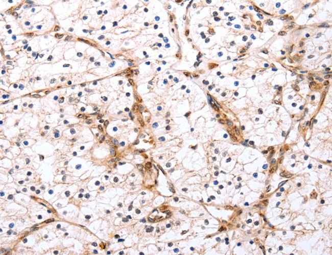
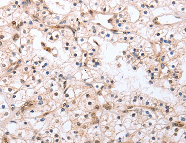
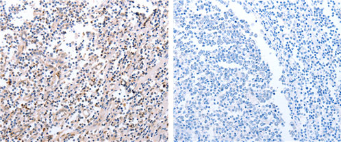
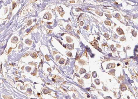
Applicable Applications for anti-PDCD10 antibody
WB (Western Blot), IHC (Immunohistochemistry)
Application Notes
WB: 1:500-1:2000
IHC: 1:50-1:200
IHC: 1:50-1:200
Immunogen
Recombinant fusion protein containing a sequence corresponding to amino acids 1-212 of human PDCD10 (NP_009148.2).
Immunogen Sequence
MRMTMEEMKNEAETTSMVSMPLYAVMYPVFNELERVNLSAAQTLRAAFIKAEKENPGLTQDIIMKILEKKSVEVNFTESLLRMAADDVEEYMIERPEPEFQDLNEKARALKQILSKIPDEINDRVRFLQTIKDIASAIKELLDTVNNVFKKYQYQNRRALEHQKKEFVKYSKSFSDTLKTYFKDGKAINVFVSANRLIHQTNLILQTFKTVA
Preparation and Storage
Store at -20 degree C. Avoid freeze/thaw cycles.
Related Product Information for anti-PDCD10 antibody
This gene encodes an evolutionarily conserved protein associated with cell apoptosis. The protein interacts with the serine/threonine protein kinase MST4 to modulate the extracellular signal-regulated kinase (ERK) pathway. It also interacts with and is phosphoryated by serine/threonine kinase 25, and is thought to function in a signaling pathway essential for vascular developent. Mutations in this gene are one cause of cerebral cavernous malformations, which are vascular malformations that cause seizures and cerebral hemorrhages. Multiple alternatively spliced variants, encoding the same protein, have been identified.
NCBI and Uniprot Product Information
NCBI GI #
NCBI GeneID
UniProt Accession #
Molecular Weight
24kDa
NCBI Official Full Name
Programmed cell death protein 10
NCBI Official Synonym Full Names
programmed cell death 10
NCBI Official Symbol
PDCD10
NCBI Official Synonym Symbols
CCM3; TFAR15
NCBI Protein Information
programmed cell death protein 10
UniProt Protein Name
Programmed cell death protein 10
UniProt Gene Name
PDCD10
UniProt Synonym Gene Names
CCM3; TFAR15
UniProt Entry Name
PDC10_HUMAN
Customer Reviews
Loading reviews...
Share Your Experience
Similar Products
Product Notes
The PDCD10 pdcd10 (Catalog #AAA28300) is an Antibody produced from Rabbit and is intended for research purposes only. The product is available for immediate purchase. The PDCD10 Polyclonal Antibody reacts with Human, Mouse, Rat and may cross-react with other species as described in the data sheet. AAA Biotech's PDCD10 can be used in a range of immunoassay formats including, but not limited to, WB (Western Blot), IHC (Immunohistochemistry). WB: 1:500-1:2000 IHC: 1:50-1:200. Researchers should empirically determine the suitability of the PDCD10 pdcd10 for an application not listed in the data sheet. Researchers commonly develop new applications and it is an integral, important part of the investigative research process. It is sometimes possible for the material contained within the vial of "PDCD10, Polyclonal Antibody" to become dispersed throughout the inside of the vial, particularly around the seal of said vial, during shipment and storage. We always suggest centrifuging these vials to consolidate all of the liquid away from the lid and to the bottom of the vial prior to opening. Please be advised that certain products may require dry ice for shipping and that, if this is the case, an additional dry ice fee may also be required.Precautions
All products in the AAA Biotech catalog are strictly for research-use only, and are absolutely not suitable for use in any sort of medical, therapeutic, prophylactic, in-vivo, or diagnostic capacity. By purchasing a product from AAA Biotech, you are explicitly certifying that said products will be properly tested and used in line with industry standard. AAA Biotech and its authorized distribution partners reserve the right to refuse to fulfill any order if we have any indication that a purchaser may be intending to use a product outside of our accepted criteria.Disclaimer
Though we do strive to guarantee the information represented in this datasheet, AAA Biotech cannot be held responsible for any oversights or imprecisions. AAA Biotech reserves the right to adjust any aspect of this datasheet at any time and without notice. It is the responsibility of the customer to inform AAA Biotech of any product performance issues observed or experienced within 30 days of receipt of said product. To see additional details on this or any of our other policies, please see our Terms & Conditions page.Item has been added to Shopping Cart
If you are ready to order, navigate to Shopping Cart and get ready to checkout.
