PDGFRA Polyclonal Antibody | anti-PDGFRA antibody
Anti-PDGFRA Antibody
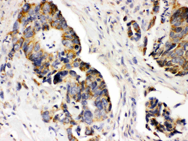
IHC (Immunohiostchemistry)
(Figure 2. IHC analysis of PDGFRA using anti-PDGFRA antibody (AAA46266).PDGFRA was detected in paraffin-embedded section of Human Intestinal Cancer Tissue. Heat mediated antigen retrieval was performed in citrate buffer (pH6, epitope retrieval solution) for 20 mins. The tissue section was blocked with 10% goat serum. The tissue section was then incubated with 1ug/ml rabbit anti-PDGFRA Antibody (AAA46266) overnight at 4 degree C. Biotinylated goat anti-rabbit IgG was used as secondary antibody and incubated for 30 minutes at 37 degree C. The tissue section was developed using Strepavidin-Biotin-Complex (SABC) with DAB as the chromogen.)
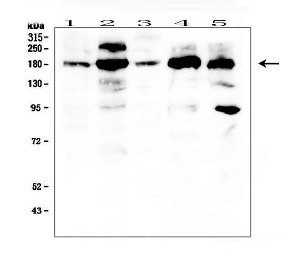
WB (Western Blot)
(Figure 1. Western blot analysis of PDGFRA using anti- PDGFRA antibody (AAA46266).Electrophoresis was performed on a 5-20% SDS-PAGE gel at 70V (Stacking gel) / 90V (Resolving gel) for 2-3 hours. The sample well of each lane was loaded with 50ug of sample under reducing conditions.Lane 1: human HT1080 whole cell lysates,Lane 2: human Caco-2 whole cell lysates,Lane 3: human U20S whole cell lysates,Lane 4: human PC-3 whole cell lysates,Lane 5: human 293T whole cell lysates.After Electrophoresis, proteins were transferred to a Nitrocellulose membrane at 150mA for 50-90 minutes. Blocked the membrane with 5% Non-fat Milk/ TBS for 1.5 hour at RT. The membrane was incubated with rabbit anti- PDGFRA antigen affinity purified polyclonal antibody at 0.5ug/mL overnight at 4 degree C, then washed with TBS-0.1%Tween 3 times with 5 minutes each and probed with a goat anti-rabbit IgG-HRP secondary antibody at a dilution of 1:10000 for 1.5 hour at RT. The signal is developed using an Enhanced Chemiluminescent detection (ECL) kit with Tanon 5200 system. A specific band was detected for PDGFRA at approximately 123KD. The expected band size for PDGFRA is at 180KD.)
Background: PDGFRA (Platelet-derived growth factor receptor, alpha), also called PDGFR2, encodes a cell surface tyrosine kinase receptor for members of the platelet-derived growth factor family. The PDGFA gene is mapped on 4q12. The PDGFRA-FIP1L1 gene is a constitutively activated tyrosine kinase that transforms hematopoietic cells and is a therapeutic target of imatinib. And the PDGFRA gene contains 23 exons spanning about 65 kb. Using the human PDGFRA promoter linked to a luciferase reporter, Joosten et al. showed that PAX1 acts as a transcriptional activator of the PDGFRA gene in differentiated human embryonal carcinoma cells. PDGFRA is responsible for mediating cellular contraction of multiple growth factors: TGFB1 and members of the PDGF family. Lei et al. noted that in the rabbit model of the disease, PDGFRA is dramatically more capable of promoting PVR than is the closely related PDGFRB. PDGFRA is a critical receptor required for human CMV infection, and thus a target for novel antiviral therapies.
NCBI and Uniprot Product Information
Customer Reviews
Loading reviews...
Share Your Experience
Similar Products
Product Notes
The PDGFRA pdgfra (Catalog #AAA46266) is an Antibody and is intended for research purposes only. The product is available for immediate purchase. The Anti-PDGFRA Antibody reacts with Human, Mouse, Rat and may cross-react with other species as described in the data sheet. AAA Biotech's PDGFRA can be used in a range of immunoassay formats including, but not limited to, IHC (Immunohistochemistry), WB (Western Blot). Researchers should empirically determine the suitability of the PDGFRA pdgfra for an application not listed in the data sheet. Researchers commonly develop new applications and it is an integral, important part of the investigative research process. It is sometimes possible for the material contained within the vial of "PDGFRA, Polyclonal Antibody" to become dispersed throughout the inside of the vial, particularly around the seal of said vial, during shipment and storage. We always suggest centrifuging these vials to consolidate all of the liquid away from the lid and to the bottom of the vial prior to opening. Please be advised that certain products may require dry ice for shipping and that, if this is the case, an additional dry ice fee may also be required.Precautions
All products in the AAA Biotech catalog are strictly for research-use only, and are absolutely not suitable for use in any sort of medical, therapeutic, prophylactic, in-vivo, or diagnostic capacity. By purchasing a product from AAA Biotech, you are explicitly certifying that said products will be properly tested and used in line with industry standard. AAA Biotech and its authorized distribution partners reserve the right to refuse to fulfill any order if we have any indication that a purchaser may be intending to use a product outside of our accepted criteria.Disclaimer
Though we do strive to guarantee the information represented in this datasheet, AAA Biotech cannot be held responsible for any oversights or imprecisions. AAA Biotech reserves the right to adjust any aspect of this datasheet at any time and without notice. It is the responsibility of the customer to inform AAA Biotech of any product performance issues observed or experienced within 30 days of receipt of said product. To see additional details on this or any of our other policies, please see our Terms & Conditions page.Item has been added to Shopping Cart
If you are ready to order, navigate to Shopping Cart and get ready to checkout.
