Rabbit PDK1 Polyclonal Antibody | anti-PDK1 antibody
Phospho-PDK1 (Thr245) Antibody
Predicted: Pig, Bovine, Horse, Sheep, Dog, Chicken
Predicted: Pig, Bovine, Horse, Sheep, Dog, Chicken
WB (Western Blot)
(Western blot analysis of Phospho-PDK1 (Thr245) in lysates of HepG2?, using Phospho-PDK1 (Thr245) Antibody.)
IHC (Immunohistochemisry)
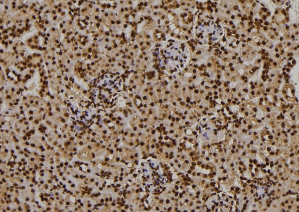
(At 1/100 staining mouse kidney tissue sections by IHC-P. The tissue was formaldehyde fixed and a heat mediated antigen retrieval step in citrate buffer was performed. The tissue was then blocked and incubated with the antibody for 1.5 hours at 22 degree C. An HRP conjugated goat anti-rabbit antibody was used as the secondary)
IHC (Immunohiostchemistry)
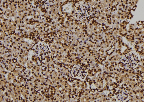
(At 1/100 staining rat kidney tissue sections by IHC-P. The tissue was formaldehyde fixed and a heat mediated antigen retrieval step in citrate buffer was performed. The tissue was then blocked and incubated with the antibody for 1.5 hours at 22 degree C. An HRP conjugated goat anti-rabbit antibody was used as the secondary)
IHC (Immunohistochemistry)
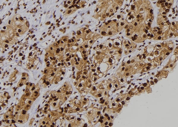
(At 1/100 staining human kidney tissue sections by IHC-P. The tissue was formaldehyde fixed and a heat mediated antigen retrieval step in citrate buffer was performed. The tissue was then blocked and incubated with the antibody for 1.5 hours at 22 degree C. An HRP conjugated goat anti-rabbit antibody was used as the secondary)
Post Translational Modifications: Phosphorylation on Ser-241 in the activation loop is required for full activity. PDPK1 itself can autophosphorylate Ser-241, leading to its own activation. Autophosphorylation is inhibited by the apoptotic C-terminus cleavage product of PKN2 (By similarity). Tyr-9 phosphorylation is critical for stabilization of both PDPK1 and the PDPK1/SRC complex via HSP90-mediated protection of PDPK1 degradation. Angiotensin II stimulates the tyrosine phosphorylation of PDPK1 in vascular smooth muscle in a calcium- and SRC-dependent manner. Phosphorylated on Tyr-9, Tyr-373 and Tyr-376 by INSR in response to insulin. Palmitate negatively regulates autophosphorylation at Ser-241 and palmitate-induced phosphorylation at Ser-529 and Ser-501 by PKC/PRKCQ negatively regulates its ability to phosphorylate PKB/AKT1. Phosphorylation at Thr-354 by MELK partially inhibits kinase activity, the inhibition is cooperatively enhanced by phosphorylation at Ser-394 and Ser-398 by MAP3K5. Autophosphorylated; autophosphorylation is inhibited by the apoptotic C-terminus cleavage product of PKN2. Monoubiquitinated in the kinase domain, deubiquitinated by USP4.
Subunit Structure: Homodimer in its autoinhibited state. Active as monomer. Interacts with NPRL2, PPARG, PAK1, PTK2B, GRB14, PKN1 (via C-terminus), STRAP and IKKB. The Tyr-9 phosphorylated form interacts with SRC, RASA1 and CRK (via their SH2 domains). Interacts with SGK3 in a phosphorylation-dependent manner. The tyrosine-phosphorylated form interacts with PTPN6. The Ser-241 phosphorylated form interacts with YWHAH and YWHAQ. Binds INSR in response to insulin. Interacts (via PH domain) with SMAD3, SMAD4 and SMAD7. Interacts with PKN2; the interaction stimulates PDPK1 autophosphorylation, its PI(3,4,5)P3-dependent kinase activity toward 'Ser-473' of AKT1 but also activates its kinase activity toward PRKCD and PRKCZ.
Similarity: The PH domain plays a pivotal role in the localization and nuclear import of PDPK1 and is also essential for its homodimerization. The PIF-pocket is a small lobe in the catalytic domain required by the enzyme for the binding to the hydrophobic motif of its substrates. It is an allosteric regulatory site that can accommodate small compounds acting as allosteric inhibitors. Belongs to the protein kinase superfamily. AGC Ser/Thr protein kinase family. PDPK1 subfamily.
NCBI and Uniprot Product Information
Predicted: 64 kDa
Customer Reviews
Loading reviews...
Share Your Experience
Similar Products
Product Notes
The PDK1 pdpk1 (Catalog #AAA328294) is an Antibody produced from Rabbit and is intended for research purposes only. The product is available for immediate purchase. The Phospho-PDK1 (Thr245) Antibody reacts with Human, Mouse, Rat Predicted: Pig, Bovine, Horse, Sheep, Dog, Chicken and may cross-react with other species as described in the data sheet. AAA Biotech's PDK1 can be used in a range of immunoassay formats including, but not limited to, ELISA (Peptide ELISA), IHC (Immunohistochemistry), WB (Western Blot). Researchers should empirically determine the suitability of the PDK1 pdpk1 for an application not listed in the data sheet. Researchers commonly develop new applications and it is an integral, important part of the investigative research process. It is sometimes possible for the material contained within the vial of "PDK1, Polyclonal Antibody" to become dispersed throughout the inside of the vial, particularly around the seal of said vial, during shipment and storage. We always suggest centrifuging these vials to consolidate all of the liquid away from the lid and to the bottom of the vial prior to opening. Please be advised that certain products may require dry ice for shipping and that, if this is the case, an additional dry ice fee may also be required.Precautions
All products in the AAA Biotech catalog are strictly for research-use only, and are absolutely not suitable for use in any sort of medical, therapeutic, prophylactic, in-vivo, or diagnostic capacity. By purchasing a product from AAA Biotech, you are explicitly certifying that said products will be properly tested and used in line with industry standard. AAA Biotech and its authorized distribution partners reserve the right to refuse to fulfill any order if we have any indication that a purchaser may be intending to use a product outside of our accepted criteria.Disclaimer
Though we do strive to guarantee the information represented in this datasheet, AAA Biotech cannot be held responsible for any oversights or imprecisions. AAA Biotech reserves the right to adjust any aspect of this datasheet at any time and without notice. It is the responsibility of the customer to inform AAA Biotech of any product performance issues observed or experienced within 30 days of receipt of said product. To see additional details on this or any of our other policies, please see our Terms & Conditions page.Item has been added to Shopping Cart
If you are ready to order, navigate to Shopping Cart and get ready to checkout.
